札幌駅前|
左下1本インプラント(6番)|
歯根破折・ブリッジ破損
からの回復症例
|80歳男性
札幌でインプラント治療をご検討中の方へ。
「ブリッジが壊れてしまった」「奥歯でしっかり噛めない」「入れ歯にはしたくない」などのお悩みはありませんか?
奥歯は見えにくい部位ですが、咀嚼機能の中心となる非常に重要な役割を担っています。
そのため、奥歯を失った状態を放置すると、噛み合わせのバランスが崩れ、他の歯への負担が増加するだけでなく、顎骨の吸収やさらなる歯の喪失につながるリスクがあります。
特にブリッジ治療を行っている場合、支台歯に過度な負担がかかることで、歯根破折などのトラブルが生じることも少なくありません。
一度歯根破折が起こると、残念ながら抜歯が必要になるケースが多く、その後の治療選択が重要になります。
今回ご紹介するのは、左下ブリッジの支台歯が歯根破折を起こし、保存が困難となった80歳男性の症例です。
抜歯後、左下6番にインプラントを1本埋入することで、周囲の歯に負担をかけることなく、しっかり噛める状態を回復しました。
「年齢的にインプラントは難しいのでは?」と不安に感じる方もいらっしゃいますが、適切な診断と治療計画により、80代の方でも安全に治療を行えるケースは多くあります。
同じように以下のお悩みをお持ちの方にとって、本症例が参考になれば幸いです。
⚫︎ブリッジが壊れてしまった
⚫︎奥歯でしっかり噛めない
⚫︎入れ歯に抵抗がある
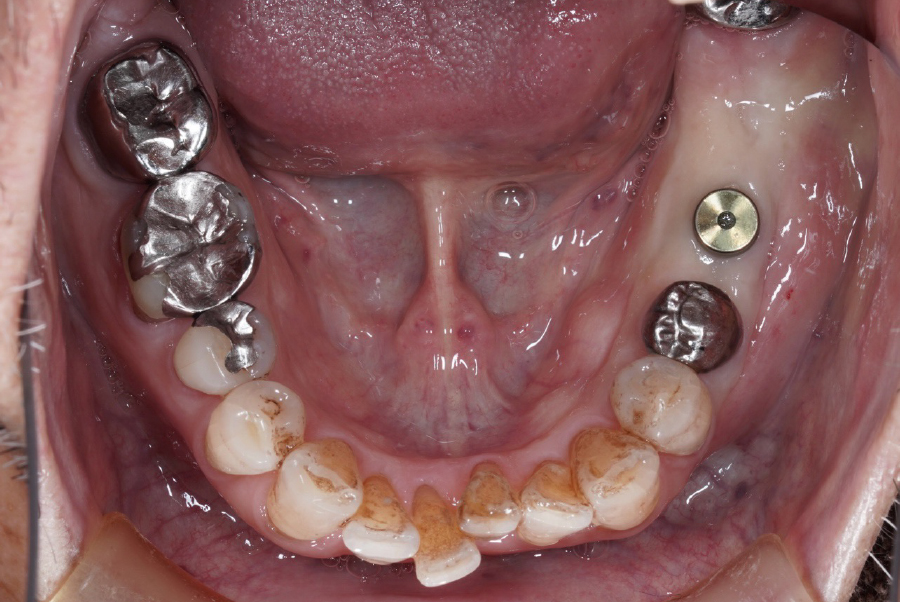
治療前
治療後


【患者情報】
⚫︎年齢:80代
⚫︎性別:男性
⚫︎部位:左下6番
⚫︎主訴:ブリッジが壊れた/噛めない
【治療前の状態(Before)】
左下のブリッジ支台歯に歯根破折が認められ、保存は困難な状態でした。
噛んだ際の違和感があり、奥歯としての機能が十分に果たせていませんでした。
患者様は「入れ歯は避けたい」「しっかり噛める状態に戻したい」と希望されていました。
【治療後の状態(After)】
インプラント埋入後は良好に治癒し、最終補綴装着後はしっかりとした咀嚼機能が回復。
「違和感なく噛めるようになった」とご満足いただいています。
【メリット】
⚫︎しっかり噛めるようになります。
⚫︎周囲の歯を削りません。
⚫︎噛み合わせを安定させることができます。
⚫︎顎骨吸収の抑制できます。
治療中の様子
治療前
治療後
【担当医コメント】
本症例では、左下ブリッジの支台歯に歯根破折が認められ、保存は困難な状態でした。歯根破折は一度発生すると予後不良となるケースが多く、無理に保存を試みることで周囲の骨や隣在歯に悪影響を及ぼす可能性があります。そのため、本ケースでは抜歯の上で適切な補綴治療を行う必要がありました。
患者様は「入れ歯は避けたい」「しっかり噛める状態に戻したい」というご希望をお持ちであったため、インプラント治療をご提案しています。
治療にあたっては、CTによる精密診断を行い、骨量・骨質・神経の位置関係を詳細に評価しました。その結果、左下6番部位において十分な初期固定が得られる条件が整っていたため、インプラント1本で機能回復を図る治療計画としています。
インプラントを1本にすることで、外科的侵襲を最小限に抑えつつ、周囲の歯に負担をかけない形で咀嚼機能の回復が可能となりました。
特に高齢の患者様においては、「できるだけシンプルで安全性の高い治療設計」が重要になります。
術後は良好な治癒経過を示し、最終補綴装着後にはしっかりとした咀嚼機能が回復しました。患者様からも「違和感なく噛めるようになった」とのお言葉をいただいています。
「高齢だからインプラントは難しいのでは」とご相談を受けることも多いですが、実際には年齢だけで判断するのではなく、全身状態や骨の条件を総合的に評価することが重要です。本症例のように、80代の方でも適切な診断と治療計画により、安全にインプラント治療を行えるケースは多くあります。
当院では、患者様一人ひとりの状態に合わせて、無理のない治療計画をご提案しています。
「自分もインプラントが可能か知りたい」「他の治療法と比較して検討したい」という方は、お気軽にご相談ください。
※骨の状態により変動します。
内訳
⚫︎インプラント診断費用:38,500円
⚫︎滅菌・消毒料:7,700円
⚫︎インプラントガイド:55,000円
⚫︎インプラント治療(奥歯):495,000円
(2026年4月現在)
抜歯後、左下6番にインプラントを1本埋入し、周囲の歯に負担をかけない形で機能回復を行いました。
⚫︎治癒期間の個人差があります。
インプラント治療についてはこちら
インプラント治療のブログはこちら
無料相談はこちら
トップページ
関連症例
【札幌駅前】骨も歯ぐきも少ない60代女性に
GBR(骨造成)と歯肉移植を併用した奥歯インプラント2本症例
●インプラント診断費用:38,500円
●インプラントガイド:55,000円
●インプラント治療(奥歯)2本:924,000円
●骨造成:242,000円
(2025年4月現在)
●一過性の(場合によっては持続的な)唇・舌・頬・口蓋・歯肉・歯等感覚麻痺、切開に起因する瘢痕組織による知覚異常が起こることがあります。
●下顎臼歯部の治療の場合、口角からオトガイ部にかけて一過性の(場合によっては持続的な)知覚異常が起きる可能性があります。
●インプラント用のドリルにより近接歯の損傷が起こることがあります。
●インプラント体と骨との結合不全が起こる可能性があります。その場合は治療期間が伸びることがあります。
●再手術や骨造成を追加で行うことが必要となることもあります。
●インプラント埋入手術は複雑であり、結果が予想通りに成功しない場合があります。
しかし、インプラントを受けられる皆様に作製しているサージカルガイドの使用により、そのようなリスクが軽減されています。
●術後は指示された鎮痛薬・抗菌薬を守って服用して頂くことが重要です。
●喫煙や糖尿病などの生活習慣・全身状態により治癒が遅れることがあります。
【札幌駅前で
インプラント治療】
40代男性
抜歯後の骨吸収を
抑える歯槽堤温存術
を行い、
長期安定を目指した
症例
内訳
⚫︎インプラント診断費用:38,500円
⚫︎滅菌・消毒料:7,700円×2
⚫︎インプラントガイド:55,000円
⚫︎歯槽堤温存術(リッジプリザベーション):
132,000円
⚫︎インプラント治療(奥歯):495,000円
(2026年2月現在)
⚫︎抜歯
⚫︎歯槽堤温存術
⚫︎インプラント埋入
⚫︎最終補綴装着
⚫︎一過性の(場合によっては持続的な)唇・舌・頬・口蓋・歯肉・歯等感覚麻痺、切開に起因する瘢痕組織による知覚異常が起こることがあります。
⚫︎インプラント用のドリルにより近接歯の損傷が起こることがあります。
⚫︎インプラント体と骨との結合不全が起こる可能性があります。その場合は治療期間が伸びることがあります。
再手術や骨造成を追加で行うことが必要となることもあります。
⚫︎インプラント埋入手術は複雑であり、結果が予想通りに成功しない場合があります。しかしインプラントを受けられる皆様に作製しているサージカルガイドの使用により、そのようなリスクが軽減されています。
⚫︎術後は指示された鎮痛薬・抗菌薬を守って服用して頂くことが重要です。
⚫︎喫煙や糖尿病などの生活習慣・全身状態により治癒が遅れることがあります。
【札幌駅前】歯槽骨温存術のインプラント治療
50代男性の臼歯部(奥歯)の症例
●インプラント診断費用:38,500円
●インプラントガイド:55,000円
●歯槽骨温存術:132,000円
●インプラント治療(奥歯)2本:924,000円
(2025年4月現在)
●一過性の(場合によっては持続的な)唇・舌・頬・口蓋・歯肉・歯等感覚麻痺、切開に起因する瘢痕組織による知覚異常が起こることがあります。
●下顎臼歯部の治療の場合、口角からオトガイ部にかけて一過性の(場合によっては持続的な)知覚異常が起きる可能性があります。
●インプラント用のドリルにより近接歯の損傷が起こることがあります。
●インプラント体と骨との結合不全が起こる可能性があります。その場合は治療期間が伸びることがあります。再手術や骨造成を追加で行うことが必要となることもあります。
●インプラント埋入手術は複雑であり、結果が予想通りに成功しない場合があります。しかしインプラントを受けられる皆様に作製しているサージカルガイドの使用により、そのようなリスクが軽減されています。
●術後は指示された鎮痛薬・抗菌薬を守って服用して頂くことが重要です。
●喫煙や糖尿病などの生活習慣・全身状態により治癒が遅れることがあります。
【札幌駅前】抜歯即時埋入のインプラント治療
50代女性の臼歯部(奥歯)の症例
●インプラント診断費用:38,500円
●インプラントガイド:55,000円
●インプラント治療(奥歯):462,000円
●抜歯即時埋入:110,000円
(2020年4月現在)
●一過性の(場合によっては持続的な)唇・舌・頬・口蓋・歯肉・歯等感覚麻痺、切開に起因する瘢痕組織による知覚異常が起こることがあります。
●下顎臼歯部の治療の場合、口角からオトガイ部にかけて一過性の(場合によっては持続的な)知覚異常が起きる可能性があります。
●インプラント用のドリルにより近接歯の損傷が起こることがあります。
●インプラント体と骨との結合不全が起こる可能性があります。その場合は治療期間が伸びることがあります。再手術や骨造成を追加で行うことが必要となることもあります。
●インプラント埋入手術は複雑であり、結果が予想通りに成功しない場合があります。
しかし、インプラントを受けられる皆様に作製しているサージカルガイドの使用により、そのようなリスクが軽減されています。
●術後は指示された鎮痛薬・抗菌薬を守って服用して頂くことが重要です。
●喫煙や糖尿病などの生活習慣・全身状態により治癒が遅れることがあります。
【札幌駅前】奥歯が噛めないお悩みを改善した
50代女性のインプラント症例(臼歯部・2本埋入)
【札幌駅前】将来のインプラントに備えて抜歯後の骨を守った
20代女性の奥歯症例(歯槽堤温存術)
●インプラント診断費用:38,500円
●滅菌・消毒料:7,700円×2
●インプラントガイド:55,000円
●歯槽堤温存術:132,000円
●インプラント治療(奥歯)1本:462,000円
(2025年9月現在)
●一過性の(場合によっては持続的な)唇・舌・頬・口蓋・歯肉・歯等感覚麻痺、切開に起因する瘢痕組織による知覚異常が起こることがあります。
●下顎臼歯部の治療の場合、口角からオトガイ部にかけて一過性の(場合によっては持続的な)知覚異常が起きる可能性があります。
●インプラント用のドリルにより近接歯の損傷が起こることがあります。
●インプラント体と骨との結合不全が起こる可能性があります。その場合は治療期間が伸びることがあります。再手術や骨造成を追加で行うことが必要となることもあります。
●インプラント埋入手術は複雑であり、結果が予想通りに成功しない場合があります。しかしインプラントを受けられる皆様に作製しているサージカルガイドの使用により、そのようなリスクが軽減されています。
●術後は指示された鎮痛薬・抗菌薬を守って服用して頂くことが重要です。
●喫煙や糖尿病などの生活習慣・全身状態により治癒が遅れることがあります。
【札幌駅前】上顎義歯を小さくしたい
70代男性のインプラントオーバーデンチャーの症例
●インプラント診断費用:38,500円
●インプラントガイド:55,000円
●インプラント治療4本:1,760,000円
●インプラント治療用義歯:440,000円
(2025年4月現在)
●一過性の(場合によっては持続的な)唇・舌・頬・口蓋・歯肉・歯等感覚麻痺、切開に起因する瘢痕組織による知覚異常が起こることがあります。
●下顎臼歯部の治療の場合、口角からオトガイ部にかけて一過性の(場合によっては持続的な)知覚異常が起きる可能性があります。
●インプラント用のドリルにより近接歯の損傷が起こることがあります。
●インプラント体と骨との結合不全が起こる可能性があります。その場合は治療期間が伸びることがあります。再手術や骨造成を追加で行うことが必要となることもあります。
●インプラント埋入手術は複雑であり、結果が予想通りに成功しない場合があります。しかしインプラントを受けられる皆様に作製しているサージカルガイドの使用により、そのようなリスクが軽減されています。
●術後は指示された鎮痛薬・抗菌薬を守って服用して頂くことが重要です。
●喫煙や糖尿病などの生活習慣・全身状態により治癒が遅れることがあります。
札幌駅前で奥歯2本の
インプラント治療|
70代女性の症例|
しっかり噛める
回復症例
※骨の状態により変動します。
内訳
●インプラント診断費用:38,500円
●滅菌・消毒料:7,700円
●インプラントガイド:55,000円
●インプラント治療(奥歯):495,000円
●インプラントポンティック:143,000円
(2026年3月現在)
本症例では、右下6番にインプラントを埋入し、そのインプラントを支点として前方の歯を補うカンチレバー補綴を採用しています。
カンチレバー補綴とは、1本のインプラントで複数歯を支える治療方法であり、
すべての症例に適応できるわけではなく、骨の状態・咬合力・噛み合わせのバランスを総合的に評価した上で慎重に判断する必要があります。
本ケースでは、以下の内容を満たしていたため、安全性を確保したうえで適応可能と判断しました。
●十分な初期固定が得られる骨条件
●過度な咬合負担がかからない設計
●カンチレバー長を考慮した補綴設計
また、インプラント本数を増やすことも選択肢として考えられましたが、
外科的侵襲や患者様の負担を考慮し、最小限の本数で最大限の機能回復を目指す治療戦略を選択しています。
その結果、手術侵襲を抑えながらも奥歯の咀嚼機能を十分に回復し、審美性・機能性ともにバランスの取れた結果が得られました。
●治癒期間の個人差
●骨量による治療難易度の変化
【札幌駅前】歯肉移植・インプラント治療
60代男性の臼歯部(奥歯)の症例
●インプラント診断費用:38,500円
●インプラントガイド:55,000円
●インプラント治療(奥歯)2本:924,000円
●骨造成:242,000円
(2025年4月現在)
●一過性の(場合によっては持続的な)唇・舌・頬・口蓋・歯肉・歯等感覚麻痺、切開に起因する瘢痕組織による知覚異常が起こることがあります。
●下顎臼歯部の治療の場合、口角からオトガイ部にかけて一過性の(場合によっては持続的な)知覚異常が起きる可能性があります。
●インプラント用のドリルにより近接歯の損傷が起こることがあります。
●インプラント体と骨との結合不全が起こる可能性があります。その場合は治療期間が伸びることがあります。再手術や骨造成を追加で行うことが必要となることもあります。
●インプラント埋入手術は複雑であり、結果が予想通りに成功しない場合があります。
しかし、インプラントを受けられる皆様に作製しているサージカルガイドの使用により、そのようなリスクが軽減されています。
●術後は指示された鎮痛薬・抗菌薬を守って服用して頂くことが重要です。
●喫煙や糖尿病などの生活習慣・全身状態により治癒が遅れることがあります。
【札幌駅前】インプラント治療
60代女性の前歯部の症例(歯槽骨温存術)
●インプラント診断費用:38,500円
●インプラントガイド:55,000円
●リッジプリザベーション(歯槽堤温存術)
:66,000円(税込)
●インプラント治療(前歯):495,000円
●セラミッククラウン3本:462,000円
(2024年4月現在)
●一過性の(場合によっては持続的な)唇・舌・頬・口蓋・歯肉・歯等感覚麻痺、切開に起因する瘢痕組織による知覚異常が起こることがあります。
●下顎臼歯部の治療の場合、口角からオトガイ部にかけて一過性の(場合によっては持続的な)知覚異常が起きる可能性があります。
●インプラント用のドリルにより近接歯の損傷が起こることがあります。
●インプラント体と骨との結合不全が起こる可能性があります。その場合は治療期間が伸びることがあります。
●再手術や骨造成を追加で行うことが必要となることもあります。
●インプラント埋入手術は複雑であり、結果が予想通りに成功しない場合があります。
しかし、インプラントを受けられる皆様に作製しているサージカルガイドの使用により、そのようなリスクが軽減されています。
●術後は指示された鎮痛薬・抗菌薬を守って服用して頂くことが重要です。
●喫煙や糖尿病などの生活習慣・全身状態により治癒が遅れることがあります。
WEB予約
東豊線地下鉄 さっぽろ駅から徒歩2分