
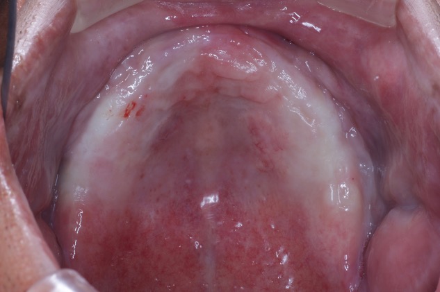
症例
札幌駅前
インプラント治療|
70代男性・
インプラント
オーバーデンチャー症例
[インプラント併用義歯]
- 担当医
- 荒川 英雄
- 主訴
- 上顎義歯を小さくしたい
- 期間
- 1年
- 費用
- 総額2,293,500円(税込)
●インプラント診断費用:38,500円
●インプラントガイド:55,000円
●インプラント治療4本:1,760,000円
●インプラント治療用義歯:440,000円
(2025年4月現在)
- 治療内容
- ●インプラントオーバーデンチャー
- 治療に伴うリスク
- ●手術後に腫れ・痛み・術創部位における顔面部への内出血が起こることがあります。
●一過性の(場合によっては持続的な)唇・舌・頬・口蓋・歯肉・歯等感覚麻痺、切開に起因する瘢痕組織による知覚異常が起こることがあります。
●下顎臼歯部の治療の場合、口角からオトガイ部にかけて一過性の(場合によっては持続的な)知覚異常が起きる可能性があります。
●インプラント用のドリルにより近接歯の損傷が起こることがあります。
●インプラント体と骨との結合不全が起こる可能性があります。その場合は治療期間が伸びることがあります。再手術や骨造成を追加で行うことが必要となることもあります。
●インプラント埋入手術は複雑であり、結果が予想通りに成功しない場合があります。しかしインプラントを受けられる皆様に作製しているサージカルガイドの使用により、そのようなリスクが軽減されています。
●術後は指示された鎮痛薬・抗菌薬を守って服用して頂くことが重要です。
●喫煙や糖尿病などの生活習慣・全身状態により治癒が遅れることがあります。
札幌駅前
インプラント治療|
50代男性
・臼歯部(奥歯)症例 [抜歯即時埋入]
- 担当医
- 荒川 英雄
- 主訴
- 何度も外れる歯ををどうにかしたい
- 期間
- 6ヶ月
- 費用
- 総額: 665,500円(税込)
●インプラント診断費用:38,500円
●インプラントガイド:55,000円
●抜歯即時埋入:110,000円
●インプラント治療(奥歯)1本:462,000円
(2025年10月現在)
- 治療内容
- ●インプラント治療
- 治療に伴うリスク
- ●手術後に腫れ・痛み・術創部位における顔面部への内出血が起こることがあります。
●一過性の(場合によっては持続的な)唇・舌・頬・口蓋・歯肉・歯等感覚麻痺、切開に起因する瘢痕組織による知覚異常が起こることがあります。
●下顎臼歯部の治療の場合、口角からオトガイ部にかけて一過性の(場合によっては持続的な)知覚異常が起きる可能性があります。
●インプラント用のドリルにより近接歯の損傷が起こることがあります。
●インプラント体と骨との結合不全が起こる可能性があります。その場合は治療期間が伸びることがあります。再手術や骨造成を追加で行うことが必要となることもあります。
●インプラント埋入手術は複雑であり、結果が予想通りに成功しない場合があります。しかしインプラントを受けられる皆様に作製しているサージカルガイドの使用により、そのようなリスクが軽減されています。
●術後は指示された鎮痛薬・抗菌薬を守って服用して頂くことが重要です。
●喫煙や糖尿病などの生活習慣・全身状態により治癒が遅れることがあります。
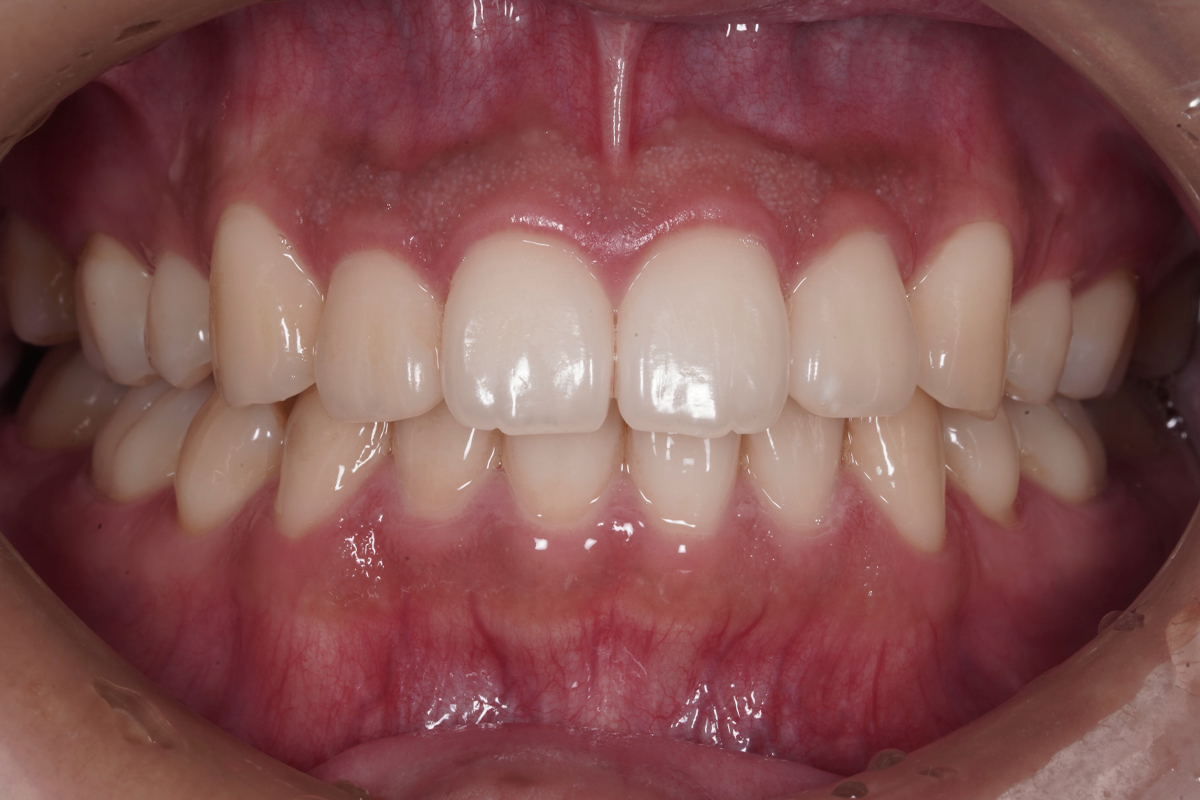
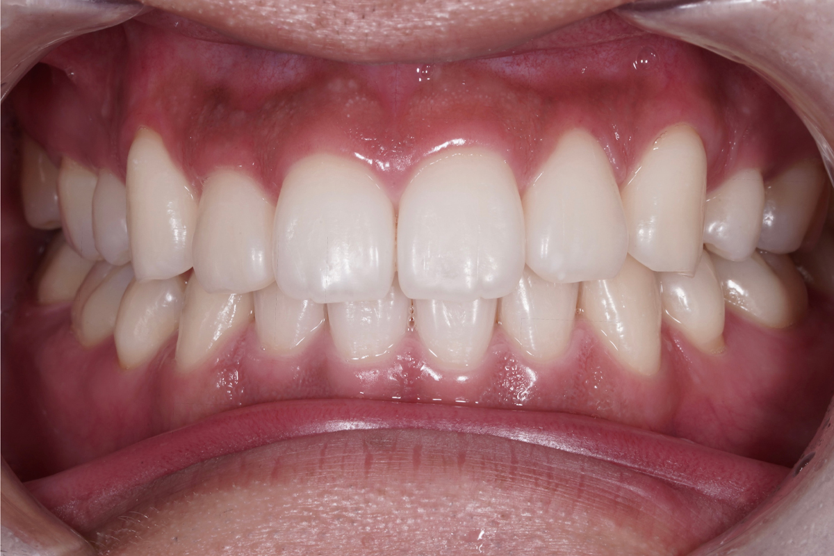
ホワイトニング症例⑦
20代女性
【札幌 歯医者
荒川デンタル
クリニック】
- 担当医
- 荒川 英雄
- 主訴
- 20代女性
歯を白くしたい
- 期間
- 約2週間〜3週間
- 費用
- ⚫︎オフィスホワイトニング
(1回:ライト3回照射):33,000円(税込)
⚫︎ホームホワイトニング
(マウスピース+薬剤4週間分):33,000円(税込)
⚫︎デュアルホワイトニング
(オフィス+ホーム):55,000円(税込)
※自由診療(保険適用外)2025年9月現在
- 治療内容
- ⚫︎方法:デュアルホワイトニング
(オフィス+ホーム併用)
⚫︎使用機材:Beyond Polus Advanced Ultra
⚫︎使用薬剤:過酸化水素薬剤(オフィス)、
過酸化尿素薬剤(ホーム)
⚫︎通院回数:2〜3回
- 治療に伴うリスク
- ⚫︎ホワイトニングは歯の内部の色素を分解し、歯の色調を明るく変化させる処置です。どんなに白くしても不自然な白さにはなりませんが、逆に陶器や紙のような白さにすることはできません。また、治療し詰めた物の色調は変化しません。そのため、これらの色調が異なって見えるようになりますので、目立つ場合は詰め直しなどの処置が必要になります。
⚫︎ホワイトニング処置は個人によりその効果が異なり、すべての方が必ずしも現在の状況から改善されるという保証がありません。抗生剤による変色や神経がない歯、金属による変色など、変色の原因によっては色調の改善が見込めないこともあります。
⚫︎ホワイトニング効果の持続期間は、変色の原因及び生活習慣によって異なりますが、6ヶ月を目安にホワイトニングすることにより白さを保つ事ができます。
⚫︎ホワイトニングにより、知覚過敏、歯肉の熱感、粘膜の潰瘍、歯の痛み等を生じる可能性があります。これらは一時的なもので、通常数日で治癒します。
⚫︎すでに知覚過敏の傾向にある場合、
ホワイトニングを行う事でさらに悪化する可能性があります。
⚫︎妊娠中、授乳中、または妊娠の可能性が高い方、未成年者は、ホワイトニング治療を控えさせて頂きます。
⚫︎ホワイトニングを行うと、歯の表面に白い点や帯が現れることがあります。これは歯に元々あるものが、 ホワイトニングにより強調されたものです。数日経つとまわりに馴染みますが、それでも気になる場合は、 歯科医師・歯科衛生士にご相談下さい。
⚫︎着色性の食品など:コーヒー、紅茶、コーラ、ウーロン茶、赤ワイン、煙草、カレー、ベリー類、チョコレート 、ケチャップ、醤油、ソース、トマトソースなど色の濃い食品、色の濃いうがい薬 など
