ホワイトニングがおすすめな方

1. 歯の色が気になる人
コーヒー、紅茶、赤ワイン、タバコなどの飲食習慣や喫煙によって、歯に着色がついてしまっている人は、ホワイトニングを通じて歯を明るく白くすることができます。
2. 加齢による歯の黄ばみが気になる人
年齢を重ねると、エナメル質が薄くなり、歯の内側の象牙質が黄色く見えることがあります。ホワイトニングは、この自然な加齢による歯の変色を軽減します。
3. 重要なイベントを控えている人
結婚式、卒業式、写真撮影など、大切なイベントを控えている場合、ホワイトニングで歯を白くし、自信を持って笑顔を見せることができます。
4. 第一印象を良くしたい人
清潔感や健康的なイメージを保ちたい人にとって、白く美しい歯は第一印象を良くするための強力な要素です。仕事や人前に立つ機会が多い方にもおすすめです。
症例を見る
当院で行う2種類のホワイトニング
1. ホームホワイトニング
ホームホワイトニングは、自宅で自分のペースで行うことができる歯のホワイトニング方法です。歯科医院で処方される専用のホワイトニングジェルとマウスピースを使用して、数週間にわたって徐々に歯を白くしていきます。
詳しくを見る
2. オフィスホワイトニング
オフィスホワイトニングとは、歯科医院で歯科医師または歯科衛生士によって行うホワイトニングです。歯の表面に薬剤を塗布し、光を当てることでホワイトニングを行います。ホームホワイトニングと比べて、白くなるスピードがはやく 短期間で効果を実感していただけます。
詳しく見る
ホワイトニングについて
ホワイトニングが必要になる主な原因
歯の着色にはさまざまな原因があります。
大きく分けると、外因性の着色と内因性の着色に分類されます。
これらの原因によって、歯が黄ばむ、茶色くなる、あるいは黒ずむことがあります。
1. 外因性の着色(外部からの原因)
外因性の着色は、歯の表面に付着する汚れや色素が原因です。これらはエナメル質に影響を与えます。
-
食べ物や飲み物
コーヒー、紅茶、緑茶・・・これらの飲み物にはタンニンが含まれており、歯の表面に色素が付着しやすくなります。
- 赤ワイン・・・赤ワインのポリフェノールや酸が、歯の表面を着色します。
- カレー、トマトソース、醤油・・・色が濃い食べ物には、歯に着色しやすい成分が多く含まれています。
-
喫煙(タバコ)
タバコに含まれるタールは、強い着色の原因になります。
-
プラークと歯石
食べ物の残りや唾液中の成分が歯に蓄積すると、プラークや歯石として残り、これが色素を吸収しやすくなることで着色が進行します。
-
口腔内の乾燥
唾液には、歯を洗浄する作用があります。口腔内が乾燥すると、着色成分が歯に付着しやすくなります。口呼吸や唾液の分泌量が少ない場合が該当します。
2. 内因性の着色(内部からの原因)
内因性の着色は、歯の内側(象牙質やエナメル質の内部)で起こる変色です。これには生理的なものや薬物の影響が含まれます。
-
加齢
年齢とともにエナメル質が摩耗し、内部の象牙質(黄色みを帯びた部分)が透けて見えるため、歯が徐々に黄ばんで見えることがあります。また、象牙質そのものも徐々に色が濃くなるため、加齢による変色は自然な現象です。
-
テトラサイクリンによる歯の変色
妊娠中や幼少期に抗生物質であるテトラサイクリンを服用すると、永久歯が形成される過程で歯に変色が起こることがあります。この変色は灰色や茶色の縞模様として現れることが多く、ホワイトニングでは改善が難しいことがあります。
-
外傷や歯の神経死
歯に強い衝撃を受けた場合、神経が損傷して歯が内部から変色することがあります。これにより、歯が灰色や黒っぽくなることがあり、特に前歯の外傷後に見られることがあります。
-
根管治療後の変色
根管治療を受けた歯は、神経を抜くことで内部の栄養供給が絶たれ、時間が経つと変色することがあります。この場合、歯の中から行うホワイトニング(ウォーキングブリーチ)が必要になります。
ホームホワイトニングについて
ホームホワイトニングは、まず歯科医院で患者様の歯の型を取って患者様専用のマウスピースを作成します。
ホワイトニングジェル(過酸化尿素を含むもの)をマウスピースに入れて、夜間寝ている間に装着することでホワイトニングを行います。
ホームホワイトニングの
メリット
自分のペースでできる
自宅で自分のスケジュールに合わせてホワイトニングを行えるため、忙しい人にも適しています。仕事や家事の合間に行うことができ、歯科医院に何度も通う必要がありません。
自然な白さが得られる
急激に白くするオフィスホワイトニングに比べ、ホームホワイトニングはゆっくりと時間をかけて白くするため、より自然な白さにすることができます。
タッチアップ
(再度ホワイトニングを行うこと)
が簡単に出来る
ホームホワイトニング用のマウスピースは、1回作れば繰り返し使えるため、ホワイトニング効果が薄れてきたときに自宅で簡単にタッチアップ(再度ホワイトニングを行うこと)を行うことができます。
ホームホワイトニングの
施術の流れ
- 1. 検査・カウンセリング/
クリーニングホワイトニングトレーの型取り
※虫歯などの治療が必要なければホワイトニングトレーの型取りを行います。
※ホワイトニングは 歯の表面に薬剤を浸透させ、歯を白くするため施術の前には歯をクリーニングします。
- 2. ホワイトニングトレーの型取り
- 3. ホワイトニングトレーと薬液のお渡し・使用方法、注意事項の説明
- 4. ホワイトニングのチェック
色の変化を確認するためのお写真を撮影・ホワイトニングを始められてお困りの事がないか確認、カウンセリングを行いますご希望の白さになるまで数回チェックに来ていただくことがございます。
- 5. 目標の白さになれば、ホワイトニングは終了
※ホワイトニングは個人差がありますので、必ず白くなりますが思っているような白さにならない可能性もあります。
もし着色や歯の黄ばみが再度気になってきた場合はもう一度ホームホワイトニングを行っていただくことで、おなじ白い歯を取り戻すことができます。
※ホワイトニングのトレーがしっかりと装着できる場合は、薬液を買い足していただくだけでもう一度ホワイトニングを行うことが出来ます。ただし虫歯の治療などでトレーが合わなくなった場合は再度トレーを作製する必要があります。
オフィスホワイトニングについて

オフィスホワイトニングのメリット
即効性がある
オフィスホワイトニングの最大のメリットは、短期間で歯の白さを実感できるところです。個人差はありますが、1回の施術(90分)で歯を白くすることが可能です。さらに効果を高めたい場合、2~3回以上の施術を重ねることで、より一層の白さを実感することができます。イベントなどをひかえていて、歯の黄ばみや変色をすぐに改善したい方にとって、オフィスホワイトニングは最適な選択といえます。
安心してホワイトニングができる
オフィスホワイトニングでは、施術中に何らかの問題が発生した場合でも、歯科医院でホワイトニングを行っているのですぐに専門的な治療を受けることができます。たとえば、施術中に歯に違和感や痛みがある場合もすぐに対応できます。
処置時間が短い
ホームホワイトニングは、白さが定着するまでに4週間前後、ほぼ毎日マウスピースを装着し続ける必要があります。
一方、オフィスホワイトニングは、施術が約90分かかりますが、時間的な拘束はホームホワイトニングに比べて少ないです。
つまり、忙しい日々を過ごす方であっても、診察時間内に歯科医院へ足を運べば、一定の時間で確実に歯を白くすることが可能です。そのため、時間管理が必要な方や自己管理が難しい方には、オフィスホワイトニングが適しています。
オフィスホワイトニングの
施術の流れ
- 1. 検査・カウンセリング
お口の中の検査を行い、ホワイトニングができる状態かチェックします。
- 2. クリーニング
ホワイトニングは 歯の表面に薬剤を浸透させ、歯を白くするため施術の前には歯をクリーニングします。
- 3. ホワイトニング(施術)
・歯茎に薬剤が付かないように、保護剤を塗布
・歯の表面にホワイトニングの薬剤をと塗布し、光を当てます
・照射後 薬剤を除去します
※お時間は90分かかります。
- 4. 仕上げ・チェック
施術前の歯と施術後の歯の色味を比べて どのくらい白くなったかの確認をいたします。この歯の色味のチェックを行うことで どのくらいの効果が出ているのか 大体あと何回施術が必要かを予測することができます。
※元々の歯の黄色みが強い方・歯の色味がグレー系統に暗い方は、なかなか一度の施術では真っ白になる事はありません。数回の施術が必要です。
ホワイトニングの副作用について

ホワイトニング治療では、主に以下のような副作用が発生することがあります。
知覚過敏
ホワイトニングによって歯の内部の水分が一時的に減少することにより知覚過敏になる可能性があります。
ホワイトニングで使用される薬剤(過酸化水素や過酸化尿素など)は、歯の表面に作用して内部の色素を分解しますが、この過程で歯の水分が一時的に失われることがあります。これにより、歯が敏感になり、知覚過敏が生じやすくなります。歯の中から失われた水分は数時間〜1日くらいで元にもどります。水分が戻ると知覚過敏も減少します。
色ムラ
ホワイトニング治療後、歯全体が同じ白さにならず、色ムラが発生することがあります。歯1つ1つの色素沈着度合いやエナメル質の厚さなどで、すべての歯へ均等に薬剤が作用しなかったりすることが原因でおこります。ホワイトニングが終わったあと一般的には徐々に目立たなくなることが多いです。
後戻り
後戻りとは、一度白くした歯がまたホワイトニングをする前の色に戻ってしまうことをいいます。ホワイトニング治療では、基本的にどうしても後戻りするため、ホワイトニング後の真っ白な歯の状態を保つことが難しいです。
後戻りの原因としては、主に以下の4つが考えられます。
①ホワイトニング後の水分復帰
②食べ物や飲み物による着色
③加齢による自然な変色
④不十分な歯のケアなど
ホワイトニング後の歯は、飲食物によって着色しやすい状態になります。
例えば、コーヒーや紅茶、ワインなど色素が含まれているものを飲むと、歯にうっすらと色が付きます。また、エナメル質はミネラル分が消失すると、再石灰化を繰り返すため、歯質の再石灰化を繰り返せば、歯の表面が元のような状態に戻ってしまうというのが、ホワイトニング後に後戻りする理由です。
ホワイトニングを受けるにあたっての注意点

歯がしみる
虫歯や歯周病が無い健康な歯でもホワイトニングを行う事で、歯がしみる場合があります。原因はその人の歯の質やホワイトニング薬剤の濃度が高いことが考えられます。多少はどうしても薬剤の影響でしみる症状はあるかとは思いますが、しみる症状が強くでた場合・翌日まで痛みが続く場合は一度 歯科を受診してください。
ホワイトニングに通っている間は
着色しやすい
ホワイトニングの施術直後や・ホワイトニングを終えられた方は着色しやすい食べ物や飲み物、喫煙に注意してください。
ホワイトニングをしている歯は着色しやすい状態とも言えます。
そのため術直後24時間はコーヒーやワイン・紅茶・カレーなど控えてください。ホワイトニングを終えられた方も、必ずしも控えなければいけないという訳ではありませんが。白い歯を少しでも長く楽しみたいのであれば、喫煙習慣や着色しやすそうな飲食物は控えた方が良いでしょう。
ホワイトニングが受けられない方
-
妊娠中・授乳中の方または妊娠の可能性がある方
ホワイトニングの薬剤は一般の方への安全性は確認されていますが、妊娠中の方や授乳中の方への安全性はまだ分かっていません。
-
未成年の方
ホワイトニングの薬剤が乳歯や生えたての永久歯に与える影響がまだはっきりとわかっていないため、多くの歯医者では18歳以上が対象年齢としているところが多いです。
-
無カタラーゼ症の方
無カタラーゼ症とは「過酸化水素」を分解するカタラーゼという酵素が不足している病気のことを言います。ホワイトニングの薬剤の成分にはこの「過酸化水素」という成分が含まれているため、無カタラーゼ症の方はホワイトニングを受けることができません。
-
光線過敏症の方
オフィスホワイトニングでは光照射を行います。光線過敏症の方は口唇に火傷を起こしやすいので、避けた方が良いでしょう。ただしホームホワイトニングであれば、お家で簡単に行えますので そちらをおすすめいたします。
-
テトラサイクリン変色歯の方
幼少期にテトラサイクリン系の抗生物質を服用し、歯がグレーになっている方はホワイトニングの効果があまり得られません。
これはテトラサイクリン系の抗生物質が原因で、歯の形成時に色素が沈着してしまっているためホワイトニングでは効果が得られず、なおかつ期間もかかってしまいます。そのため歯の色味が気になる場合、当院では別の治療方法をご提案いたします。ぜひ一度ご相談ください。
ホワイトニングができない歯
※ホワイトニングは天然歯(自分の歯)にしか効果がありません。
-
被せ物が入っている歯
天然歯にしか薬剤は浸透しないため、被せ物の色がかわる事はありません。
-
プラスチックなどを詰めている部分
虫歯の治療で白いプラスチックを詰めた部分も薬剤の浸透が無いため白くはなりません。
ホワイトニングを開始される前に、この部分は白くなる部分・ならない部分を確認いたします。想像していた様に白くならなかった…とならないためにも、そちらをご確認いただいたうえで治療に臨まれることをお勧めします。
またホワイトニングを終えて、どうしてもプラスチックの部分が浮いて目立ってしまう様であれば、白くなった歯に合わせて再度プラスチックを詰め直す方法もございます。保険治療、自費治療ともに診療メニューがそれぞれございますので どうぞお気軽にお尋ねください。
-
エナメル質形成不全の歯
エナメル質形成不全とは何らかの原因によって、エナメル質の成長が不十分なことを言います。
エナメル質とは歯の一番表面の部分を指します。そのエナメル質が弱い状態でホワイトニングの施術を受けると、強いお痛みを伴ったり、ホワイトニングの効果があまり感じられないといった問題を引き起こす可能性があります。
よくあるご質問

Q. 一度の通院で思い通りの
白い歯になれますか?
A. 一度のホワイトニングで目標の色味に到達する事は残念ながら難しいです。
もとの歯の色味が強い方(黄色み・暗い色味の歯)は特に一度の施術で真っ白になることはまず無いと言えるでしょう。しかし全く効果を感じられないというわけではありません。一度のオフィスホワイトニングで歯の色味が3〜5段階ほど白くなると言われています。
ただ3〜5段階白くなるとしても、真っ白な歯を希望される方にとっては、初回は少し物足りなく感じるかもしれません。そのため初回では効果をあまり感じることができず、落ち込む方もおられますが 何回かホワイトニングに通院していただくことですぐに効果を実感していただけます。
Q. 1回ホワイトニングをすると、
どのくらいの期間効果が持続しますか?
A. ホワイトニングの治療方法により異なります。ホワイトニングにはオフィスホワイトニングとホームホワイトニングがあります。
オフィスホワイトニングの場合3ヶ月から6ヶ月が効果持続期間とされておりホームホワイトニングの場合は6ヶ月から1年、効果が感じられると言われています。
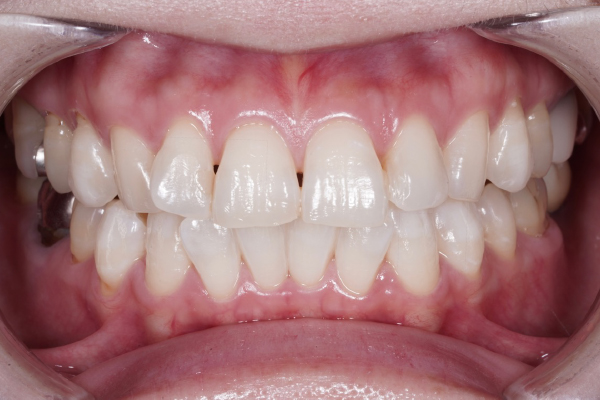
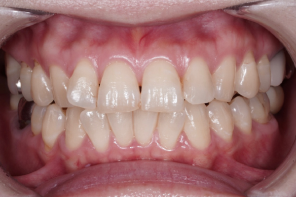
ホワイトニングの症例
ホワイトニング症例① 20代男性
【札幌 歯医者 荒川デンタルクリニック】
▶ 詳細はこちら
ホワイトニング症例② 20代女性
【札幌 歯医者 荒川デンタルクリニック】
▶ 詳細はこちら
ホワイトニング症例③ 50代女性
【札幌 歯医者 荒川デンタルクリニック】
▶ 詳細はこちら
ホワイトニング症例④ 20代男性
【札幌 歯医者 荒川デンタルクリニック】
▶ 詳細はこちら
ホワイトニング症例⑤ 40代女性
【札幌 歯医者 荒川デンタルクリニック】
▶ 詳細はこちら
ホワイトニング症例⑥ 40代女性
【札幌 歯医者 荒川デンタルクリニック】
▶ 詳細はこちら