
精密根管治療
【札幌駅前】精密根管治療
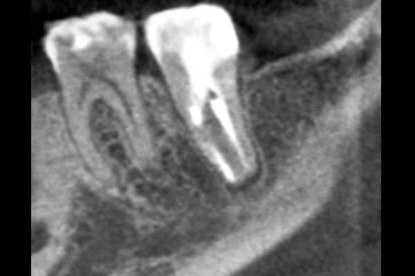
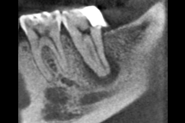
40代男性の大臼歯(奥歯)の症例
- 担当医
- 荒川 英雄
- 主訴
- 「時々歯茎が腫れる」とのことでご来院されました。数週間前から症状があり、他の医院では「抜歯の可能性がある」と言われ、不安に感じていらっしゃいました。
- 期間
- 治療期間2ヶ月、治療回数3回、レントゲン写真で治癒を確認できるまでの期間6ヶ月
- 費用
- ●精密根管治療(大臼歯)154,000円(税込)
※精密根管治療後にセラミックの被せ物治療が必要になる場合、
●土台 33,000円(税込)
●セラミック被せ物 132,000円(税込)
別途費用がかかります。
- 治療内容
- 1.古い被せ物の除去と虫歯の徹底除去
まず、古い銀歯を外し、内部に広がっていた虫歯を丁寧に取り除きました。
2.マイクロスコープ下での根管治療
唾液などによる細菌の侵入を防ぐ「ラバーダム」を装着し、マイクロスコープ(歯科用顕微鏡)で根管内を数十倍に拡大しながら治療を進めました。複雑な形状の根管の内部まで、汚染された組織を徹底的に洗浄・消毒します。
3.根管充填(こんかんじゅうてん)
根管内が完全にクリーンになったことを確認し、再感染を防ぐために専用の薬剤で隙間なく密閉しました。
4.土台と被せ物の作製
歯の強度を補うための土台を立て、最終的なセラミックの被せ物を作製し、装着しました。
- 治療に伴うリスク
- 少しでも汚染物質が残ると再発のリスクが高まります。
【札幌駅前】精密根管治療
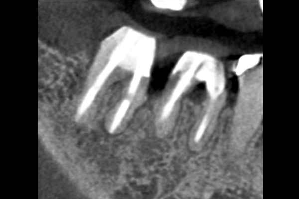
60代男性の大臼歯(奥歯)の症例
- 担当医
- 荒川 英雄
- 主訴
- 「時々歯茎が腫れる」とのことでご来院されました。数週間前から症状があり、他の医院では「抜歯の可能性がある」と言われ、不安に感じていらっしゃいました。
- 期間
- 治療期間2ヶ月、治療回数3回、レントゲン写真で治癒を確認できるまでの期間6ヶ月
- 費用
- 総額154,000円(税込)
●精密根管治療(大臼歯)154,000円(税込)
※精密根管治療後にセラミックの被せ物治療が必要になる場合、
●土台 33,000円(税込)
●セラミック被せ物 132,000円(税込)
別途費用がかかります。
- 治療内容
- 1.古い被せ物の除去と虫歯の徹底除去 まず、古い銀歯を外し、内部に広がっていた虫歯を丁寧に取り除きました。
2.マイクロスコープ下での根管治療 唾液などによる細菌の侵入を防ぐ「ラバーダム」を装着し、マイクロスコープ(歯科用顕微鏡)で根管内を数十倍に拡大しながら治療を進めました。複雑な形状の根管の内部まで、汚染された組織を徹底的に洗浄・消毒します。
3.根管充填(こんかんじゅうてん) 根管内が完全にクリーンになったことを確認し、再感染を防ぐために専用の薬剤で隙間なく密閉しました。
4.土台と被せ物の作製 歯の強度を補うための土台を立て、最終的なセラミックの被せ物を作製し、装着しました。
- 治療に伴うリスク
- 少しでも汚染物質が残ると再発のリスクが高まります。
【札幌駅前】精密根管治療
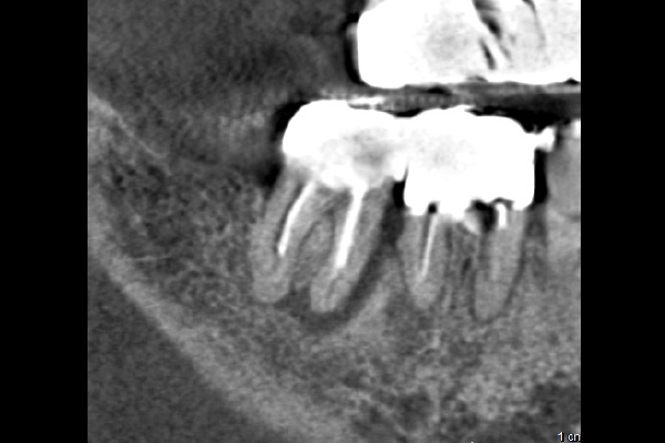
20代女性の大臼歯(奥歯)の症例
- 担当医
- 荒川 英雄
- 主訴
- 「時々歯茎が腫れる」とのことでご来院されました。数週間前から症状があり、他の医院では「抜歯の可能性がある」と言われ、不安に感じていらっしゃいました。
- 期間
- 治療期間2ヶ月、治療回数3回、レントゲン写真で治癒を確認できるまでの期間6ヶ月
- 費用
- ●精密根管治療(大臼歯)154,000円(税込)
※精密根管治療後にセラミックの被せ物治療が必要になる場合、
●土台 33,000円(税込)
●セラミック被せ物 132,000円(税込)
別途費用がかかります。
- 治療内容
- 1.古い被せ物の除去と虫歯の徹底除去
まず、古い銀歯を外し、内部に広がっていた虫歯を丁寧に取り除きました。
2.マイクロスコープ下での根管治療
唾液などによる細菌の侵入を防ぐ「ラバーダム」を装着し、マイクロスコープ(歯科用顕微鏡)で根管内を数十倍に拡大しながら治療を進めました。複雑な形状の根管の内部まで、汚染された組織を徹底的に洗浄・消毒します。
3.根管充填(こんかんじゅうてん)
根管内が完全にクリーンになったことを確認し、再感染を防ぐために専用の薬剤で隙間なく密閉しました。
4. 土台と被せ物の作製
歯の強度を補うための土台を立て、最終的なセラミックの被せ物を作製し、装着しました。
- 治療に伴うリスク
- 少しでも汚染物質が残ると再発のリスクが高まります。
【札幌駅前】精密根管治療
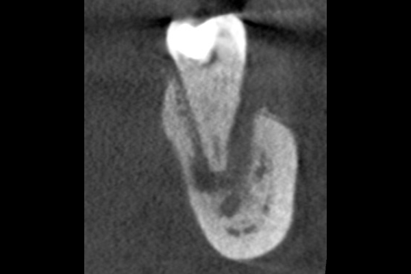
30代男性の小臼歯(奥歯)の症例
- 担当医
- 荒川 英雄
- 主訴
- 「奥歯で咬むと違和感がある」「時々歯茎が腫れる」とのことでご来院されました。数週間前から症状があり、他の医院では「抜歯の可能性がある」と言われ、不安に感じていらっしゃいました。
- 期間
- 治療期間2ヶ月、治療回数3回、レントゲン写真で治癒を確認できるまでの期間6ヶ月
- 費用
- ●精密根管治療(小臼歯)121,000円(税込)
※精密根管治療後にセラミックの被せ物治療が必要になる場合、
●土台 33,000円(税込)
●セラミック被せ物 132,000円(税込)
別途費用がかかります。
- 治療内容
- 1.古い被せ物の除去と虫歯の徹底除去
まず、古い銀歯を外し、内部に広がっていた虫歯を丁寧に取り除きました。
2.マイクロスコープ下での根管治療
唾液などによる細菌の侵入を防ぐ「ラバーダム」を装着し、マイクロスコープ(歯科用顕微鏡)で根管内を数十倍に拡大しながら治療を進めました。複雑な形状の根管の内部まで、汚染された組織を徹底的に洗浄・消毒します。
3.根管充填(こんかんじゅうてん)
根管内が完全にクリーンになったことを確認し、再感染を防ぐために専用の薬剤で隙間なく密閉しました。
4.土台と被せ物の作製
歯の強度を補うための土台を立て、最終的なセラミックの被せ物を作製し、装着しました。
- 治療に伴うリスク
- 少しでも汚染物質が残ると再発のリスクが高まります。
【札幌駅前】精密根管治療
30代女性の前歯部の症例
- 担当医
- 荒川 英雄
- 主訴
- 「前歯で咬むと違和感がある」とのことでご来院されました。数週間前から症状があり、他の医院では「抜歯の可能性がある」と言われ、不安に感じていらっしゃいました。
- 期間
- 治療期間2ヶ月、治療回数3回、レントゲン写真で治癒を確認できるまでの期間6ヶ月
- 費用
- ●精密根管治療(前歯)99,000円(税込)
※精密根管治療後にセラミックの被せ物治療が必要になる場合、
●土台 33,000円(税込)
●セラミック被せ物 154,000円(税込)
別途費用がかかります。
- 治療内容
- 1.古い被せ物の除去と虫歯の徹底除去
まず、古い銀歯を外し、内部に広がっていた虫歯を丁寧に取り除きました。
2.マイクロスコープ下での根管治療
唾液などによる細菌の侵入を防ぐ「ラバーダム」を装着し、マイクロスコープ(歯科用顕微鏡)で根管内を数十倍に拡大しながら治療を進めました。複雑な形状の根管の内部まで、汚染された組織を徹底的に洗浄・消毒します。
3.根管充填(こんかんじゅうてん)
根管内が完全にクリーンになったことを確認し、再感染を防ぐために専用の薬剤で隙間なく密閉しました。
4.土台と被せ物の作製
歯の強度を補うための土台を立て、最終的なセラミックの被せ物を作製し、装着しました。
- 治療に伴うリスク
- 少しでも汚染物質が残ると再発のリスクが高まります。
【札幌駅前】精密根管治療
40代女性の前歯部の症例
- 担当医
- 荒川 英雄
- 主訴
- 「前歯の歯茎が腫れている」とのことでご来院されました。
数週間前から症状があり、他の医院では「抜歯の可能性がある」と言われ、不安に感じていらっしゃいました。
- 期間
- 治療期間2ヶ月、治療回数3回、レントゲン写真で治癒を確認できるまでの期間6ヶ月
- 費用
- ●精密根管治療(前歯)99,000円(税込)
※精密根管治療後にセラミックの被せ物治療が必要になる場合、別途費用がかかります。
●土台 33,000円(税込)
●セラミック被せ物 154,000円(税込)
- 治療内容
- 1.古い被せ物の除去と虫歯の徹底除去
まず、古い銀歯を外し、内部に広がっていた虫歯を丁寧に取り除きました。
2.マイクロスコープ下での根管治療
唾液などによる細菌の侵入を防ぐ「ラバーダム」を装着し、マイクロスコープ(歯科用顕微鏡)で根管内を数十倍に拡大しながら治療を進めました。複雑な形状の根管の内部まで、汚染された組織を徹底的に洗浄・消毒します。
3.根管充填(こんかんじゅうてん)
根管内が完全にクリーンになったことを確認し、再感染を防ぐために専用の薬剤で隙間なく密閉しました。
4.土台と被せ物の作製
歯の強度を補うための土台を立て、最終的なセラミックの被せ物を作製し、装着しました。
- 治療に伴うリスク
- 少しでも汚染物質が残ると再発のリスクが高まります。
