30代からでも矯正は間に合う?

「もう30代だから矯正は遅いのでは?」
そう感じて矯正治療をあきらめてしまう方も少なくありません。
しかし実際には、30代・40代・50代から矯正を始める大人の方が年々増えています。
札幌駅前矯正 荒川デンタルクリニックでも、社会人になってから歯並びを整えたいという患者さまが多く来院されています。
今回は、実際に30代以降に矯正を始めた患者さまの体験談を交えながら、
“大人の矯正は本当に間に合うのか?”について解説します。
30代以降で矯正を
決意したきっかけ
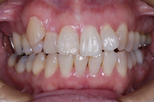
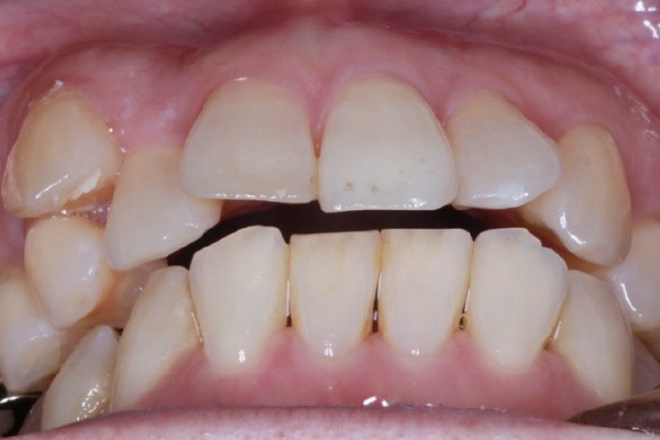
矯正治療前

50代女性のAさん(札幌市在住)
犬歯は外側にあり八重歯になっていました。ずっと歯並びは気になっていましたがなかなか機会がなく矯正治療はできませんでした。
前歯で物を咬めなく、下顎の状態が不安定でどこで咬んでいいかわからないことも悩みでした。
40代くらいから歯のトラブルが増えこのままでは歯がなくなってしまうと思い矯正治療をする決断をしました。
このように歯並びが原因でお口のトラブルが起きてしまっている方はかなり多いと考えています。
矯正する年齢は早いに越したことはありませんが、歯が残っている限り何歳でも矯正治療は行うことができます。
大人の矯正は
“見た目の改善”だけではない
30代以降で矯正治療をする最大のメリットは、見た目の美しさだけでなく、歯の健康維持に直結する点です。
歯並びが整うことで、以下のようなメリットがあります。
⚫︎歯磨きしやすくなり、虫歯・歯周病のリスクを減らせる
⚫︎噛み合わせが改善し、肩こりや頭痛が軽減することも
⚫︎歯への力負担が分散し、将来まで自分の歯を残しやすくなる
つまり、矯正治療は「美容」と「健康」を両立できる一生の投資なのです。
札幌駅前矯正で人気の
“大人の矯正方法”
荒川デンタルクリニックでは、大人の方でも続けやすい見えにくい矯正が人気です。
①ワイヤー矯正(セラミックブラケット)
歯の表側に装置をつけて精密に歯を動かす方法。
セラミック製の白いブラケットを使用すれば目立ちにくく、複雑な歯並びにも対応可能です。

②マウスピース矯正(インビザラインなど)
透明で目立ちにくく、仕事中も気づかれにくいのが特徴。
取り外しができるため、食事や歯磨きも普段通りできます。

30代からの矯正、痛みや期間は?
大人の歯でもきちんと動きます。
治療期間は症例によって異なりますが、平均で2年前後程度が目安です(状態によって期間は変わります)。
装置の違和感はありますが、ほとんどの患者さまは「数日で慣れる」と答えています。
痛みについては、ワイヤー矯正、マウスピース矯正どちらも痛みはでます。ただ、痛みの出方が違います。
ワイヤー矯正は初回ワイヤーが入ったあと1週間〜2週間痛みが出ます。マウスピース矯正は痛みが少ないと言われることが多いです。
その理由は、マウスピース矯正は動かす歯と動かさない歯を分けて進めていくため、動いている歯は痛みが出ますが、動いていない歯は痛みが出ませんので痛みが分散されます。
よって痛みが少ないと言われることが多いです。
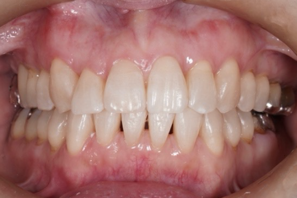
治療後の変化:
笑顔と自信が生まれる
矯正治療後

Aさんは2年の治療を経て、歯並びが整いました。
笑顔が増えて、自信を持てるようになりました。
前歯で物を咬むことも出来るようになりました。もっと早くやれば良かったです!
矯正治療の魅力は、外見の変化だけでなく、心の変化にもあります。
「笑顔に自信が持てた」「人前で堂々と話せるようになった」——
そんな声を多くいただきます。
30代でも遅くない!
大人の矯正で得られる未来


年齢を理由に矯正をあきらめる必要はありません。
歯と骨が健康であれば、何歳からでも歯を動かすことは可能です。
⚫︎経済的に自分で決断できる
⚫︎美意識・健康意識が高い
⚫︎継続力がある
上記の観点からも、むしろ30代は矯正に最も適した時期ともいえます。
札幌駅前歯医者で
矯正を始めるなら
荒川デンタルクリニック(札幌 歯医者)では
⚫︎精密検査(セファロ・咬合診断・iTeroスキャン)
⚫︎ライフスタイルに合わせた矯正プラン
⚫︎見た目・期間・費用のバランスを考えた治療提案をおこなっています。
「30代からでも間に合う?」という疑問をお持ちの方、まずはお気軽にご相談ください。
荒川デンタルクリニック(札幌 歯医者)
完全個室・ワイヤー矯正/マウスピース矯正/。
30代・40代・50代の無料矯正相談、無料カウンセリング実施中。
矯正治療の詳細はこちら
矯正治療のブログはこちら
矯正治療の症例はこちら
無料相談・お問い合わせ
日付: 2025年11月18日 カテゴリ:インビザライン, 矯正歯科


