
症例
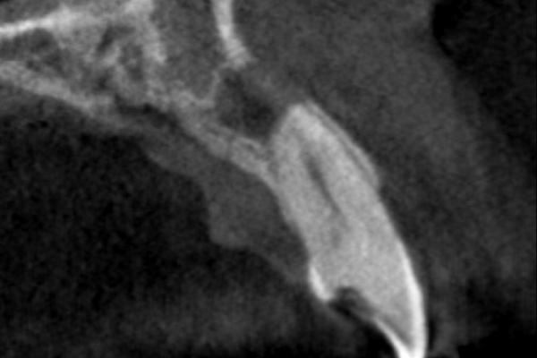
【札幌駅前】外科的歯内療法 (歯根端切除術)
30代男性の前歯部の症例
- 担当医
- 荒川 英雄
- 主訴
- 「咬んだら痛い」とのことでご来院されました。数週間前から症状があり、他の医院では「抜歯の可能性がある」と言われ、不安に感じていらっしゃいました。
- 期間
- 治療回数2回、レントゲン写真で治癒を確認できるまでの期間6ヶ月
- 費用
- ●外科的歯内療法(歯根端切除術)(前歯)132,000円(税込)
※治療後にセラミックの被せ物治療が必要になる場合、
●土台 33,000円(税込)
●セラミック被せ物 132,000円(税込)
別途費用がかかります。
- 治療内容
- 1.麻酔
手術する部分に局所麻酔を行いますので、治療中に痛みを感じることはありません。
2.歯肉の切開・剥離
歯肉を小さく切開し、病巣がある部分の骨を露出させます。
3.病巣の摘出と歯根端の切除
マイクロスコープ(歯科用顕微鏡)で術野を拡大し、膿の袋をきれいに取り除きます。その後、細菌の温床となっている根の先端を約3mm切除します。
4.根管の封鎖(逆根管充填)
切断した根の断面から、MTAセメントという特殊な薬剤を詰めて、細菌が再び侵入しないように完全に封鎖します。これにより、再発のリスクを大幅に低減できます。
5.縫合
切開した歯肉を元の位置に戻し、丁寧に縫い合わせて手術は完了です。手術時間はおおよそ60分〜90分です。
- 治療に伴うリスク
- 少しでも汚染物質が残ると再発のリスクが高まります。
【札幌駅前】外科的歯内療法(歯根端切除術)
30代男性の奥歯の症例
- 担当医
- 荒川 英雄
- 主訴
- 「時々歯茎が腫れる」とのことでご来院されました。数週間前から症状があり、他の医院では「抜歯の可能性がある」と言われ、不安に感じていらっしゃいました。
- 期間
- 治療回数2回、レントゲン写真で治癒を確認できるまでの期間6ヶ月
- 費用
- ●外科的歯内療法(歯根端切除術)(奥歯)176,000円(税込)
※治療後にセラミックの被せ物治療が必要になる場合、
●土台 33,000円(税込)
●セラミック被せ物 132,000円(税込)
別途費用がかかります。
- 治療内容
- 1.麻酔
手術する部分に局所麻酔を行いますので、治療中に痛みを感じることはありません。
2.歯肉の切開・剥離
歯肉を小さく切開し、病巣がある部分の骨を露出させます。
3.病巣の摘出と歯根端の切除
マイクロスコープ(歯科用顕微鏡)で術野を拡大し、膿の袋をきれいに取り除きます。その後、細菌の温床となっている根の先端を約3mm切除します。
4.根管の封鎖(逆根管充填)
切断した根の断面から、MTAセメントという特殊な薬剤を詰めて、細菌が再び侵入しないように完全に封鎖します。これにより、再発のリスクを大幅に低減できます。
5.縫合
切開した歯肉を元の位置に戻し、丁寧に縫い合わせて手術は完了です。手術時間はおおよそ60分〜90分です。
- 治療に伴うリスク
- 少しでも汚染物質が残ると再発のリスクが高まります。
【札幌駅前】外科的歯内療法 (歯根端切除術)
50代男性の前歯部の症例
- 担当医
- 荒川 英雄
- 主訴
- 「時々歯茎が腫れる」とのことでご来院されました。数週間前から症状があり、他の医院では「抜歯の可能性がある」と言われ、不安に感じていらっしゃいました。
- 期間
- 治療回数2回、レントゲン写真で治癒を確認できるまでの期間6ヶ月
- 費用
- ●外科的歯内療法(歯根端切除術)(前歯)132,000円(税込)
※治療後にセラミックの被せ物治療が必要になる場合、
●土台 33,000円(税込)
●セラミック被せ物 132,000円(税込)
別途費用がかかります。
- 治療内容
- 1.麻酔
手術する部分に局所麻酔を行いますので、治療中に痛みを感じることはありません。
2.歯肉の切開・剥離
歯肉を小さく切開し、病巣がある部分の骨を露出させます。
3.病巣の摘出と歯根端の切除
マイクロスコープ(歯科用顕微鏡)で術野を拡大し、膿の袋をきれいに取り除きます。その後、細菌の温床となっている根の先端を約3mm切除します。
4.根管の封鎖(逆根管充填)
切断した根の断面から、MTAセメントという特殊な薬剤を詰めて、細菌が再び侵入しないように完全に封鎖します。これにより、再発のリスクを大幅に低減できます。
5.縫合
切開した歯肉を元の位置に戻し、丁寧に縫い合わせて手術は完了です。手術時間はおおよそ60分〜90分です。
- 治療に伴うリスク
- 少しでも汚染物質が残ると再発のリスクが高まります。
【札幌駅前】精密根管治療
40代男性の大臼歯(奥歯)の症例
- 担当医
- 荒川 英雄
- 主訴
- 「時々歯茎が腫れる」とのことでご来院されました。数週間前から症状があり、他の医院では「抜歯の可能性がある」と言われ、不安に感じていらっしゃいました。
- 期間
- 治療期間2ヶ月、治療回数3回、レントゲン写真で治癒を確認できるまでの期間6ヶ月
- 費用
- ●精密根管治療(大臼歯)154,000円(税込)
※精密根管治療後にセラミックの被せ物治療が必要になる場合、
●土台 33,000円(税込)
●セラミック被せ物 132,000円(税込)
別途費用がかかります。
- 治療内容
- 1.古い被せ物の除去と虫歯の徹底除去
まず、古い銀歯を外し、内部に広がっていた虫歯を丁寧に取り除きました。
2.マイクロスコープ下での根管治療
唾液などによる細菌の侵入を防ぐ「ラバーダム」を装着し、マイクロスコープ(歯科用顕微鏡)で根管内を数十倍に拡大しながら治療を進めました。複雑な形状の根管の内部まで、汚染された組織を徹底的に洗浄・消毒します。
3.根管充填(こんかんじゅうてん)
根管内が完全にクリーンになったことを確認し、再感染を防ぐために専用の薬剤で隙間なく密閉しました。
4.土台と被せ物の作製
歯の強度を補うための土台を立て、最終的なセラミックの被せ物を作製し、装着しました。
- 治療に伴うリスク
- 少しでも汚染物質が残ると再発のリスクが高まります。
【札幌駅前】精密根管治療
60代男性の大臼歯(奥歯)の症例
- 担当医
- 荒川 英雄
- 主訴
- 「時々歯茎が腫れる」とのことでご来院されました。数週間前から症状があり、他の医院では「抜歯の可能性がある」と言われ、不安に感じていらっしゃいました。
- 期間
- 治療期間2ヶ月、治療回数3回、レントゲン写真で治癒を確認できるまでの期間6ヶ月
- 費用
- 総額154,000円(税込)
●精密根管治療(大臼歯)154,000円(税込)
※精密根管治療後にセラミックの被せ物治療が必要になる場合、
●土台 33,000円(税込)
●セラミック被せ物 132,000円(税込)
別途費用がかかります。
- 治療内容
- 1.古い被せ物の除去と虫歯の徹底除去 まず、古い銀歯を外し、内部に広がっていた虫歯を丁寧に取り除きました。
2.マイクロスコープ下での根管治療 唾液などによる細菌の侵入を防ぐ「ラバーダム」を装着し、マイクロスコープ(歯科用顕微鏡)で根管内を数十倍に拡大しながら治療を進めました。複雑な形状の根管の内部まで、汚染された組織を徹底的に洗浄・消毒します。
3.根管充填(こんかんじゅうてん) 根管内が完全にクリーンになったことを確認し、再感染を防ぐために専用の薬剤で隙間なく密閉しました。
4.土台と被せ物の作製 歯の強度を補うための土台を立て、最終的なセラミックの被せ物を作製し、装着しました。
- 治療に伴うリスク
- 少しでも汚染物質が残ると再発のリスクが高まります。
【札幌駅前】精密根管治療
20代女性の大臼歯(奥歯)の症例
- 担当医
- 荒川 英雄
- 主訴
- 「時々歯茎が腫れる」とのことでご来院されました。数週間前から症状があり、他の医院では「抜歯の可能性がある」と言われ、不安に感じていらっしゃいました。
- 期間
- 治療期間2ヶ月、治療回数3回、レントゲン写真で治癒を確認できるまでの期間6ヶ月
- 費用
- ●精密根管治療(大臼歯)154,000円(税込)
※精密根管治療後にセラミックの被せ物治療が必要になる場合、
●土台 33,000円(税込)
●セラミック被せ物 132,000円(税込)
別途費用がかかります。
- 治療内容
- 1.古い被せ物の除去と虫歯の徹底除去
まず、古い銀歯を外し、内部に広がっていた虫歯を丁寧に取り除きました。
2.マイクロスコープ下での根管治療
唾液などによる細菌の侵入を防ぐ「ラバーダム」を装着し、マイクロスコープ(歯科用顕微鏡)で根管内を数十倍に拡大しながら治療を進めました。複雑な形状の根管の内部まで、汚染された組織を徹底的に洗浄・消毒します。
3.根管充填(こんかんじゅうてん)
根管内が完全にクリーンになったことを確認し、再感染を防ぐために専用の薬剤で隙間なく密閉しました。
4. 土台と被せ物の作製
歯の強度を補うための土台を立て、最終的なセラミックの被せ物を作製し、装着しました。
- 治療に伴うリスク
- 少しでも汚染物質が残ると再発のリスクが高まります。
【札幌駅前】精密根管治療
30代男性の小臼歯(奥歯)の症例
- 担当医
- 荒川 英雄
- 主訴
- 「奥歯で咬むと違和感がある」「時々歯茎が腫れる」とのことでご来院されました。数週間前から症状があり、他の医院では「抜歯の可能性がある」と言われ、不安に感じていらっしゃいました。
- 期間
- 治療期間2ヶ月、治療回数3回、レントゲン写真で治癒を確認できるまでの期間6ヶ月
- 費用
- ●精密根管治療(小臼歯)121,000円(税込)
※精密根管治療後にセラミックの被せ物治療が必要になる場合、
●土台 33,000円(税込)
●セラミック被せ物 132,000円(税込)
別途費用がかかります。
- 治療内容
- 1.古い被せ物の除去と虫歯の徹底除去
まず、古い銀歯を外し、内部に広がっていた虫歯を丁寧に取り除きました。
2.マイクロスコープ下での根管治療
唾液などによる細菌の侵入を防ぐ「ラバーダム」を装着し、マイクロスコープ(歯科用顕微鏡)で根管内を数十倍に拡大しながら治療を進めました。複雑な形状の根管の内部まで、汚染された組織を徹底的に洗浄・消毒します。
3.根管充填(こんかんじゅうてん)
根管内が完全にクリーンになったことを確認し、再感染を防ぐために専用の薬剤で隙間なく密閉しました。
4.土台と被せ物の作製
歯の強度を補うための土台を立て、最終的なセラミックの被せ物を作製し、装着しました。
- 治療に伴うリスク
- 少しでも汚染物質が残ると再発のリスクが高まります。
【札幌駅前】精密根管治療
30代女性の前歯部の症例
- 担当医
- 荒川 英雄
- 主訴
- 「前歯で咬むと違和感がある」とのことでご来院されました。数週間前から症状があり、他の医院では「抜歯の可能性がある」と言われ、不安に感じていらっしゃいました。
- 期間
- 治療期間2ヶ月、治療回数3回、レントゲン写真で治癒を確認できるまでの期間6ヶ月
- 費用
- ●精密根管治療(前歯)99,000円(税込)
※精密根管治療後にセラミックの被せ物治療が必要になる場合、
●土台 33,000円(税込)
●セラミック被せ物 154,000円(税込)
別途費用がかかります。
- 治療内容
- 1.古い被せ物の除去と虫歯の徹底除去
まず、古い銀歯を外し、内部に広がっていた虫歯を丁寧に取り除きました。
2.マイクロスコープ下での根管治療
唾液などによる細菌の侵入を防ぐ「ラバーダム」を装着し、マイクロスコープ(歯科用顕微鏡)で根管内を数十倍に拡大しながら治療を進めました。複雑な形状の根管の内部まで、汚染された組織を徹底的に洗浄・消毒します。
3.根管充填(こんかんじゅうてん)
根管内が完全にクリーンになったことを確認し、再感染を防ぐために専用の薬剤で隙間なく密閉しました。
4.土台と被せ物の作製
歯の強度を補うための土台を立て、最終的なセラミックの被せ物を作製し、装着しました。
- 治療に伴うリスク
- 少しでも汚染物質が残ると再発のリスクが高まります。
【札幌駅前】精密根管治療
40代女性の前歯部の症例
- 担当医
- 荒川 英雄
- 主訴
- 「前歯の歯茎が腫れている」とのことでご来院されました。
数週間前から症状があり、他の医院では「抜歯の可能性がある」と言われ、不安に感じていらっしゃいました。
- 期間
- 治療期間2ヶ月、治療回数3回、レントゲン写真で治癒を確認できるまでの期間6ヶ月
- 費用
- ●精密根管治療(前歯)99,000円(税込)
※精密根管治療後にセラミックの被せ物治療が必要になる場合、別途費用がかかります。
●土台 33,000円(税込)
●セラミック被せ物 154,000円(税込)
- 治療内容
- 1.古い被せ物の除去と虫歯の徹底除去
まず、古い銀歯を外し、内部に広がっていた虫歯を丁寧に取り除きました。
2.マイクロスコープ下での根管治療
唾液などによる細菌の侵入を防ぐ「ラバーダム」を装着し、マイクロスコープ(歯科用顕微鏡)で根管内を数十倍に拡大しながら治療を進めました。複雑な形状の根管の内部まで、汚染された組織を徹底的に洗浄・消毒します。
3.根管充填(こんかんじゅうてん)
根管内が完全にクリーンになったことを確認し、再感染を防ぐために専用の薬剤で隙間なく密閉しました。
4.土台と被せ物の作製
歯の強度を補うための土台を立て、最終的なセラミックの被せ物を作製し、装着しました。
- 治療に伴うリスク
- 少しでも汚染物質が残ると再発のリスクが高まります。
【札幌駅前】奥歯が噛めないお悩みを改善した
70代男性のインプラント症例(臼歯部・2本埋入)
- 担当医
- 荒川 英雄
- 主訴
- 歯が割れているのを治したい
- 期間
- 9ヶ月
- 費用
- 総額1,149,500円(税込)
●インプラント診断費用:38,500円
●インプラントガイド:55,000円
●骨造成(小):132,000円
●インプラント治療(奥歯)2本:924,000円
(2025年9月現在)
- 治療内容
- インプラント治療 臼歯部(奥歯)
- 治療に伴うリスク
- ●手術後に腫れ・痛み・術創部位における顔面部への内出血が起こることがあります。
●一過性の(場合によっては持続的な)唇・舌・頬・口蓋・歯肉・歯等感覚麻痺、切開に起因する瘢痕組織による知覚異常が起こることがあります。
●下顎臼歯部の治療の場合、口角からオトガイ部にかけて一過性の(場合によっては持続的な)知覚異常が起きる可能性があります。
●インプラント用のドリルにより近接歯の損傷が起こることがあります。
●インプラント体と骨との結合不全が起こる可能性があります。その場合は治療期間が伸びることがあります。再手術や骨造成を追加で行うことが必要となることもあります。
●インプラント埋入手術は複雑であり、結果が予想通りに成功しない場合があります。しかしインプラントを受けられる皆様に作製しているサージカルガイドの使用により、そのようなリスクが軽減されています。
●術後は指示された鎮痛薬・抗菌薬を守って服用して頂くことが重要です。
●喫煙や糖尿病などの生活習慣・全身状態により治癒が遅れることがあります。
