矯正治療が終わって装置を外した瞬間、「やっと終わった!」と感じる方も多いと思います。
しかし、実はここからが矯正の仕上げのステップです。
歯は動かした直後、とても不安定な状態にあります。
放っておくと少しずつ元の位置に戻ってしまう「後戻り」が起こるため、
その動きを防ぐために必要なのがリテーナー(保定装置)です。
矯正治療終了時
現在6年経過リテーナーの役割とは?
矯正で整えた歯を長く安定させるために、リテーナーは欠かせません。
歯は骨や歯肉の支えが新しい位置に順応するまで時間がかかります。リテーナーを装着することで、歯を理想的な位置でキープし、安定をサポートします。
もし使用を怠ると、歯が少しずつ動き出し、せっかくの矯正結果が台無しになることもあります。
つまり、リテーナーは「矯正治療の延長」ではなく「完成を守るための装置」なのです。

リテーナーの種類
札幌駅前の荒川デンタルクリニックでは、患者さまの歯並び・生活習慣・清掃性を考慮し、最適なタイプのリテーナーを選定しています。
①取り外し式リテーナー(可撤式)
最も一般的で、食事や歯磨きの際に自分で外せるタイプです。
マウスピースタイプ
透明で目立たず、違和感が少ないため人気です。
⚫︎メリット
清掃しやすく衛生的で、見た目も自然です。
⚫︎デメリット
装着時間を守らないと効果が弱まるます。紛失注意です。
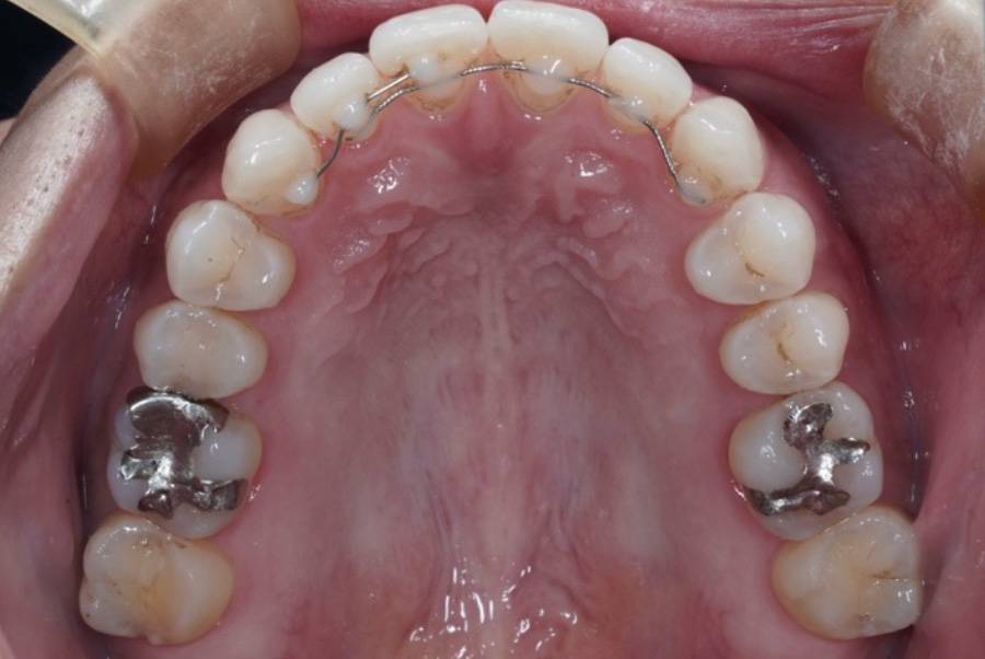
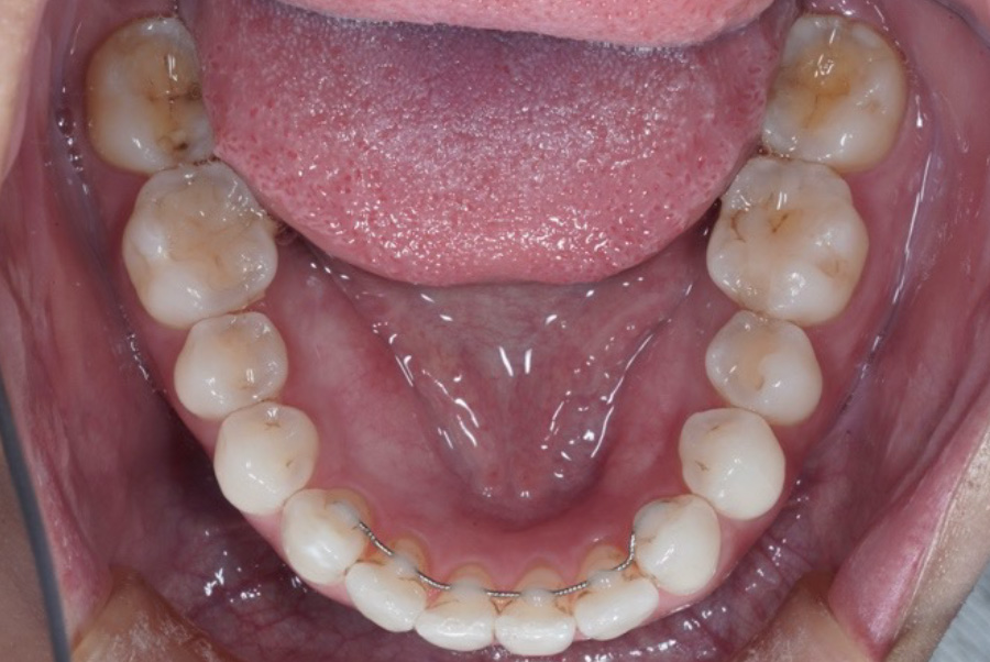
②固定式リテーナー
(フィックスリテーナー)
前歯の裏側に細いワイヤーを接着して固定するタイプ。外からは見えません。
メリット
常に装着されており、後戻りを強力に防止。装着忘れの心配なし。
デメリット
フロスが通しにくく、清掃性に注意が必要。
装着期間と使用時間の目安
一般的には、矯正後1〜2年程度の装着が推奨されます。

マウスピースタイプ
⚫︎初期:ほぼ終日装着していただきます。
⚫︎安定期:夜間のみの装着でOKになる場合もあります。
固定式リテーナー
(フィックスリテーナー)
患者様との相談になりますが、問題がないのであればつけたままにしていきます。
リテーナーをサボるとどうなる?
リテーナーをつけない期間が続くと、歯は元の位置に戻る性質があります。
特に治療直後の半年間は歯が非常に動きやすく、数日でも後戻りが起きることがあります。
もし後戻りが大きい場合、再矯正が必要になるケースもあります。
毎日の装着を習慣化し、安定するまでしっかり使い続けることが大切です。
リテーナーと歯の寿命の関係
リテーナーは単に歯並びを保つだけでなく、噛み合わせを安定させることで歯にかかる負担を均等化し、結果的に「歯の寿命を延ばす効果」もあります。
歯並びが乱れると清掃性が悪くなり、虫歯や歯周病のリスクが高まります。
つまり、リテーナーを適切に使うことは、見た目の維持+長期的な口腔健康の維持にもつながるのです。
荒川デンタルクリニックの
保定サポート
札幌駅前の荒川デンタルクリニックでは、矯正治療の「保定期間」も大切にしています。
固定式・取り外し式の両対応
両方を併用することもあります。
定期的な保定チェックと
メンテナンス
装置を外した後6ヶ月間は1ヶ月に1回チェックをしていき、その後はメインテナンス(4〜6ヶ月)を行なっていきます。
患者さまの生活リズムやお仕事に合わせた装着方法を提案し、
無理なく続けられる保定プランを一緒に考えます。
リテーナーは矯正治療の
最終ステップ
矯正治療は「装置を外して終わり」ではありません。
リテーナーを正しく使うことで、歯並びを一生涯キープすることができます。
⚫︎可撤式・固定式のどちらも大切な役割
⚫︎使用時間を守ることが美しい歯並びを保つ鍵
⚫︎後戻り防止=歯の健康を守る第一歩
札幌駅前で矯正をお考えの方、また矯正後のリテーナーについて不安のある方は、
ぜひ一度ご相談ください。
札幌駅前歯医者で
矯正治療
矯正治療は「装置を外して終わり」ではありません。
リテーナーを正しく使うことで、歯並びを一生涯キープすることができます。
⚫︎可撤式・固定式のどちらも大切な役割
⚫︎使用時間を守ることが美しい歯並びを保つ鍵
⚫︎後戻り防止=歯の健康を守る第一歩
札幌駅前で矯正をお考えの方、また矯正後のリテーナーについて不安のある方は、
ぜひ一度ご相談ください。
矯正歯科ページはこちら
矯正ブログはこちら
矯正治療の症例はこちら
無料相談・お問い合わせ
料金について
当院の矯正の料金がご覧いただけます。
日付: 2025年11月6日 カテゴリ:矯正歯科


