【札幌駅前】
八重歯(叢生・歯並びガタガタ)を改善した
30代女性のワイヤー矯正症例
30代女性。
八重歯による歯並びの乱れと清掃のしにくさを主訴に来院されました。
以前より歯並びが気になっていたものの、矯正治療への不安から治療開始を迷われていたとのことでした。
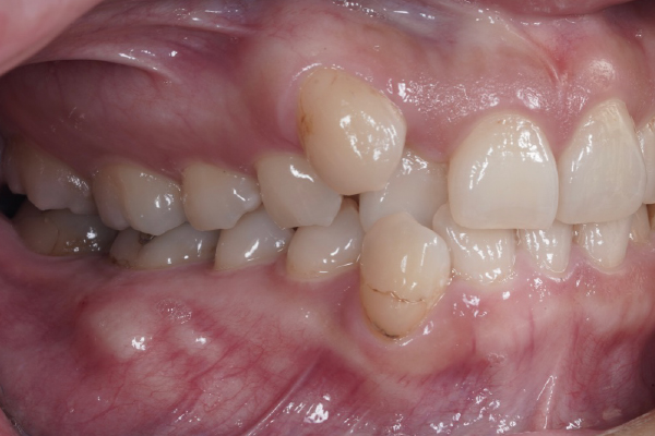
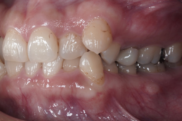
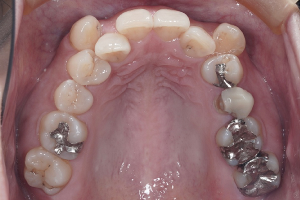
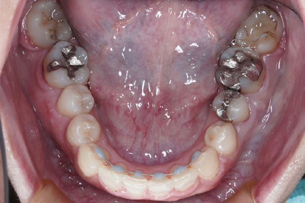
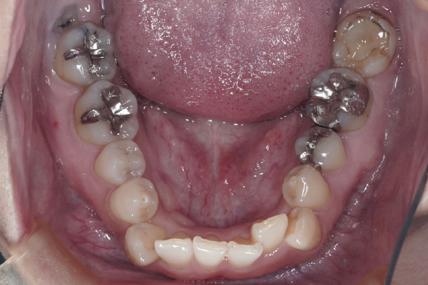
口腔内診査では、上顎犬歯の唇側転位を伴う叢生(八重歯)が認められ、歯が並ぶスペース不足により歯列不正を呈している状態でした。前歯の突出傾向は認められず、主にスペース不足です。
八重歯による歯並びの乱れと清掃のしにくさを主訴に来院されました。
以前より歯並びが気になっていたものの、矯正治療への不安から治療開始を迷われていたとのことでした。
口腔内診査では、上顎犬歯の唇側転位を伴う叢生(八重歯)が認められ、歯が並ぶスペース不足により歯列不正を呈している状態でした。前歯の突出傾向は認められず、主にスペース不足です。
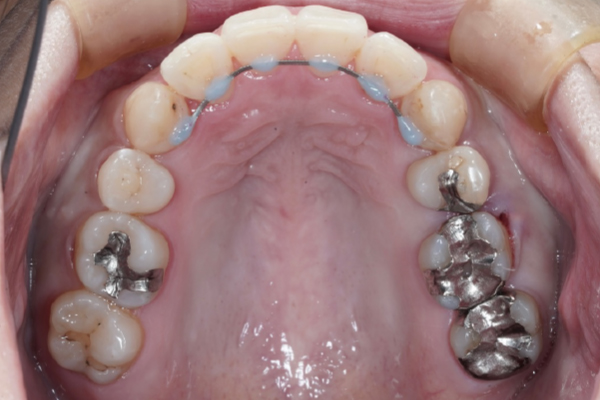
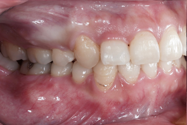
BEFORE
AFTER
BEFORE
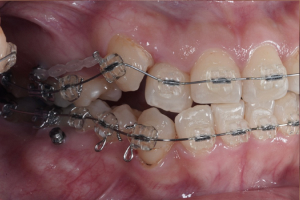
矯正治療開始5ヶ月
AFTER
【治療方針】
精密検査および分析の結果、歯列内のスペース不足を改善し、歯列全体の調和を図るためにはスペース確保が必要と判断しました。
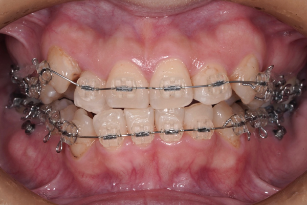
そのため本症例では、上顎小臼歯2本を抜歯し、獲得したスペースを利用して歯列を整える矯正治療計画としました。
ワイヤー矯正装置を用いて段階的に歯の排列を行い、唇側へ転位していた犬歯を歯列内へ誘導することで、機能的かつ審美的に安定した咬合の確立を目指しました。
治療計画について十分な説明を行い、患者様の理解と同意を得たうえで治療を開始しています。
【担当医所見】
八重歯を伴う叢生症例では、歯列内スペースの適切な確保と歯の移動コントロールが治療結果の安定性に大きく影響します。
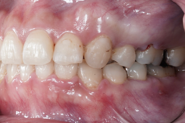
本症例では抜歯により必要なスペースを確保できたことで、犬歯を無理なく理想的な位置へ誘導することが可能となり、歯列の排列改善と咬合の安定が得られました。
また、歯の重なりが解消されたことで清掃性が向上し、将来的な虫歯・歯周病リスクの軽減にもつながると考えられます。
今後は保定装置による後戻り防止と定期的なメンテナンスを行い、長期的な安定維持を目指します。
精密検査および分析の結果、歯列内のスペース不足を改善し、歯列全体の調和を図るためにはスペース確保が必要と判断しました。
そのため本症例では、上顎小臼歯2本を抜歯し、獲得したスペースを利用して歯列を整える矯正治療計画としました。
ワイヤー矯正装置を用いて段階的に歯の排列を行い、唇側へ転位していた犬歯を歯列内へ誘導することで、機能的かつ審美的に安定した咬合の確立を目指しました。
治療計画について十分な説明を行い、患者様の理解と同意を得たうえで治療を開始しています。
【担当医所見】
八重歯を伴う叢生症例では、歯列内スペースの適切な確保と歯の移動コントロールが治療結果の安定性に大きく影響します。
本症例では抜歯により必要なスペースを確保できたことで、犬歯を無理なく理想的な位置へ誘導することが可能となり、歯列の排列改善と咬合の安定が得られました。
また、歯の重なりが解消されたことで清掃性が向上し、将来的な虫歯・歯周病リスクの軽減にもつながると考えられます。
今後は保定装置による後戻り防止と定期的なメンテナンスを行い、長期的な安定維持を目指します。
| 担当医 | 荒川 英雄 |
|---|---|
| 主訴 | 歯並びを治したい |
| 期間 | 2年 |
| 費用 | 総額:990,000円(税込) ●(矯正診断費用:38,500円) ●ワイヤー矯正費用:990,000円 ●(リテーナー:38,500円) (2024年4月現在) |
| 治療内容 | ワイヤー矯正治療 |
| 治療に伴うリスク | ●最初にワイヤーを入れた時には1週間前後痛みが出ることがあります。 また、調整後にも痛みが出ることがあります(通常2〜3日程度)。 ●万が一装置の脱離、破損が起きた場合はできるだけ早く御連絡ください。 そのまま放置されますと、治療の進行に影響が出る場合がございます。 ●事前の診断により矯正期間を説明させていただきますが、 歯の移動には個人差があり期間が変わってしまう場合もあります。 ●確実な固定源を作るため矯正用スクリューを使用する可能性があります。 ●スペースがない場合は歯を抜歯しなくてはいけない事もあります。 抜歯の際は別途費用がかかります。 ●矯正治療中は矯正装置がついているため、虫歯に大変なりやすくなってしまいます。 当院でも虫歯予防に最善を尽くしますが、しっかりとした毎日のブラッシングを宜しくお願いします。 ●矯正治療中に虫歯になってしまった場合は、別途治療費がかかります。 ●矯正治療によって、歯根の長さが短くなることがあります。 歯根吸収しないように十分注意して矯正治療を行いますが、 歯根吸収を防ぐ方法はないということが世界中の科学者の見解です。 ●歯を大きく動かさなくてはならない場合、歯と歯の間に隙間が出ることがあります。 ●1%以下(データ報告では0.5〜0.8%程度)の確率で歯の神経が死んでしまう可能性があります。 その場合、根管治療が必要になります。 ●矯正終了後は後戻りを防止するために歯の裏側から固定し、上下マウスピースを使用していただきます。 何もしないと約3割の患者さんが後戻りするというデータがあります。 ●治療を中断した場合、その後のトラブルには責任を負いかねる場合がございます。 また、治療中断による治療費の返金はできませんのでご理解のほどよろしくお願い致します。 ●矯正装置を外す際に、エナメル質が欠けたり、ヒビが入ることがあります。 |






















