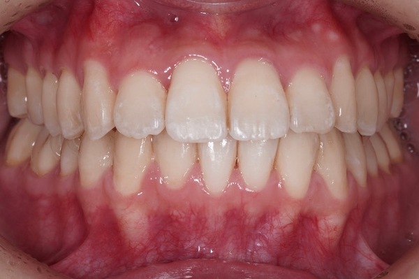
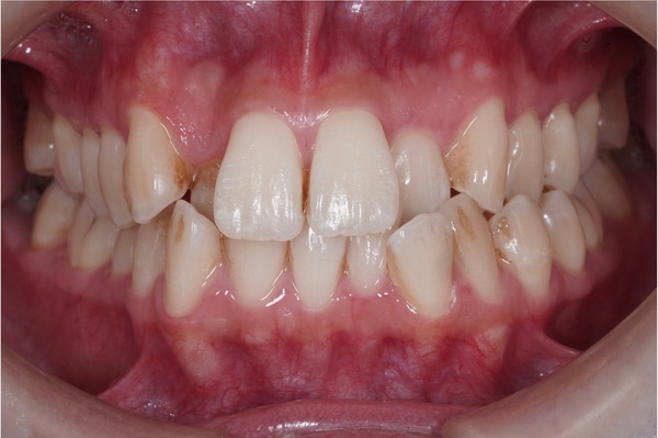
【札幌駅前】叢生:歯並びガタガタ
30代男性のワイヤー矯正の症例
BEFORE
AFTER
BEFORE
AFTER
| 担当医 | 荒川 英雄 |
|---|---|
| 主訴 | 歯並びを治療したい |
| 期間 | 1年6ヶ月 |
| 費用 | 990,000円(税込) |
| 治療内容 | ワイヤー矯正治療 |
| 治療に伴うリスク | 歯根吸収、歯肉退縮する可能性がある。 |






















