【札幌駅前の矯正歯科】
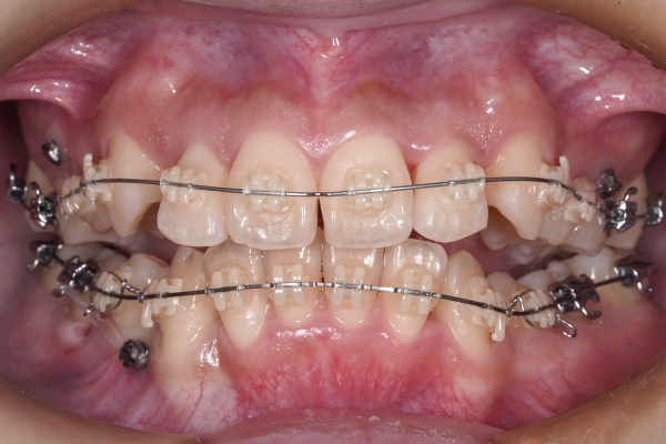
20代女性の八重歯
(前歯のガタガタ)を
ワイヤー矯正で改善中|
6ヶ月の治療経過症例
- 担当医
- 荒川 英雄
- 主訴
- 八重歯による前歯のガタガタ
- 期間
- 6ヶ月経過
- 費用
- 総額:1,122,000円(税込)
●矯正診断費用:38,500円
●ワイヤー矯正費用:1,045,000円
●リテーナー:38,500円
(2025年11月現在)
- 治療内容
- ワイヤー矯正治療
- 治療に伴うリスク
- 矯正治療には以下のようなリスクや注意点があります。
●歯の移動に伴い、痛みや違和感が生じることがあります。
●歯の移動により、歯根吸収や歯肉退縮が起こる可能性があります。
●矯正装置の周囲は清掃が難しく、虫歯や歯肉炎のリスクが高くなる場合があります。
●抜歯矯正では歯の移動量が大きくなるため、治療期間が延びる可能性があります。
●治療後は歯列の安定のため、保定装置(リテーナー)の装着が必要になります。
矯正治療を安全に進めるためには、定期的な通院と適切な口腔ケアが重要です。




