
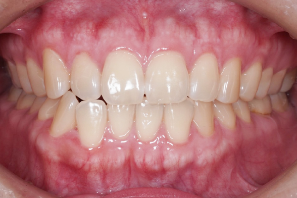
症例
札幌駅前
インプラント治療|
40代女性
歯槽堤温存術(リッジプリザベーション)
後の経過症例
- 担当医
- 荒川 英雄
- 主訴
- 咬んだら違和感がある
- 期間
- -
- 費用
- 総額:702,900円(税込)
⚫︎ インプラント診断費用:38,500円
⚫︎ 滅菌・消毒料:7,700円×2
⚫︎ インプラントガイド:55,000円
⚫︎ 歯槽堤温存術(リッジプリザベーション):132,000円
⚫︎ インプラント治療(奥歯):462,000円
(2025年11月現在)
- 治療内容
- ⚫︎ CT検査
⚫︎ 歯槽堤温存術(リッジプリザベーション)
現在:術後4週間経過(途中症例)
これから5ヶ月間待ち、インプラント治療を行なっていきます。
- 治療に伴うリスク
- ⚫︎ 手術後に腫れや痛みが出る可能性があります。
⚫︎ 骨量により治療期間が変わります。
ホワイトニング症例⑧
20代男性
【札幌 歯医者
荒川デンタル
クリニック】
- 担当医
- 荒川 英雄
- 主訴
- 20代男性
歯を白くしたい
- 期間
- 約2週間
- 費用
- ⚫︎オフィスホワイトニング
(1回:ライト3回照射):33,000円(税込)
⚫︎ホームホワイトニング
(マウスピース+薬剤4週間分)
:33,000円(税込)
⚫︎デュアルホワイトニング
(オフィス+ホーム):55,000円(税込)
※自由診療(保険適用外)2025年9月現在
- 治療内容
- ⚫︎方法:デュアルホワイトニング
(オフィス+ホーム併用)
⚫︎使用機材:Beyond Polus Advanced Ultra
⚫︎使用薬剤:過酸化水素薬剤(オフィス)、
過酸化尿素薬剤(ホーム)
⚫︎通院回数:2〜3回
- 治療に伴うリスク
- ⚫︎ホワイトニングは歯の内部の色素を分解し、歯の色調を明るく変化させる処置です。
どんなに白くしても不自然な白さにはなりませんが、逆に陶器や紙のような白さにすることはできません。
また、治療し詰めた物の色調は変化しません。そのため、これらの色調が異なって見えるようになりますので、目立つ場合は詰め直しなどの処置が必要になります。
⚫︎ホワイトニング処置は個人によりその効果が異なり、すべての方が必ずしも現在の状況から改善されるという保証がありません。
抗生剤による変色や神経がない歯、金属による変色など、変色の原因によっては色調の改善が見込めないこともあります。
⚫︎ホワイトニング効果の持続期間は、変色の原因及び生活習慣によって異なりますが、6ヶ月を目安にホワイトニングすることにより白さを保つ事ができます。
⚫︎ホワイトニングにより、知覚過敏、歯肉の熱感、粘膜の潰瘍、歯の痛み等を生じる可能性があります。
これらは一時的なもので、通常数日で治癒します。
⚫︎すでに知覚過敏の傾向にある場合、ホワイトニングを行う事でさらに悪化する可能性があります。
⚫︎妊娠中、授乳中、または妊娠の可能性が高い方、未成年者は、ホワイトニング治療を控えさせて頂きます。
⚫︎ホワイトニングを行うと、歯の表面に白い点や帯が現れることがあります。
これは歯に元々あるものが、 ホワイトニングにより強調されたものです。数日経つとまわりに馴染みますが、それでも気になる場合は、 歯科医師・歯科衛生士にご相談下さい。
⚫︎着色性の食品など:コーヒー、紅茶、コーラ、ウーロン茶、赤ワイン、煙草、カレー、ベリー類、チョコレート 、ケチャップ、醤油、ソース、トマトソースなど色の濃い食品、色の濃いうがい薬 など
[開咬:前歯が
咬んでない]
札幌駅前の矯正歯科
|20代女性
・ワイヤー矯正
- 担当医
- 荒川 英雄
- 主訴
- 前歯が咬んでいない
- 期間
- 2年
- 費用
- 総額:990,000円(税込)
⚫︎ワイヤー矯正費用:990,000円
(矯正診断費用:38,500円)
(リテーナー:38,500円)
(2025年11月現在)
- 治療内容
- ワイヤー矯正
- 治療に伴うリスク
- ⚫︎最初にワイヤーを入れた時には1週間前後痛みが出ることがあります。また、調整後にも痛みが出ることがあります(通常2〜3日程度)。
⚫︎万が一装置の脱離、破損が起きた場合はできるだけ早く御連絡ください。そのまま放置されますと、治療の進行に影響が出る場合がございます。
⚫︎事前の診断により矯正期間を説明させていただきますが、歯の移動には個人差があり期間が変わってしまう場合もあります。
⚫︎確実な固定源を作るため矯正用スクリューを使用する可能性があります。
⚫︎スペースがない場合は歯を抜歯しなくてはいけない事もあります。抜歯の際は別途費用がかかります。
⚫︎矯正治療中は矯正装置がついているため、虫歯に大変なりやすくなってしまいます。当院でも虫歯予防に最善を尽くしますが、しっかりとした毎日のブラッシングを宜しくお願いします。
⚫︎矯正治療中に虫歯になってしまった場合は、別途治療費がかかります。
⚫︎矯正治療によって、歯根の長さが短くなることがあります。歯根吸収しないように十分注意して矯正治療を行いますが、歯根吸収を防ぐ方法はないということが世界中の科学者の見解です。
⚫︎歯を大きく動かさなくてはならない場合、歯と歯の間に隙間が出ることがあります。
⚫︎1%以下(データ報告では0.5〜0.8%程度)の確率で歯の神経が死んでしまう可能性があります。その場合、根管治療が必要になります。
⚫︎矯正終了後は後戻りを防止するために歯の裏側から固定し、上下マウスピースを使用していただきます。何もしないと約3割の患者さんが後戻りするというデータがあります。
⚫︎治療を中断した場合、その後のトラブルには責任を負いかねる場合がございます。また、治療中断による治療費の返金はできませんのでご理解のほどよろしくお願い致します。
⚫︎矯正装置を外す際に、エナメル質が欠けたり、ヒビが入ることがあります。
