[叢生:ガタガタの
歯並びが気になる ]
札幌駅前の矯正歯科
|20代女性・
ワイヤー矯正・3ヵ月経過の途中症例
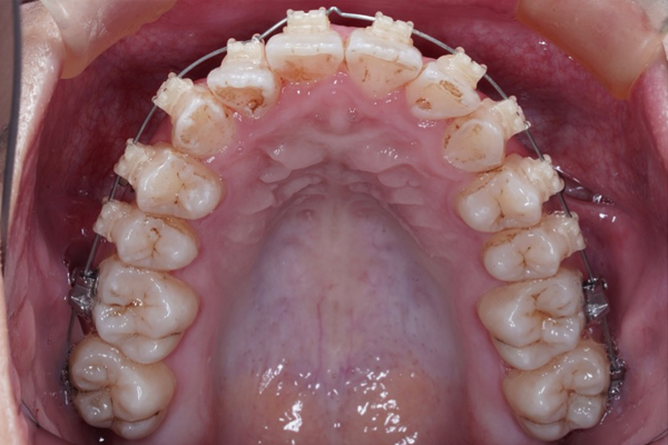
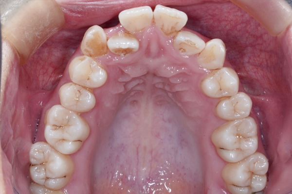
BEFORE
AFTER
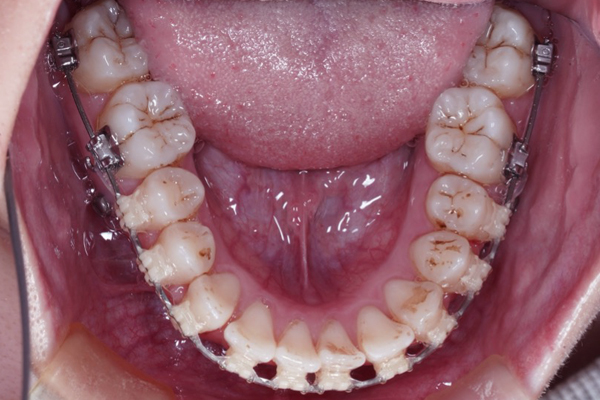
BEFORE
AFTER
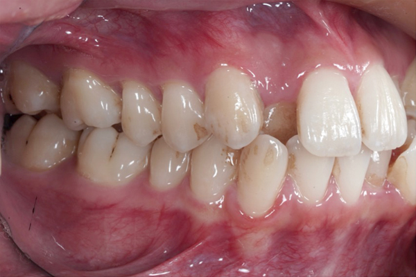
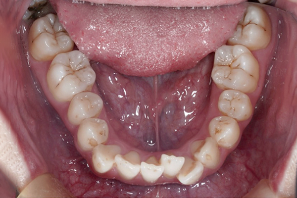
BEFORE
AFTER
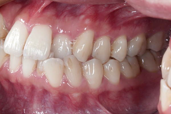
BEFORE
AFTER
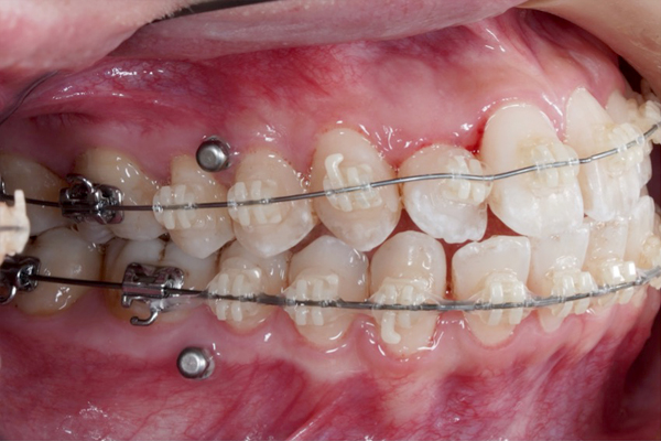
BEFORE
AFTER
| 担当医 | 荒川 英雄 |
|---|---|
| 主訴 | ガタガタの歯並びが気になる |
| 期間 | 1年前後を予定(現在:3ヶ月経過段階) |
| 費用 | 総額:1,067,000円(税込) ⚫︎ワイヤー矯正費用:990,000円 (矯正診断費用:38,500円) (リテーナー:38,500円) (2025年11月現在) |
| 治療内容 | ワイヤー矯正 |
| 治療に伴うリスク | ⚫︎調整後に痛みが出る可能性があります。 ⚫︎ブラケット周囲のブラッシングが難しくなり虫歯のリスクが上がりますので、丁寧にブラッシングしていただく必要があります。 ⚫︎歯の動き方には個人差があります。動き方によっては予定期間よりも長くなる可能性があります。 |























• ずっと叢生(ガタガタ)が気になっていた。
• 患者様は抜歯をしたくない。
• ワイヤー矯正でスペースを作り、非抜歯(抜歯をしないで)並べていく治療方針を計画しました。
【3ヶ月経過の変化】
• 前歯の重なりが減り、アーチが広がってきました。
• 下の歯はほとんど並びました。
• 見た目も変化してきて患者様も喜んでいます。
【治療方針詳細】
• ワイヤー矯正治療
• 非抜歯矯正治療
• インプラントアンカーにより歯を後ろに動かします。
• 治療期間:1年前後を予定しています。
• 現在:3ヶ月経過段階です。
【担当者所見】
現在3ヶ月の段階でも、ガタガタがしっかり改善してきています。
これからは噛み合わせを整えて、より美しい仕上がりにしていきます。