咬んだら痛い
【札幌駅前】外科的歯内療法 (歯根端切除術)
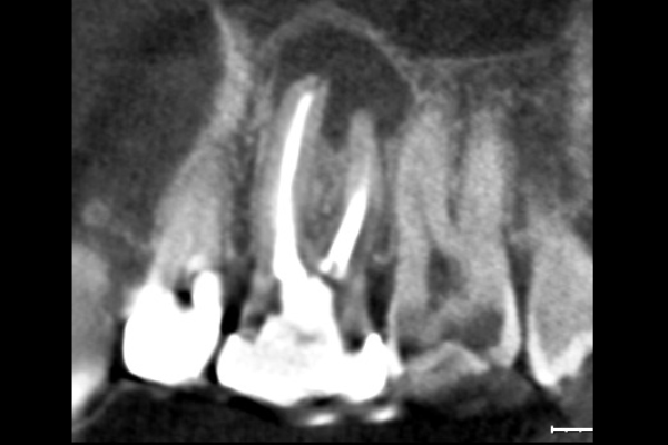
30代男性の前歯部の症例
- 担当医
- 荒川 英雄
- 主訴
- 「咬んだら痛い」とのことでご来院されました。数週間前から症状があり、他の医院では「抜歯の可能性がある」と言われ、不安に感じていらっしゃいました。
- 期間
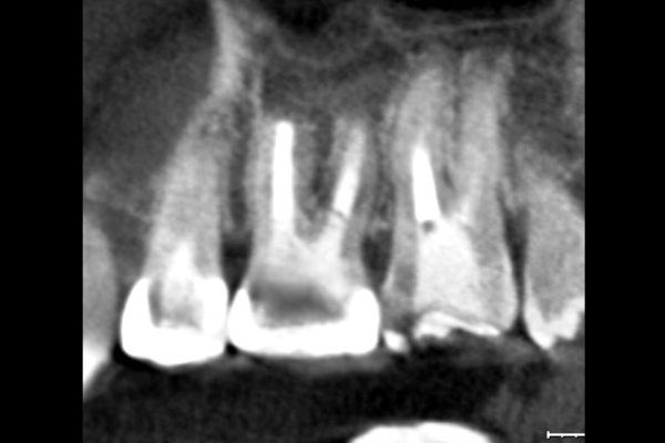
- 治療回数2回、レントゲン写真で治癒を確認できるまでの期間6ヶ月
- 費用
- ●外科的歯内療法(歯根端切除術)(前歯)132,000円(税込)
※治療後にセラミックの被せ物治療が必要になる場合、
●土台 33,000円(税込)
●セラミック被せ物 132,000円(税込)
別途費用がかかります。
- 治療内容
- 1.麻酔
手術する部分に局所麻酔を行いますので、治療中に痛みを感じることはありません。
2.歯肉の切開・剥離
歯肉を小さく切開し、病巣がある部分の骨を露出させます。
3.病巣の摘出と歯根端の切除
マイクロスコープ(歯科用顕微鏡)で術野を拡大し、膿の袋をきれいに取り除きます。その後、細菌の温床となっている根の先端を約3mm切除します。
4.根管の封鎖(逆根管充填)
切断した根の断面から、MTAセメントという特殊な薬剤を詰めて、細菌が再び侵入しないように完全に封鎖します。これにより、再発のリスクを大幅に低減できます。
5.縫合
切開した歯肉を元の位置に戻し、丁寧に縫い合わせて手術は完了です。手術時間はおおよそ60分〜90分です。
- 治療に伴うリスク
- 少しでも汚染物質が残ると再発のリスクが高まります。
