【札幌駅前】歯肉移植・インプラント治療
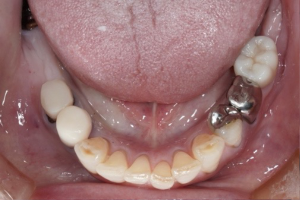
60代男性の臼歯部(奥歯)の症例
歯が揺れて咬めないことが主訴で来院されました。
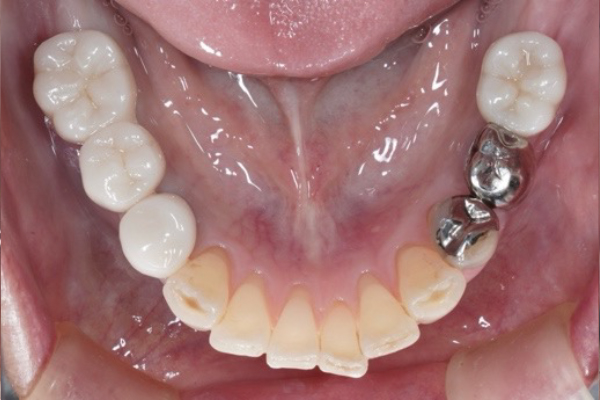
重度に歯周病が進んでいる状態でしたので歯周病治療を行いインプラント治療を行いました。
重度に歯周病が進んでいる状態でしたので歯周病治療を行いインプラント治療を行いました。
BEFORE
AFTER
| 担当医 | 荒川 英雄 |
|---|---|
| 主訴 | 歯が揺れている |
| 期間 | 2年 |
| 費用 | 総額:1,259,500円(税込) ●インプラント診断費用:38,500円 ●インプラントガイド:55,000円 ●インプラント治療(奥歯)2本:924,000円 ●骨造成:242,000円 (2025年4月現在) |
| 治療内容 | インプラント治療、骨造成、歯肉移植 |
| 治療に伴うリスク | ●手術後に腫れ・痛み・術創部位における顔面部への内出血が起こることがあります。 ●一過性の(場合によっては持続的な)唇・舌・頬・口蓋・歯肉・歯等感覚麻痺、切開に起因する瘢痕組織による知覚異常が起こることがあります。 ●下顎臼歯部の治療の場合、口角からオトガイ部にかけて一過性の(場合によっては持続的な)知覚異常が起きる可能性があります。 ●インプラント用のドリルにより近接歯の損傷が起こることがあります。 ●インプラント体と骨との結合不全が起こる可能性があります。その場合は治療期間が伸びることがあります。再手術や骨造成を追加で行うことが必要となることもあります。 ●インプラント埋入手術は複雑であり、結果が予想通りに成功しない場合があります。 しかし、インプラントを受けられる皆様に作製しているサージカルガイドの使用により、そのようなリスクが軽減されています。 ●術後は指示された鎮痛薬・抗菌薬を守って服用して頂くことが重要です。 ●喫煙や糖尿病などの生活習慣・全身状態により治癒が遅れることがあります。 |























かなり昔に奥歯の抜歯を行い、手前の歯から奥に伸ばして歯を作っている状態でした。このままでは、手前の歯にかかる負担が大きくなってしまい残すことが難しくなる可能性がありました。インプラント治療のメリット・デメリットを説明しインプラント治療を行うことになりました。
インプラント予定部位の骨が少なかったので、骨造成を行い、その後インプラント治療を行う計画を立てました。
【治療計画】
①左下大臼歯部骨造成
②骨造成後6ヶ月待ちます
③インプラント埋入と同時にもう一度骨造成
④歯肉移植
⑤最終補綴セット
【担当者所見】
抜歯してから長期に渡り入れ歯を使用していたので骨が非常に薄くなってしまっていました。インプラント治療を長期的に成功させるためには骨の状態は大変重要です。
骨造成、歯肉移植は術後に腫れ、内出血、痛みを伴うことが多いです。
患者様は複数回の手術に耐えて大変頑張っていただけました。これからはメインテナンスのフェーズに入ります。定期的なクリーニングと咬合チェックを怠らないことで、インプラント周囲炎の発症リスクを大幅に抑えられます。
長期に渡りインプラントを使用できるようしっかりと経過を追わせて頂きます。