【札幌駅前】開咬:前歯が咬んでない
20代女性のワイヤー矯正・3ヶ月経過の途中症例
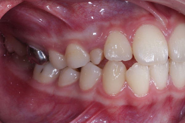
BEFORE
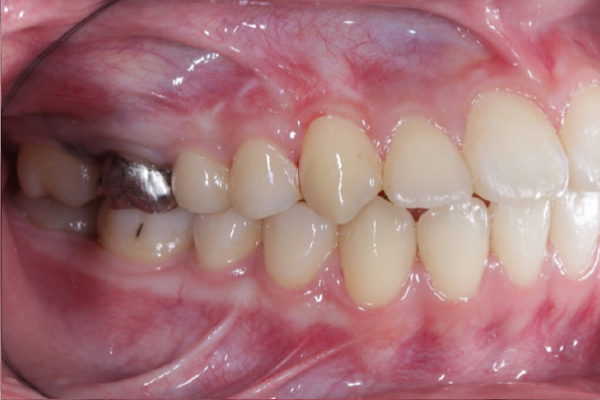
AFTER
| 担当医 | 荒川 英雄 |
|---|---|
| 主訴 | 前歯が咬んでいない |
| 期間 | 2年 |
| 費用 | 総額:990,000円(税込) ⚫︎ワイヤー矯正費用:990,000円 (矯正診断費用:38,500円) (リテーナー:38,500円) (2025年11月現在) |
| 治療内容 | ワイヤー矯正 |
| 治療に伴うリスク | ⚫︎最初にワイヤーを入れた時には1週間前後痛みが出ることがあります。また、調整後にも痛みが出ることがあります(通常2〜3日程度)。 ⚫︎万が一装置の脱離、破損が起きた場合はできるだけ早く御連絡ください。そのまま放置されますと、治療の進行に影響が出る場合がございます。 ⚫︎事前の診断により矯正期間を説明させていただきますが、歯の移動には個人差があり期間が変わってしまう場合もあります。 ⚫︎確実な固定源を作るため矯正用スクリューを使用する可能性があります。 ⚫︎スペースがない場合は歯を抜歯しなくてはいけない事もあります。抜歯の際は別途費用がかかります。 ⚫︎矯正治療中は矯正装置がついているため、虫歯に大変なりやすくなってしまいます。当院でも虫歯予防に最善を尽くしますが、しっかりとした毎日のブラッシングを宜しくお願いします。 ⚫︎矯正治療中に虫歯になってしまった場合は、別途治療費がかかります。 ⚫︎矯正治療によって、歯根の長さが短くなることがあります。歯根吸収しないように十分注意して矯正治療を行いますが、歯根吸収を防ぐ方法はないということが世界中の科学者の見解です。 ⚫︎歯を大きく動かさなくてはならない場合、歯と歯の間に隙間が出ることがあります。 ⚫︎1%以下(データ報告では0.5〜0.8%程度)の確率で歯の神経が死んでしまう可能性があります。その場合、根管治療が必要になります。 ⚫︎矯正終了後は後戻りを防止するために歯の裏側から固定し、上下マウスピースを使用していただきます。何もしないと約3割の患者さんが後戻りするというデータがあります。 ⚫︎治療を中断した場合、その後のトラブルには責任を負いかねる場合がございます。また、治療中断による治療費の返金はできませんのでご理解のほどよろしくお願い致します。 ⚫︎矯正装置を外す際に、エナメル質が欠けたり、ヒビが入ることがあります。 |























前歯で物を咬めない、見た目を治したいということで来院されました。前歯は咬んでおらず奥歯しか当たらない状態でした。咬み合わせが不安定でどこで咬んでいいかわからないということでした。小臼歯抜歯を行いワイヤー矯正にて治療を行うことになりました。
【担当者所見】
2年間にわたる矯正治療お疲れさまでした。決して楽な治療では無かったと思いますが最後まで治療を行うことができました。前歯がしっかり咬んでいない患者様は咬み合わせが不安定なことが多く、前歯の咬み合わせが空いてしまう可能性があります。今後は、後戻りの定期的な確認、虫歯予防をおこなっていきましょう。