インビザライン矯正
9ヶ月経過の症例
この症例のポイントとして、患者さまは長年、前歯が出ていることや隙間があることを気にされていました。ワイヤー矯正でもインビザラインでも構わないので、しっかり治療したいというご希望がありましたが、通院間隔をできるだけ延ばしたいという点から、今回はインビザラインによる矯正治療を選択しています。
また、前歯の隙間を活かすことで、歯を抜かずに(非抜歯で)治療を進めることが可能なケースです。
治療開始から9か月が経過し、前歯の重なりは徐々に改善し、上の前歯も少しずつ後方へ移動しています。見た目にも変化が現れはじめており、治療は順調に進んでいます。
【治療方針】
本治療では、インビザラインを用いた非抜歯矯正を行っています。治療の進行にあわせて、インプラントアンカーを使用し、歯を後方へ移動させる計画です。治療期間はおよそ1年6か月を予定しており、現在は開始から9か月が経過した段階です。
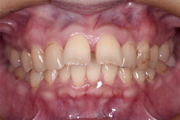
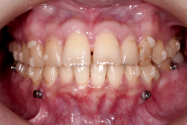
正面の比較


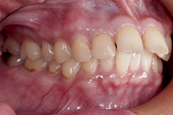
横からの比較(右側)


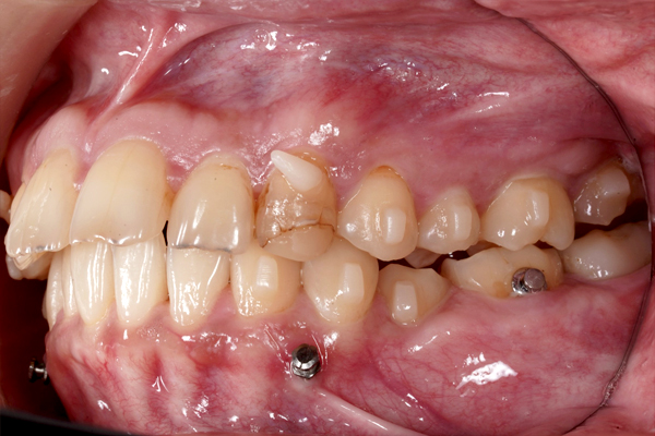
横からの比較(左側)


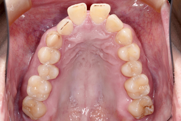
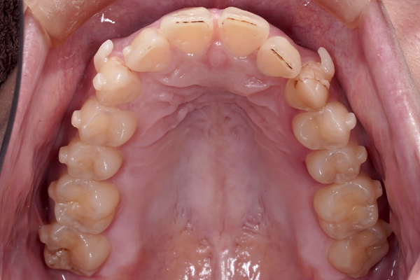
上の歯の比較(咬合面)


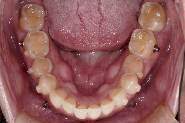
下の歯の比較(咬合面)


【担当者所見】
現在、治療開始から9ヶ月が経ちました。
マウスピース矯正は患者さまの使用頻度によって治療の成績が大きく変わってしまいます。マウスピース以外にゴムを使用しています。患者さまは真面目に矯正治療に取り組んでいただいています。このまま最後まで頑張っていきましょう。
| 担当医 | 荒川 英雄 |
|---|---|
| 主訴 | 前歯が出ているのと、前歯が空いているのが気になる。 |
| 期間 | 1年6ヶ月を予定(現在:9ヶ月経過段階) |
| 費用 | 総額:1,122,000円(税込) ⚫︎インビザライン矯正費用:1,122,000円 (矯正診断費用:38,500円) (リテーナー:38,500円) (2025年11月現在) |
| 治療内容 | インビザライン矯正治療 |
| 治療に伴うリスク | ⚫︎マウスピースが新しくなると歯に痛みが出る可能性があります。 ⚫︎マウスピースを使用しないと歯は動きません。 ⚫︎歯の動き方には個人差があります。動き方によっては予定期間よりも長くなる可能性があります。 |
矯正歯科ページはこちら
矯正ブログはこちら
矯正治療の症例はこちら
無料相談・お問い合わせ
日付: 2025年12月10日 カテゴリ:インビザライン, 矯正歯科


