即時埋入
札幌駅前|
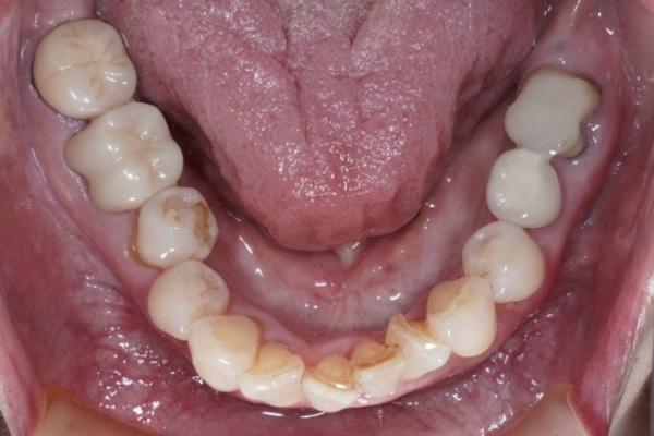
左下6番インプラント
1本(即時埋入)|
歯根破折からの
回復症例|70代女性|
治療期間6ヶ月
- 担当医
- 荒川 英雄
- 主訴
- 咬んだ際の違和感ある。
- 期間
- 6ヶ月
※骨の状態により変動します。
- 費用
- • 合計 706,200円(税込)
内訳
• インプラント診断費用:38,500円
• 滅菌・消毒料:7,700円
• インプラントガイド:55,000円
• インプラント治療(奥歯):495,000円
• 抜歯即時埋入:110,000円
(2026年4月現在)
- 治療内容
- 左下6番インプラント1本(即時埋入)
- 治療に伴うリスク
- • 手術後に腫れ・痛み・術創部位における顔面部への内出血が起こることがあります。
• 一過性の(場合によっては持続的な)唇・舌・頬・口蓋・歯肉・歯等感覚麻痺、切開に起因する瘢痕組織による知覚異常が起こることがあります。
• 下顎臼歯部の治療の場合、口角からオトガイ部にかけて一過性の(場合によっては持続的な)知覚異常が起きる可能性があります。
• インプラント用のドリルにより近接歯の損傷が起こることがあります。
• インプラント体と骨との結合不全が起こる可能性があります。その場合は治療期間が伸びることがあります。再手術や骨造成を追加で行うことが必要となることもあります。
• インプラント埋入手術は複雑であり、結果が予想通りに成功しない場合があります。しかしインプラントを受けられる皆様に作製しているサージカルガイドの使用により、そのようなリスクが軽減されています。
• 術後は指示された鎮痛薬・抗菌薬を守って服用して頂くことが重要です。
• 喫煙や糖尿病などの生活習慣・全身状態により治癒が遅れることがあります。
