札幌駅前
インプラント治療|
70代男性・
臼歯部(奥歯)症例
BEFORE
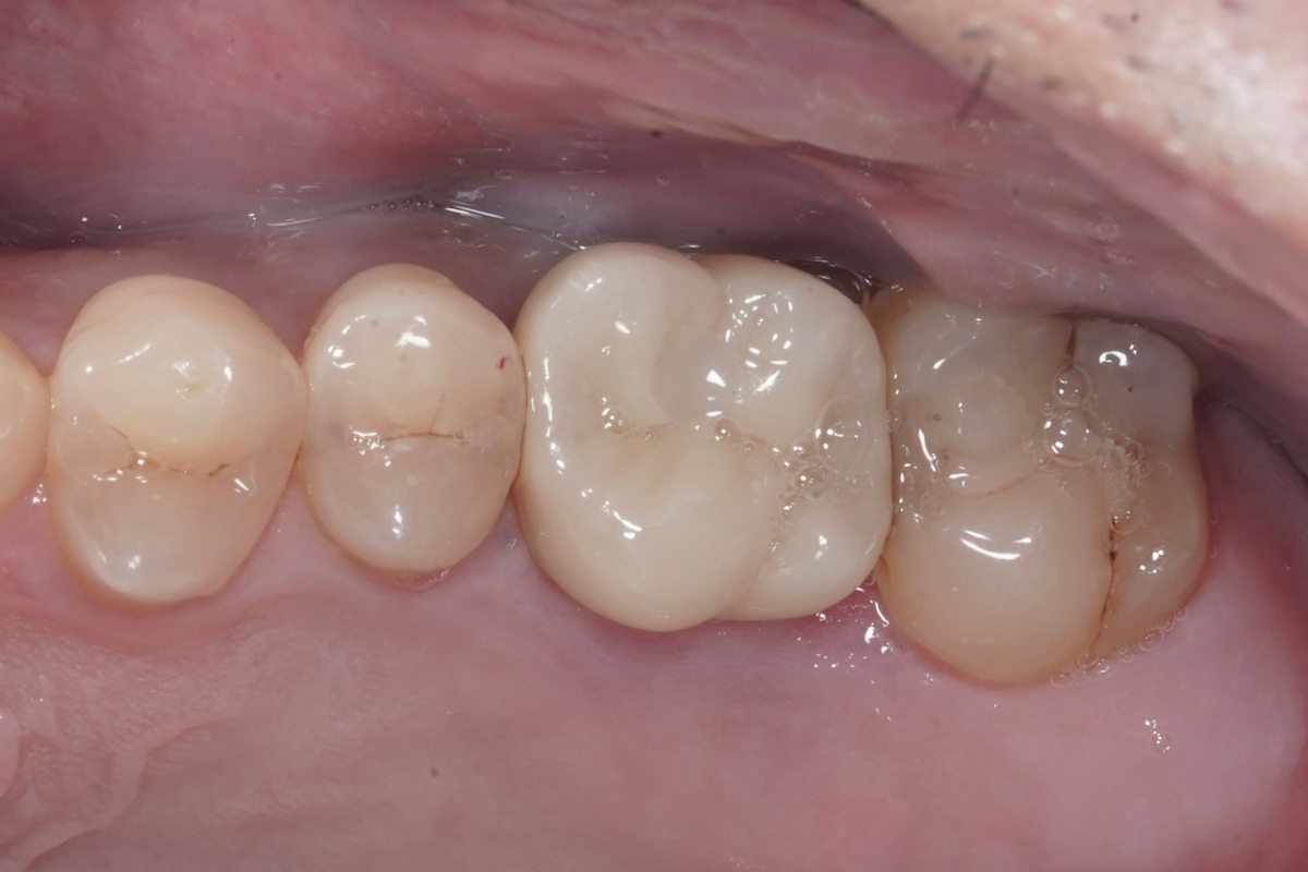
AFTER
| 担当医 | 荒川 英雄 |
|---|---|
| 主訴 | 歯が割れているのを治したい |
| 期間 | 9ヶ月 |
| 費用 | 総額1,149,500円(税込) ●インプラント診断費用:38,500円 ●インプラントガイド:55,000円 ●骨造成(小):132,000円 ●インプラント治療(奥歯)2本:924,000円 (2025年9月現在) |
| 治療内容 | インプラント治療 臼歯部(奥歯) |
| 治療に伴うリスク | ●手術後に腫れ・痛み・術創部位における顔面部への内出血が起こることがあります。 ●一過性の(場合によっては持続的な)唇・舌・頬・口蓋・歯肉・歯等感覚麻痺、切開に起因する瘢痕組織による知覚異常が起こることがあります。 ●下顎臼歯部の治療の場合、口角からオトガイ部にかけて一過性の(場合によっては持続的な)知覚異常が起きる可能性があります。 ●インプラント用のドリルにより近接歯の損傷が起こることがあります。 ●インプラント体と骨との結合不全が起こる可能性があります。その場合は治療期間が伸びることがあります。再手術や骨造成を追加で行うことが必要となることもあります。 ●インプラント埋入手術は複雑であり、結果が予想通りに成功しない場合があります。しかしインプラントを受けられる皆様に作製しているサージカルガイドの使用により、そのようなリスクが軽減されています。 ●術後は指示された鎮痛薬・抗菌薬を守って服用して頂くことが重要です。 ●喫煙や糖尿病などの生活習慣・全身状態により治癒が遅れることがあります。 |





















当院に来院された時には歯根破折(歯が割れている)している状態でした。
CT等での診断の結果抜歯と診断しました。患者様は過去にインプラント治療を複数本治療しており抜歯後はインプラント治療にて治療を行うことになりました。
歯を抜歯すると必ず骨が減ってしまいます。インプラント治療には骨の量が必要になります。
歯が残っている場合にはまず抜歯後の骨吸収を防ぐことが重要です。抜歯後の骨吸収を防ぐために歯槽堤温存術を行い5ヶ月待ち、インプラント埋入を行う計画を立てました。
【治療計画】
①歯槽堤温存術(術後5ヶ月待ちます。)
②インプラント埋入(埋入後2ヶ月待ちます。)
③型取り
④最終補綴セット
【担当者所見】
インプラント治療を長期的に成功させるためには骨の状態は大変重要です。
抜歯後に歯槽堤温存術を行うことは非常に重要です。患者様は複数回の手術に耐えて大変頑張っていただけました。
これからはメインテナンスのフェーズに入ります。定期的なクリーニングと咬合チェックを怠らないことで、インプラント周囲炎の発症リスクを大幅に抑えられます。
長きに渡りインプラントを使用できるようしっかりと経過を追わせて頂きます。