GBR・サイナスリフトなど
骨造成を含めた精密インプラント治療を
CTによる
3D診断 × 完全個室 × 担当医制
で行っています。
GBR・サイナスリフトなど
骨造成を含めた精密インプラント治療を
CTによる3D診断 × 完全個室
× 担当医制で行っています。
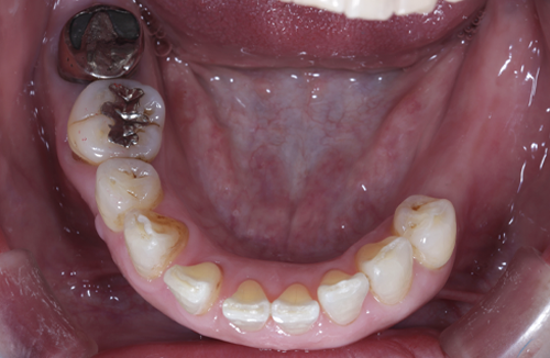
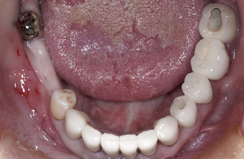
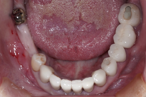
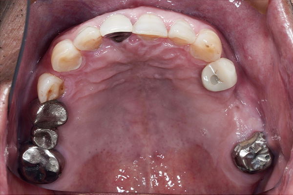
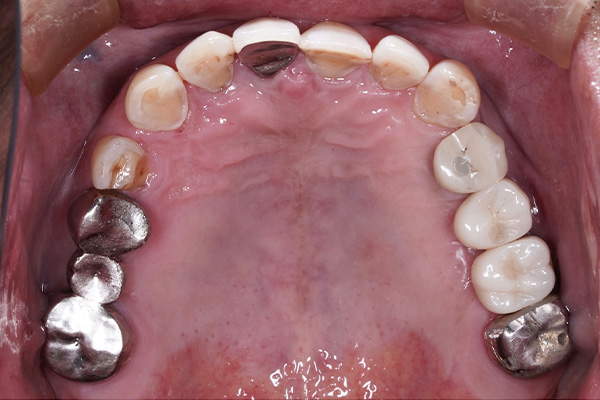
当院のインプラント治療例
― 他院で「難しい」と言われたケースにも対応 ―


※他院で骨量不足と診断された症例です。
【お悩み】
奥歯を失い、他院でインプラントの相談をしたところ「骨が足りないため難しい」と言われ、不安を感じて来院されました。
【診断】
歯科用CTにて詳しく検査を行った結果、インプラントを行うには骨量が不足している状態であることが確認されました。
【治療内容】
骨をつくる治療であるGBR(骨造成)を併用し、将来的な安定性を考慮したうえでインプラント治療を行いました。
【治療後】
現在はしっかり噛める状態となり、日常生活でも違和感なく食事を楽しんでいただいています。
【担当歯科医師からのコメント】
骨が少ないケースでも、CTによる診断と適切な治療計画によりインプラントが可能となる場合があります。
「難しいと言われた」とお悩みの方も、まずはご相談ください。


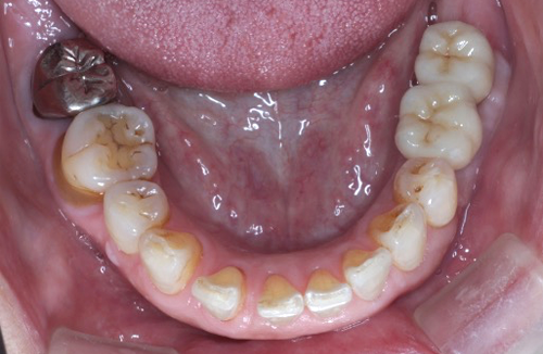
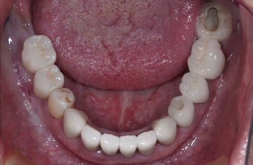
【お悩み】
奥歯を失ってから、食事の際にしっかり噛めず不便を感じていました。入れ歯には抵抗があり、インプラントを検討して来院されました。
【診断】
歯科用CT検査により、インプラントに必要な骨量が十分にあることを確認しました。
【治療内容】
骨造成は行わず、患者さまの状態に合わせたインプラント治療を行いました。
【治療後】
治療後は奥歯でしっかり噛めるようになり、食事のストレスがなくなったとお話しされています。
【この症例のポイント】
一般的な奥歯の欠損であれば、状態によっては比較的シンプルな治療計画でインプラントが可能なケースもあります。


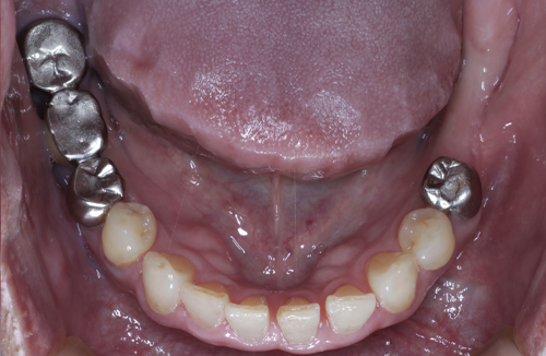
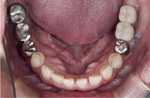
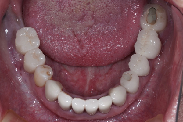
【お悩み】
奥歯を失ったまま過ごしていましたが、「手術が怖い」「本当に大丈夫なのか不安」という気持ちから治療に踏み切れずにいました。
【診断】
CT検査を行い、インプラント治療が可能な骨の状態であることを確認しました。
【治療内容】
治療前にしっかりと説明を行い、患者さまにご納得いただいたうえでインプラント治療を進めました。
【治療後】
治療後は違和感も少なく、「もっと早く相談すればよかった」とお話しされています。
【この症例のポイント】
不安を感じている方こそ、まずは状態を正確に知ることが大切です。
治療を受けるかどうかは、相談後に決めていただけます。
同じように「奥歯が噛めない」「骨が足りないと言われた」お悩みをお持ちの方は、無料相談でご相談ください。
CASE症例紹介


不安があるのは当たり前。だからこそ、ひとつひとつ丁寧にお答えします。
インプラント治療を検討している患者さまから、実際によくいただく質問をQ&A形式でまとめました。
「こんなこと聞いてもいいのかな?」と思うことも、ぜひ遠慮なくご相談ください。
A. 手術中は麻酔を行うため、強い痛みを感じることはほとんどありません。
術後は多少の腫れや違和感が出る場合がありますが、痛み止めでコントロールできる範囲であることがほとんどです。 当院では、術前に治療内容やリスクをしっかりご説明し、できるだけ負担の少ない治療計画を立てています。「痛みが心配」という方も、無料相談で遠慮なくご相談ください。
A. どの治療にもリスクはありますが、事前の診断と計画が非常に重要です。
当院では歯科用CTを用いて、骨の状態や神経・血管の位置を正確に把握したうえで無理のない治療計画を立てています。 また、骨が少ない場合は骨造成を併用するなど、長期的な安定を重視した治療を行っています。リスクについても事前に丁寧にご説明します。
A. 通常のインプラント治療においては腫れることはほとんどありませんが、骨の量が足りなく骨造成を行った場合は腫れることがあります。
その際は、術後2日前後をピークに腫れることがあります。骨造成を行った場合内出血も起きる可能性があります。
A. 通常は2〜6ヶ月程度です。
骨とインプラントがしっかり結合するまでの「治癒期間」が必要となるためです。骨造成が必要な場合は、12ヶ月以上かかる場合もあります。
A. はい、当院では骨造成(GBR)や上顎洞挙上術(サイナスリフト)にも対応しています。
歯がなくなると、その時点から周りの骨に吸収が始まり、骨は薄くなっていきます。そのため長い間歯が抜けたまま放置していると、インプラントを埋入するだけの骨がなくなってしまうことがあります。抜歯する部位の骨の状態が良ければ「抜歯即時埋入」という抜歯した同日にインプラント埋入を行うことができます。
また、抜歯する部位の骨の状態が良くない場合は、抜歯を行うときに「リッジプリザベーション」という、抜歯窩に骨補填材(骨の吸収を押さえる薬)を入れ、歯肉を移植する処置を行ないます。これにより、骨が薄くならないようにすることが可能となります。また、すでに吸収して薄くなってしまった骨を、再度インプラントが埋入できるだけのしっかりした骨に再生する事も可能です。
GBR法、ボーングラフト(骨移植)、サイナスリフト(上顎洞挙上術)などといった方法があります。当院では、ほとんどの場合、インプラント治療は可能ですが、どういった術式で行なうかは、精密検査の後に診断しますのでぜひ、ご相談ください。
| サイナスリフト (上顎洞底挙上法) |
例:インプラントを埋入する上顎の骨が極度に薄い場合に行う治療です。 上顎から歯槽骨に窓を開け、そこに骨移植や骨補填材を使用し骨量の回復を行います。その後インプラントを埋入します。 |
|---|---|
| ソケットリフト (骨増成手術) |
例:インプラントを埋入する上顎の骨が薄い場合に行う治療です。 埋入部を移植骨や骨補填材を入れながら押し上げ、同時にインプラントを埋入します。 |
| GBR (骨誘導再生法) |
例:インプラントを埋入する顎の骨や歯槽骨に、十分な骨量がない場合に行う治療です。 他部位からの骨移植や骨補填材の使用により、骨量の回復を行います。 |
A. 2014年の厚生労働省の調査よると、インプラントの10〜15年生存率は90〜94%と発表されています。
インプラント治療は、正しい審査診断のもとに行なわれた場合、天然の歯に近い長期残存が可能です。一般的な臨床データとして、20年間で上顎が90.0%、下顎が92.3%の残存率があります。
また、5年間正常に機能したインプラントはその後、極めて高い残存率を誇ることも証明されています。これらの残存率は、患者様のメンテナンスに対する意識を高めていただくことにより、さらに向上すると確信しています。
天然の歯と同じように、メンテナンス次第で寿命が大きく変わる治療です。
インプラント治療はすばらしい治療方法ですが、魔法の治療ではありませんのでしっかりとした定期的なメインテナンスが必要になります。
また、天然歯を守るためには細菌による炎症と夜間の歯ぎしり等の力をコントロールすることが必要になります。このことはインプラントも同じですので、定期的な歯科医院でのメインテナンス、日々のブラッシング、夜間の歯ぎしりに対するマウスピースは必要になります。
はい、当院ではインプラント本体に対して10年間の保証制度を設けています。
保証を受けるには、定期検診(3ヶ月〜6ヶ月)に通っていただくことが条件となります。詳しくは初診時または治療計画時にご説明いたします。
インプラント治療は自由診療のため保険は適用されませんが、医療費控除の対象になります。
申告することで数万円〜十数万円の税金が還付されるケースもあります。詳しくは前章をご覧ください。
はい、再治療(リカバリーケース)にも対応しております。
他院でインプラントが抜けた・腫れた・審美的に満足できないなどのお悩みに対して、CT検査と精密診断を行い、必要に応じて再治療をご提案いたします。
もちろんです。当院では無料カウンセリングを実施しております。
無理な勧誘は一切いたしません。ブリッジや入れ歯との違いも含めて、あなたにとって最適な治療法を一緒に考える場です。
はい。まずは状態を正確に知ることが大切です。
「骨が足りない」「難しい」と言われた場合でも、治療方法や考え方が異なればインプラントが可能になるケースもあります。
無料相談では、治療を無理にすすめることはありません。
治療を受けるかどうかは、相談後に決めていただけます。
年齢だけでインプラント治療ができないことはありません。
大切なのは年齢ではなく、お口の状態や全身の健康状態です。
当院では、必要に応じてかかりつけ医とも連携しながら、安全性を重視した治療計画をご提案しています。
そのようなことはありません。
無料相談は、「話を聞く」「状態を知る」ための場です。
他の治療方法と比較したい方や、今すぐ治療を考えていない方も、安心してご相談ください。
札幌でインプラント治療を検討されている方にとって、歯科医院選びは非常に重要なポイントとなります。
インプラント治療は高度な診断と治療計画が必要なため、設備・経験・治療方針を総合的に確認することが大切です。
まず重要なのは、歯科用CTによる精密診断が行われているかどうかです。
骨の厚みや神経・血管の位置を三次元的に把握することで、安全性の高い治療計画を立てることが可能になります。
また、骨量が不足している場合でも、骨造成(GBR)やサイナスリフトなどの選択肢を提案できる医院であるかも重要な判断基準となります。
インプラントは治療後のメンテナンスも長期的な成功に大きく関わります。
そのため、通院しやすい立地や継続的なフォロー体制が整っている歯科医院を選ぶことが、将来的な安定につながります。
インプラント治療の費用は医院によって差がありますが、その違いは使用する材料、診断設備、治療計画、アフターケア体制などによって生じます。
単純に価格だけで比較するのではなく、安全性や長期的な安定性を含めて検討することが重要です。
特に精密検査や治療計画に十分な時間をかけている医院では、長期的なトラブルを防ぐことにつながります。
札幌でインプラント治療を検討される際には、費用だけでなく診断内容や説明の丁寧さも確認することをおすすめします。
「骨が足りないためインプラントは難しい」と診断された場合でも、骨造成(GBR)や上顎洞挙上術(サイナスリフト)などにより治療が可能となるケースがあります。近年では治療技術の進歩により、以前は適応外とされていた症例でもインプラント治療を行える可能性が広がっています。
当院では精密な診断をもとに、患者さま一人ひとりの骨の状態に合わせた治療方法をご提案しています。
インプラント治療は複数回の通院が必要になるため、通いやすさも重要な要素です。
札幌駅周辺は交通アクセスが良く、仕事帰りやお買い物の合間にも通院しやすい環境が整っています。
継続的なメンテナンスを無理なく続けられることが、インプラントの長期安定につながります。
札幌でインプラント治療をご検討中の方は、まずはお気軽にご相談ください。
インプラント治療は、 お口の状態や治療内容によって費用が異なります。
当院では、治療を始める前にCT検査を行い、 治療内容と費用の総額を事前にご説明しています。
ご説明した内容にご納得いただいたうえで 治療を開始しますので、 治療途中で想定していない追加費用が 発生することはありません。
治療内容によって異なりますが、以下が一般的な価格帯です。
※ 全て税込の金額です。
| 初診料 (※健康保険で虫歯、歯周病の検査からになります) |
3,000円前後 |
|---|---|
| 精密診察料 | 38,500円 |
| インプラント治療 (前歯) |
550,000円 |
| インプラント治療 (奥歯) |
462,000円 |
| 滅菌・消毒費用 | 7,700円 |
| インプラントガイド | 55,000円 |
※骨造成が必要な場合(GBR・サイナスリフト等)は追加費用が発生しますが、事前にご説明いたします。
※骨造成が必要な場合(GBR・サイナスリフト等)は追加費用が発生しますが、事前にご説明いたします。
| インプラント治療 (前歯) |
651,200円〜 |
|---|---|
| インプラント治療 (奥歯) |
563,200円〜 |
| インプラント治療 (総額費用) |
462,000円〜550,000円 |
| 総額 | 550,000円 |
|---|
| 総額 | 462,000円 |
|---|
| ソケットリフト(1歯) | 110,000円 |
|---|---|
| 骨造成 | 242,000円〜 |
| サイナスリフト(片顎) | 242,000円〜 |
| GBR法 | 242,000円(2歯まで) 追加1歯ごとに55,000円 |
| 静脈内鎮静法 | 77,000円 |
| インプラントガイド | 55,000円 |
※ 2025年12月現在の目安です。
※ 治療内容や骨の状態により費用は異なります。
※ 詳細な費用は、無料相談・検査後にご説明します。
インプラント治療はお口の状態によって最適な治療方法や費用が異なるため、札幌でインプラントをご検討中の方はまずは無料相談にて詳しくご説明いたします。
CT検査をもとに、治療内容と費用の総額を事前にご説明します。
無理に治療をおすすめすることはありません。
患者さんに長期的に安心してインプラントを使用してもらえるように、インプラント体は10年間の保証制度を設けております。
セラミッククラウン(上部構造)も10年保証になりますが、最初の5年はトラブルがあった場合は無償で治療を行います。
5年から10年の間でのトラブルは当院の規定により保証します。
インプラントに興味はあるけれど、「何から始まるの?」「どれくらい通うの?」「痛みは?」といった不安を感じている方も多いと思います。ここでは、当院で行っているインプラント治療の一般的な流れと、それぞれの期間についてご紹介します。
まずは、お悩みやご希望をしっかりヒアリングします。
● なぜインプラントを検討されているのか
● 痛みや費用の不安はないか
● 治療へのご希望(目立たない・早く終えたい など)
そのうえで、インプラントが本当に適しているかどうか、他の治療法との比較も含めてご説明します。
インプラントは「骨に人工の歯根を埋め込む治療」です。そのため、事前の精密検査がとても重要です。当院では歯科用CTを使用し、以下のような情報を3Dで正確に確認します。
● 顎の骨の厚み・高さ・質
● 神経や血管の位置
● インプラントを安全に埋入できる位置と角度
検査結果は後日、丁寧にご説明いたします。
CT検査のデータをもとに、オーダーメイドの治療計画を立案します。
● インプラントを入れる本数と位置
● 骨の量に応じた補助手術の有無(GBR・サイナスリフトなど)
● 手術方法(1回法/2回法)
● 期間・通院回数・費用・保証内容
納得いただけるまでご説明し、十分な時間をかけてご検討いただきます。
痛みや不安に配慮し、局所麻酔または鎮静法を用いて処置を行います。手術時間は本数や部位で異なります。術後の腫れや痛みは、個人差はあるものの1週間程度で落ち着きます。
インプラント体が骨としっかり結合するまで、治癒期間(オッセオインテグレーション期間)を設けます。この期間は数ヶ月にわたりますが、必要に応じて仮歯を装着することも可能です。
骨との結合が確認できたら、アバットメント(土台)を取り付け、セラミックの人工歯を装着します。色・形・噛み合わせを調整しながら、自然で美しく、機能的にも優れた歯を再現します。
インプラントは「入れたら終わり」ではありません。天然の歯と同じように、定期的なメンテナンスが必要不可欠です。当院では3ヶ月〜半年ごとの定期検診で、以下をチェックします
● インプラント周囲の歯ぐきの状態(インプラント周囲炎の予防)
● 噛み合わせの変化
● セラミックやネジのゆるみチェック
正しくケアを続ければ、10年・20年と長く使っていくことが可能です。
インプラント治療は、短期間で終わるものではありません。しかし、自分の歯のように噛めて・話せて・笑える未来をつくるための、大きな価値ある選択です。治療の内容をしっかり理解し、納得した上で進めていくことが、成功の第一歩になります。

詳しく見る
「まずは相談だけでも大丈夫ですか?」という声に、私たちはこう答えます。もちろん、大丈夫です。むしろ、そういった不安や迷いがある段階だからこそ、私たちは「無料相談」をおすすめしています
「一度話を聞いてみたかった」「他院との違いを知りたかった」そんな理由でのご来院でも、私たちは大歓迎です。
● 本当にインプラントが必要なのか?
● 費用や期間はどれくらいかかるのか?
● 痛みや失敗が不安…
どんな小さなことでも、お気軽にお話しください。治療を強く勧めることは一切ありません。
当院のカウンセリングでは、以下のような内容をお話しいただけます。
● お悩みや不安、過去の治療歴について
● インプラント以外の治療法の可能性も含めて
ご提案
● 費用・期間・治療の流れの説明
● 症例写真やCT画像の例を見ながら
イメージの共有
ご希望があれば、お口の中の簡易診査やレントゲン撮影も可能です(その場合は費用がかかる場合があります)。
お電話またはWEBからご予約ください。
症状やお悩みをご記入いただきます。
スタッフがじっくりお話を伺います。無理なご提案はいたしません。
すぐに決めなくてもOK。ご自宅でゆっくりご検討ください。
当院がインプラント治療において大切にしているのは、「どうすれば患者様が“安心して任せられる”と感じるか」という視点です。
見えない部分にこそ、医院の本気と誠実さは表れます。だからこそ、あなたの人生を支えるインプラント治療を、私たちは全力でお手伝いします。
インプラントは、単なる“歯の代わり”ではありません。
手術の精度、診断力、滅菌環境、
メンテナンス体制――
どの歯科医院を選ぶかによって、治療後の安心感と満足度に大きな差が生まれます。
当院は、インプラントを「一生を支える医療」と考え、あらゆる面で妥協のない治療体制を整えています。
骨の量が少ないためインプラントをあきらめていた方へ。当院では最新のGBR(骨誘導再生)技術を駆使し、骨を再生させながら安全・確実にインプラントを埋入します。「骨が足りない」と言われた方も、諦める必要はありません。ぜひ当院にご相談ください。

詳しく見る
当院では、インプラント治療を行うにあたり歯を失ったところだけではなくお口の中を全体的に検査をします。
その後、コンピューターでシュミレーションを行い、安全でより精度の高いインプラント治療を行っていきます。
インプラントは天然歯よりも感染に弱いため、長く持たせるためにはインプラント周囲の環境を整えることが大変重要になってきます。当院では必要に応じて失われた顎骨・歯肉の再建を行い、予知性の高いインプラント治療を行っていきます。

当院では、すべてのインプラント治療に歯科用CTによる三次元診断を行っています。
● 顎の骨の厚み・密度・神経や血管の位置を立体的に確認
● インプラント埋入の最適な角度・深さを安全に計画
● 骨造成(GBR・サイナスリフト)が必要かを判断可能
「失敗しない」ためには、“見える治療計画”が欠かせません。
インプラント治療は外科手術の一種。当院では清潔域を保つための滅菌環境を整備しています。
● 高水準のクラスB滅菌器導入
● 手術器具の完全個別パック化
「清潔さ」は見えなくても、結果に直結する信頼の基盤です。
● インプラント症例数通算3,000本以上
● 難症例(骨が薄い/再治療)の実績も豊富
患者様との信頼関係を第一に流れ作業ではない、責任ある治療を提供しています。
インプラントは見えない部分だけでなく、仕上がりの見た目(上部構造)も重要です。
● 周囲の歯と自然になじむ色・形を再現
● 歯肉ラインとの調和も重視したデザイン
● セラミック技工士と連携した審美補綴
“機能美”と“審美”を兼ね備えたインプラント治療を実現しています。
当院では、治療後のメンテナンスにも力を入れています。
● インプラント本体10年間保証
● 定期メンテナンス(3〜6ヶ月ごと)
● インプラント周囲炎の早期予防
長く快適に使っていただくために、“入れて終わり”ではなく“支え続ける”診療体制を整えています。

詳しく見る
インプラントとは、歯を失った部分の顎の骨に人工の歯根(インプラント体)を埋め込み、その上に人工の歯を装着する治療方法です。
見た目も自然で、機能的にも「自分の歯のように」しっかり噛めるのが大きな特徴です。骨としっかり結合するため、違和感がほとんどなく、周囲の歯に負担をかけないという点でも、他の治療法よりも優れているとされています。
インプラント治療は長期的に非常に高い成功率が報告されています。Pjeturssonらによると、インプラント支持の固定性補綴物の10年生存率は95.6%とされ、正しい診断とメンテナンスにより高い安定性が得られる治療法です。
(Pjetursson et al., 2012|https://pubmed.ncbi.nlm.nih.gov/23062125/)
歯を1本失っただけでも、食事のしづらさや発音のしにくさ、見た目の違和感など、生活の中で感じるストレスは少なくありません。
さらにそれが複数本、あるいは前歯であれば、人前で笑えなくなったり、人との会話すら気になったりすることもあります。そんなときに選択肢となるのが「インプラント治療」です。
今では多くの方がインプラントを通じて、“噛める喜び”と“自然な笑顔”を取り戻しています。
以下のような場合に、インプラント治療が検討されます。
● 虫歯や歯周病で歯を失ってしまったとき
● 事故や外傷で歯を失ったとき
● 先天的に歯がない場合
● 入れ歯やブリッジに不満があるとき(違和感・外れやすいなど)
● 自然な噛み心地や、見た目の美しさを取り戻したいとき
特に「しっかり噛める」ことや「見た目が自然である」ことを重視する方には、インプラントが非常に適した選択肢となります。
インプラント治療において私達が大切にしていることは、なぜ歯を失ってしまったかを徹底的に診断することです。
「虫歯で歯を失ってしまったのか?」、「歯周病で歯を失ってしまったのか?」、「かみ合わせの問題があるのかどうか?」等を診断することは非常に大事なことなのです。これらの事は、歯を失ったことは同じですが状況は全く異なるのです。
私達は歯を失ってしまった原因を追求し、インプラント治療、虫歯治療、歯周病治療、矯正治療、根管治療等の治療を組み合わせ総合的に治療計画を立てて治療を行っていきます。
札幌でインプラント治療をご検討される方からは、次のようなご質問をよくいただきます。
「本当にインプラントは安全なの?」
「痛みはどれくらいありますか?」
「年齢制限はありますか?」
荒川デンタルクリニックでは、こうしたご不安に一つひとつ丁寧にお答えし、患者様にとって最適な治療法を一緒に考えていきます。

詳しく見る
インプラントは、見た目・機能・長期安定性のすべてにおいてバランスが良く、「一生ものの治療」とも言える選択肢です。
▶︎横にスクロールできます
| 比較項目 | インプラント | ブリッジ | 入れ歯 |
|---|---|---|---|
| 他の歯への影響 | |||
| 負担なし | 支えとなる健康な歯を削る | バネで隣の歯に負担がかかる | |
| 見た目 | 非常に自然 | やや違和感あり | 金具が見えることも |
| 噛む力 | 天然歯に近い | やや劣る | 弱い・ずれやすい |
| 違和感 | 少ない | 少ない | 大きい・外れやすい |
| 寿命 | 適切なケアで10年以上 | 5〜10年程度 | 3〜5年程度 |

詳しく見る
こうした理由から、今では、入れ歯ではなくインプラントを選ぶという流れが主流になってきています。
歯を失ってしまった所にインプラントを埋め込み、その上に被せ物をしていく治療方法になります。失った前後の健康な歯を削って治療することもありませんし、前後の歯に負担をかけることもありません。
また、違和感が少なく、御自身の歯と同じような感覚で噛むことが出来るようになります。
歯を失った前後の歯が残っている場合ブリッジ治療を行うことが出来ますが、健康な歯を削ることのメリットは一つもありません。
また、前後の歯にかかる負担も増えてしまい、これらの歯も失ってしまう可能性が高くなってしまいます。
歯を失うと歯だけではなく、周囲の骨と歯肉もなくなります。このことを生物学的代償といいます。
インプラントは自分の骨に埋め込む治療方法なので、安定感がありお口の中の違和感が入れ歯などに比べると格段に少ないです。
入れ歯治療は歯だけではなく失った骨や歯肉も再建しなければいけません。また、安定させるためには必要最低限の範囲で大きく作らなければならないのです。従って、口腔内の違和感を感じる方が多いのが実情です。部分床義歯の場合は歯にバネをかけなければなりません。バネをかけた歯にかかる負担は大きく、部分床義歯から総義歯になってしまうことも多々考えられます。
インプラント治療は非常に良い治療方法ですが、日本における国民皆保険制度の給付対象外になってしまいます。 従いまして、保険適用外となってしまうため費用が高額になってしまいます。
インプラント治療は顎の骨の中にチタン製のスクリューを埋め込む治療ですので外科処置が必要になります。 また、顎骨とインプラントがしっかりくっつくのに時間がかかります。 (骨が十分にある場合は約3ヶ月〜6ヶ月の時間がかかります。患者さん状態により期間は変わります。)
インプラント周囲炎とは、インプラントの歯周病のことです。本来の患者さん御自身の歯と同じようにインプラントも歯周病になります。 天然歯よりもインプラントのほうが感染に弱いです。治療が終わったあともしっかりメインテナンスを行なっていかなくてはいけません。
当院には、
「興味はあるけど手術が怖い」
「高額なイメージがある」
「実際にどんな治療をするのか知りたい」
といったお声を毎日のようにいただきます。
だからこそ、当院では無料カウンセリングをご用意しています。インプラントがあなたにとって本当に必要かどうか、無理のない範囲で一緒に考えていきましょう。

インプラントは、“失った歯を補う”という目的だけでなく、
「食べる」「話す」「笑う」「見た目に自信を持つ」――そんな当たり前の毎日を取り戻す治療でもあります。
「気になっているけど一歩踏み出せない」そんな方のために、私たちは全力でサポートいたします。まずはお気軽に、無料相談へお越しください。
「まとまった費用は今すぐ難しい」という方のために、当院では以下の方法をご用意しています。
● デンタルローン(アプラス 金利3.9%)
● クレジットカード支払い
● 院内分割
費用が理由でインプラントをあきらめることがないよう、無理のないご提案を心がけています。
インプラント治療にかかった費用は、一定の条件を満たせば確定申告によって税金の一部が戻ってくる制度(医療費控除)の対象になります。
「自分のケースではいくら?」
「ローンや控除を含めると、実質いくら?」
そんな疑問も、カウンセリング時にすべてご説明いたします。金額だけでは測れない“信頼・技術・安心”も含めて、ぜひ比べてみてください。
当院では、治療前のご相談は無料で行っております。実際にお口の中を確認し、必要な本数や手術内容を精査したうえで、わかりやすいお見積もりをご案内いたします。ご相談だけでも歓迎です。まずは、お気軽にご予約ください。

詳しく見る
| 診療時間 | 月 | 火 | 水 | 木 | 金 | 土 | 日 |
|---|---|---|---|---|---|---|---|
| 09:30 - 13:30 | ● | ● | ー | ● | ● | ● | ー |
| 14:30 - 18:30 | ● | ● | ー | ● | ● | ● | ー |