他院で抜歯と診断された場合でも精密な根管治療や歯冠長延長術、矯正など組み合わせる事により歯を残せる可能性がありますので一度ご相談していただけたらと思います。
歯根破折(歯が割れている)等の場合の診断はほとんどの歯科医師が抜歯と診断するとおもいます。
しかし、抜歯基準は歯科医師によって違う可能性があります。私達は歯を残すことを第一に診療を行っていますので他院で「抜歯」と診断された場合でも、歯を残すことが可能な場合もあります。
歯科マイクロスコープとは、歯科用顕微鏡のことです。肉眼と比較して約20倍程度まで視野を拡大することができます。
お口の中は非常に暗く、また歯の治療は細かい作業が求められますのでマイクロスコープを使用する事によって治療のスピードや治療精度を上げることが出来ます。
現在の歯科臨床において、マイクロスコープは必須です。歯内療法・根管治療にかかわらず、「明るく」「大きく」見えることは精密で確実な処置を行う上でメリットしかありません。
どれだけ修練を積んだ歯科医師でも、見えていない物を的確に処置するのは困難です。
「明るく」「大きく」以外のもう一つの特徴はマイクロスコープを使用して診療している私の視野をそのまま「記録」できることです。
治療前にも、必要に応じて診査中に撮影した写真や動画を供覧していただき、現在の歯の状態や、なぜこのような状態になったのかなどの説明を十分にさせて頂きます。
被せ物や詰め物の治療のように変化が自覚しにくい歯内療法・根管治療においても、治療前の状態から、治療中、治療後の状態を確認していただけるので、口だけであれこれ説明するより納得できて安心に、そして確実な治療を受けていただきます。
ラバーダムとは根管治療などに使用される、ゴム製のシートのことです。
使用する際はこのラバーダムとクランプと呼ばれる金具を用いて治療する部位だけを、露出させます。そのため患部以外はゴムのシートで覆われた状態になります。
歯の根の治療である根管治療では、根管内の細菌を除去し洗浄することが目的です。しかし皆さまのお口の中にある唾液には莫大な数の細菌が存在し、それらが治療中の根管に入り込んでしまうと治療の意味がなくなってしまいます。
ラバーダムを使用せず唾液の侵入を防ぐということは極めて困難なため、ラバーダムを使用する方が患者様にも治療する側にもメリットが多いです。
このようにメリットが多いラバーダムですが、日本の保険治療では約10%程度しか使用されていないという現状があります。
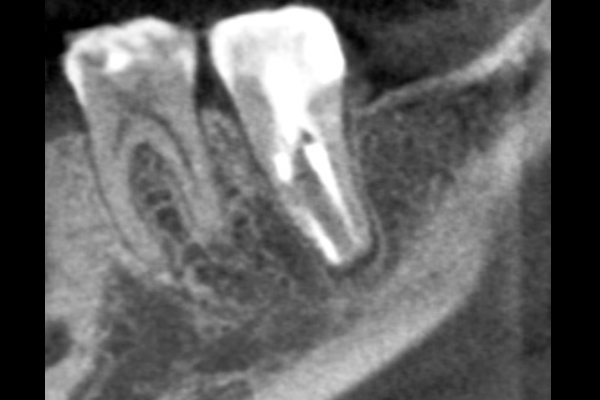
歯科用CTとは、エックス線検査では得られない情報を得るための、より精度の高い検査です。
歯科治療にマイクロスコープが必須になってきたように、今までエックス線検査で行っていた画像診断もまた、CTによる検査が必須になりました。 エックス線検査では観察対象を外側から見た際の影絵の濃淡で診断をしていましたが、CTは観察対象を任意の断面で切り取って観察する事ができ、いままでエックス線検査を元に、想像で補うしかできなかった部分を、鮮明な画像とともにその実際を教えてくれるのです。
今まではマイクロスコープがあったとしても、先を想像しながら根の先へ器具を進めていたのが、術前にCT撮影をしておくことで、あらかじめ3次元的な歯の形を認識した上で余計な部分を削らずに、器具を進められるようになります。
マイクロスコープと同様に歯科用CTについても、撮影すれば治療がうまくいくものではありません。撮影したデータを正確に読み取るための正しい知識と、訓練が必要になります。

根管は建物で言えば基礎にあたるものです。健康で長持ちさせるためには適切な治療を行う必要があります。
根管治療がしっかりされていないと、高価な被せ物でどんなに修復しても後々に根の先端が化膿し、痛みが出ることもあります。結果、歯を失ってしまったり、 再治療が必要になってしまいます。
抜歯・再治療をさけるため、歯髄(歯の神経)を除去する際には、将来的に病変ができないように、また、すでに病変ができてしまっている歯であれば、その病変を治すために、丁寧に適切な根管治療を行う必要があります。
歯の根の中の神経や血管などが通っている管を根管と呼びます。その名の通り、根管治療とは、歯の根っこの治療を指します。
冷たいものや熱いものが強く、長くしみる、ズキズキと痛むといった場合。また、噛むと痛い、歯茎が腫れている、
歯茎にニキビのような白いできものがあるといった場合も根管治療が必要です。
虫歯や外傷によって歯髄が感染したり壊死したりしてしまうと、歯髄を取り除く根管治療が必要となります。一度根管治療を行ったにもかかわらず、再び根管が感染してしまった場合は、再根管治療が必要となります。
根管治療の治療回数は、虫歯の進行度や根管の形状、根管治療が必要な歯の本数によって異なります。
虫歯に侵された部分を削り、根管内の清掃・消毒が終わるまでの治療回数の目安は、
前歯は2~3回、奥歯は3~4回です。
しかし、痛みが長引いている場合は、感染を治療し炎症がおさまるのを待つ必要があるので、さらに回数を重ねなければいけません。
また、根管の形状が複雑な場合は、清掃・消毒に時間がかかる分、治療回数も多くなる傾向にあります。
虫歯が進行することによって、細菌が歯の神経にまで及ぶと、冷たいものがひどくしみたり、温かいものでも鋭い痛みを感じるようになります。
その痛みは、歯髄が細菌に侵されていることが原因で起こっているため、歯の神経(歯髄)を除去することによって、痛みを取り除くことができます。
歯の根の構造は、神経や細い血管が入り組んだ複雑な形態をしているため、根管治療は歯科治療のなかでも高い技術力が求められます。
しかしながら、初回の根管治療(抜髄)で精密な根管治療を行うことで、再治療する可能性を著しく低下させることが可能です。
再根管治療とは、過去に根管治療を行った歯に対して、再度根管治療を行うことを言います。
前回の根管治療の際に、根管に細菌が感染する環境で治療されていたり、虫歯が原因で根管が感染したりすることによって、根尖性歯周炎が再発することがあります。
そのような歯に対して、再度歯の根の治療を行い、根管内の細菌数を減らすことを目的とした治療が「再根管治療」にあたります。
再根管治療の成功率(根尖性歯周炎が確認されるもの)は、それまでの根の治療の質によって40%~80%と大きな差があります。
保険診療は、あくまで最低限の機能を回復させることを目的としているため、検査や使用できる薬剤には制限があります。良い材料であっても保険内で認められていない場合は使用できないのが実際です。
セラミックなどがいい例ですが、審美的にも美しく、生体親和性もよく、歯の負担も少ない素材ですが、高価であることから保険の枠組みに入れないため、自費診療となります。このようなことが根管治療でも起こります。
保険の根管治療の成功率は50%と言われており、半数が再度細菌感染を発症したり、抜歯になる可能性が高いです。
自費で根管治療を行う場合、最新の機械や精度が高い材料などを使用し最善の根管治療を行うことができます。
精密な治療を行い、細菌が侵入しないようにしっかりと治療ができるため、再治療を行う確率が低くなります。
また治療回数を少なく出来るように、1回の治療を90分〜120分時間を取り治療を進めていきます。
根管治療は感染した神経を取り除き、洗浄・消毒を繰り返した後、最終的に神経の代わりになるお薬を詰めます。
消毒・洗浄の時点できちんと治療されていない場合も予後が悪くなります。
また根管内に神経の代わりとなるお薬を根の先まで入れられていない場合には根先に膿を溜めてしまい、痛みが現れ最悪の場合、抜歯になるケースがあります。
根管とは歯髄(しずい)の入っている歯の内部を指し、神経や血管などが通っています。
歯髄は栄養や水分を歯に供給しています。虫歯の原因菌が歯髄まで入り込むと、歯がズキズキ痛くなったり顔が腫れたりします。自然治癒することはなく、放っておけば歯の内部や骨が溶けてしまいます。
根管治療とは、歯の内部に入った細菌を除去し、痛みや腫れといった症状を取り除く治療です。
神経のない歯が痛くなる原因、
それはその歯のまわりの組織を通る神経が、炎症などを刺激として知覚してしまうためです。
主に以下のような場合で、
神経のない歯でも痛みが生じる可能性があります。歯茎の腫れを伴うことも少なくありません。
①根管治療が不十分だった場合
根管治療の洗浄や消毒が不十分であったり、密封しきれていなかったことで、根管内で細菌が繁殖し、歯の根で炎症を起こします。
②歯が割れている場合
歯が割れるなどして細菌が侵入し、根の根で炎症を起こします。神経を抜いている歯は歯質がもろくなっているため、割れるリスクが高くなります。
③噛み合わせが良くない場合
噛み合わせが良くない場合、偏った力が歯に加わることで、歯茎で炎症が起こります。
④歯周病による場合
神経を抜いた歯は、むし歯によって歯の痛みが生じることはありません。しかし、歯周病による痛みは発生します。歯周病が進行すると、歯ぐきに炎症が起こって痛みや腫れなどの症状を引き起こします。
虫歯が大きく、残っている歯の量が少ない場合、歯の根(歯根)が割れてしまっている場合、再度根管治療を行なったが症状が改善されない場合。
また、術前の診査において歯根破折の存在や、歯周ポケットと交通する穿孔部が明らかであったり、残っている歯の量が少なくなってしまっている歯は、歯内療法・根管治療による保存治療が行えない場合があります。
当院では根管治療を行う際に必ず麻酔をします。従いまして、痛みが出ることはほとんどないです。
しかし、稀に麻酔の効きが悪く痛みがでることがありますが、その際も追加で麻酔をすることで痛みを軽減させることができます。
根管治療に関わらず、歯科医師の考え方は様々です。
現在の状態や今後起きる可能性があることなどしっかり説明をきいてから治療を行うことをおすすめします。
どんな歯科医師も患者様の訴えの改善を目指しています。その中で十分に説明を受け、患者様が納得された医院で治療を行うようにしてください。
| 診療時間 | 月 | 火 | 水 | 木 | 金 | 土 | 日 |
|---|---|---|---|---|---|---|---|
| 09:30 - 13:30 | ● | ● | ー | ● | ● | ● | ー |
| 14:30 - 18:30 | ● | ● | ー | ● | ● | ● | ー |