札幌駅前で奥歯2本の
インプラント治療|
70代女性の症例|
しっかり噛める
回復症例
札幌でインプラント治療をご検討中の方へ。
奥歯を失ったまま、しっかり噛めない状態を我慢していませんか?
奥歯の欠損を放置すると、噛み合わせのバランスが崩れ、他の歯や顎に大きな負担がかかることがあります。
本症例では、札幌駅前の歯科医院にて、70代女性の患者様に対しインプラント治療を行い、「しっかり噛める状態」を回復したケースをご紹介します。
「年齢的にインプラントは難しいのでは?」と不安に感じる方も多いですが、
適切な診断と治療計画により、70代の方でも安全に治療が可能なケースは少なくありません。
実際に本症例の患者様も、治療後は「しっかり噛めるようになった」と実感され、日常生活の質が大きく改善しました。
同じように以下のようなお考えの方にとって、インプラント治療は有力な選択肢の一つです。
●奥歯を失ってしまった
●入れ歯に抵抗がある
●しっかり噛める状態に戻したい
本症例が、札幌でインプラント治療をご検討中の方の参考になれば幸いです。
奥歯を失ったまま、しっかり噛めない状態を我慢していませんか?
奥歯の欠損を放置すると、噛み合わせのバランスが崩れ、他の歯や顎に大きな負担がかかることがあります。
本症例では、札幌駅前の歯科医院にて、70代女性の患者様に対しインプラント治療を行い、「しっかり噛める状態」を回復したケースをご紹介します。
「年齢的にインプラントは難しいのでは?」と不安に感じる方も多いですが、
適切な診断と治療計画により、70代の方でも安全に治療が可能なケースは少なくありません。
実際に本症例の患者様も、治療後は「しっかり噛めるようになった」と実感され、日常生活の質が大きく改善しました。
同じように以下のようなお考えの方にとって、インプラント治療は有力な選択肢の一つです。
●奥歯を失ってしまった
●入れ歯に抵抗がある
●しっかり噛める状態に戻したい
本症例が、札幌でインプラント治療をご検討中の方の参考になれば幸いです。
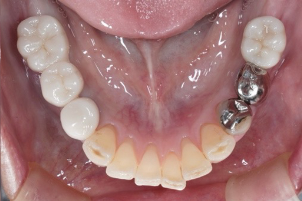
治療前(Before)
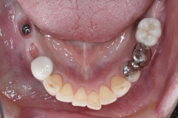
治療後(After)
上部構造装着前
上部構造装着後
インプラントにより奥歯の支持が回復することで、全体の噛み合わせが安定し、他の歯への負担軽減にもつながります。
【インプラントで奥歯を回復するメリット】
●自分の歯のようにしっかり噛める
●周囲の歯を削る必要がない
●顎骨の吸収を防ぐ効果が期待できる
●長期的に安定した咬合を維持できる
【担当医コメント】
上顎が入れ歯で下顎は入れ歯にしたくないとのことでインプラント治療を行うこととなりました。ヒビが入っており違和感があった歯がインプラントになりなんでも噛めるようになったと喜んでおられました。今後も長期安定を目指し、定期的なメンテナンスを行っていきます。
担当医:荒川 英雄
【インプラントで奥歯を回復するメリット】
●自分の歯のようにしっかり噛める
●周囲の歯を削る必要がない
●顎骨の吸収を防ぐ効果が期待できる
●長期的に安定した咬合を維持できる
【担当医コメント】
上顎が入れ歯で下顎は入れ歯にしたくないとのことでインプラント治療を行うこととなりました。ヒビが入っており違和感があった歯がインプラントになりなんでも噛めるようになったと喜んでおられました。今後も長期安定を目指し、定期的なメンテナンスを行っていきます。
担当医:荒川 英雄
| 担当医 | 荒川 英雄 |
|---|---|
| 主訴 | 咬んだ際の違和感ある。 |
| 期間 | 4ヶ月 ※骨の状態により変動します。 |
| 費用 | 合計 702,900円(税込) 内訳 ●インプラント診断費用:38,500円 ●滅菌・消毒料:7,700円 ●インプラントガイド:55,000円 ●インプラント治療(奥歯):495,000円 ●インプラントポンティック:143,000円 (2026年3月現在) |
| 治療内容 | CTによる精密診断を行い、骨量・骨質・解剖学的リスクを詳細に評価した上で、インプラント治療計画を立案しました。 本症例では、右下6番にインプラントを埋入し、そのインプラントを支点として前方の歯を補うカンチレバー補綴を採用しています。 カンチレバー補綴とは、1本のインプラントで複数歯を支える治療方法であり、 すべての症例に適応できるわけではなく、骨の状態・咬合力・噛み合わせのバランスを総合的に評価した上で慎重に判断する必要があります。 本ケースでは、以下の内容を満たしていたため、安全性を確保したうえで適応可能と判断しました。 ●十分な初期固定が得られる骨条件 ●過度な咬合負担がかからない設計 ●カンチレバー長を考慮した補綴設計 また、インプラント本数を増やすことも選択肢として考えられましたが、 外科的侵襲や患者様の負担を考慮し、最小限の本数で最大限の機能回復を目指す治療戦略を選択しています。 その結果、手術侵襲を抑えながらも奥歯の咀嚼機能を十分に回復し、審美性・機能性ともにバランスの取れた結果が得られました。 |
| 治療に伴うリスク | ●腫れ・痛み ●治癒期間の個人差 ●骨量による治療難易度の変化 |























年齢:70代
性別:女性
部位:右下奥歯(5・6番相当部)
主訴:咬んだ際の違和感ある。
【治療前の状態(Before)】
歯根にヒビがあり保存不可でした。
奥歯欠損により咀嚼機能が低下していました。
入れ歯は希望されませんでした。
【放置すると起こるリスク】
●噛み合わせの崩壊
●他の歯への負担増加
●顎骨の吸収
【この症例のポイント】
●70代でもインプラントは可能
●入れ歯を避けたい方の選択肢
●奥歯の咀嚼機能を回復
特に以下の方におすすめです。
●奥歯を失っている
●入れ歯に違和感がある
●しっかり噛みたい