【札幌駅前】叢生:歯並びガタガタ
抜歯を避けた10代女性のワイヤー矯正の症例
患者様は10代の女性で、以前から歯並びのガタつきが気になり、「将来を考えて今のうちにきれいにしておきたい」という思いから、札幌駅前で矯正治療をご相談に来院されました。
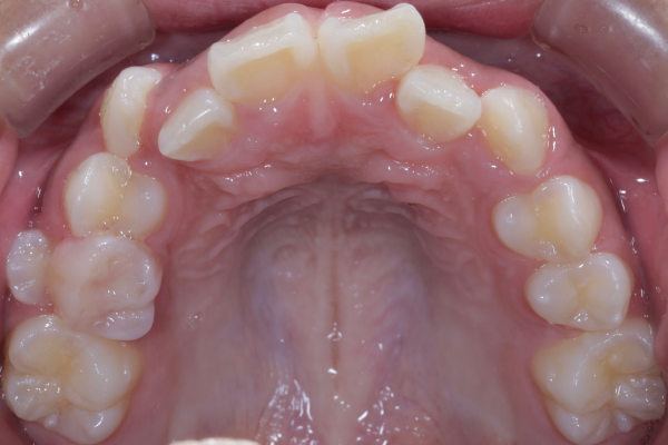
精密検査では、前歯部を中心とした叢生(歯の重なり)が確認され、現在だけでなく将来的な口腔環境も考慮した治療方針について詳しくご説明した上で、矯正治療を開始することとなりました。
精密検査では、前歯部を中心とした叢生(歯の重なり)が確認され、現在だけでなく将来的な口腔環境も考慮した治療方針について詳しくご説明した上で、矯正治療を開始することとなりました。
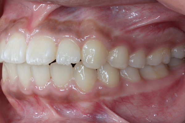
BEFORE
AFTER
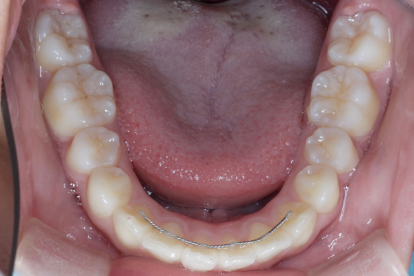
BEFORE
AFTER
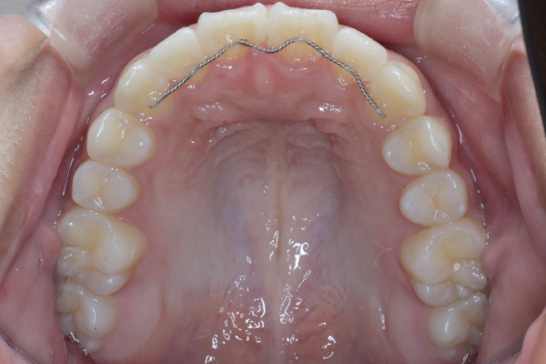
BEFORE
AFTER
| 担当医 | 荒川 英雄 |
|---|---|
| 主訴 | 歯並びを綺麗にしたい |
| 期間 | 2年 |
| 費用 | 総額:990,000円(税込) ●(矯正診断費用:38,500円) ●ワイヤー矯正費用:990,000円 ●(リテーナー:38,500円) (2024年4月現在) |
| 治療内容 | ワイヤー矯正治療 |
| 治療に伴うリスク | ●最初にワイヤーを入れた時には1週間前後痛みが出ることがあります。 また、調整後にも痛みが出ることがあります(通常2〜3日程度)。 ●万が一装置の脱離、破損が起きた場合はできるだけ早く御連絡ください。 そのまま放置されますと、治療の進行に影響が出る場合がございます。 ●事前の診断により矯正期間を説明させていただきますが、 歯の移動には個人差があり期間が変わってしまう場合もあります。 ●確実な固定源を作るため矯正用スクリューを使用する可能性があります。 ●スペースがない場合は歯を抜歯しなくてはいけない事もあります。 抜歯の際は別途費用がかかります。 ●矯正治療中は矯正装置がついているため、虫歯に大変なりやすくなってしまいます。 当院でも虫歯予防に最善を尽くしますが、しっかりとした毎日のブラッシングを宜しくお願いします。 ●矯正治療中に虫歯になってしまった場合は、別途治療費がかかります。 ●矯正治療によって、歯根の長さが短くなることがあります。 歯根吸収しないように十分注意して矯正治療を行いますが、 歯根吸収を防ぐ方法はないということが世界中の科学者の見解です。 ●歯を大きく動かさなくてはならない場合、歯と歯の間に隙間が出ることがあります。 ●1%以下(データ報告では0.5〜0.8%程度)の確率で歯の神経が死んでしまう可能性があります。 その場合、根管治療が必要になります。 ●矯正終了後は後戻りを防止するために歯の裏側から固定し、上下マウスピースを使用していただきます。 何もしないと約3割の患者さんが後戻りするというデータがあります。 ●治療を中断した場合、その後のトラブルには責任を負いかねる場合がございます。 また、治療中断による治療費の返金はできませんのでご理解のほどよろしくお願い致します。 ●矯正装置を外す際に、エナメル質が欠けたり、ヒビが入ることがあります。 |






























患者様は10代の女性で、前歯を中心とした歯並びのガタつき(叢生)を気にされて来院されました。できるだけ抜歯をせずに矯正治療を行いたいというご希望があり、精密検査を実施しました。
検査の結果、歯列全体のスペースバランスを調整することで、抜歯を行わずに歯並びの改善が可能と判断しました。歯の移動量やコントロール性を考慮し、今回はワイヤー矯正を用いた治療計画をご提案し、患者様にも十分ご理解いただいた上で治療を開始しました。
【担当者所見】
10代での叢生は、見た目の問題だけでなく、将来的な虫歯や歯周病のリスクにもつながることがあります。この患者様のように、成長期のタイミングで適切に矯正治療を行うことで、歯や噛み合わせを良い状態で長く保つことが期待できます。
約2年間にわたる矯正治療は決して簡単なものではありませんでしたが、最後までしっかり通院していただき、良好な歯列を獲得することができました。今後は後戻りのチェックとともに、定期的なメンテナンスと虫歯予防を継続していくことが大切です。
【矯正治療開始11ヶ月】
11ヶ月経ち歯のガタガタが改善し、歯並びが綺麗になってきています。