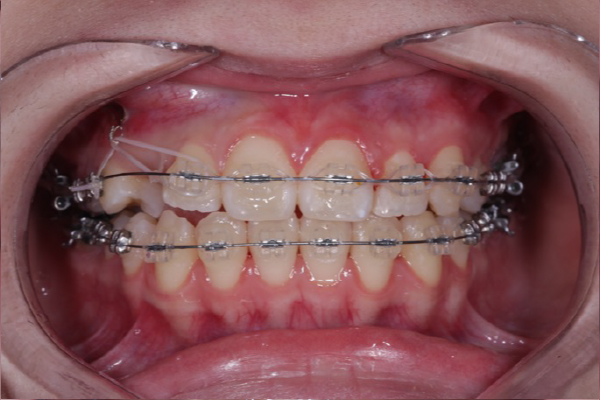
【札幌矯正】
乳犬歯が残存し
生えてこない上顎犬歯
(埋伏歯)を牽引で
改善した
20代女性の矯正症例
|八重歯予防
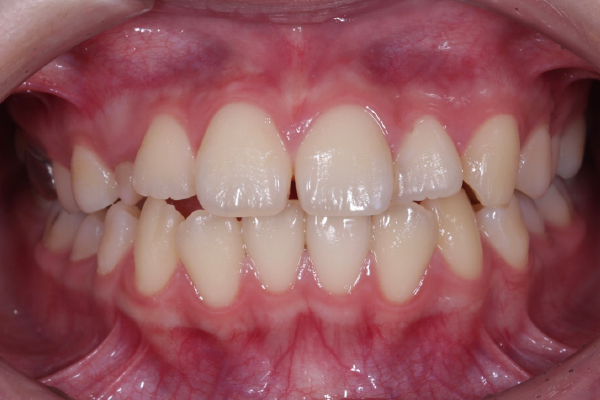
右上の乳犬歯が長期間残っていることを気にされ来院されました。
歯並び自体の大きな乱れはありませんでしたが、永久歯(犬歯)が萌出していない状態を心配され、精密検査を希望されました。
検査の結果、上顎犬歯が顎骨内に埋伏していることを確認しました。
自然萌出は困難と判断し、矯正治療による牽引で歯列内へ誘導する治療を計画しました。
歯並び自体の大きな乱れはありませんでしたが、永久歯(犬歯)が萌出していない状態を心配され、精密検査を希望されました。
検査の結果、上顎犬歯が顎骨内に埋伏していることを確認しました。
自然萌出は困難と判断し、矯正治療による牽引で歯列内へ誘導する治療を計画しました。
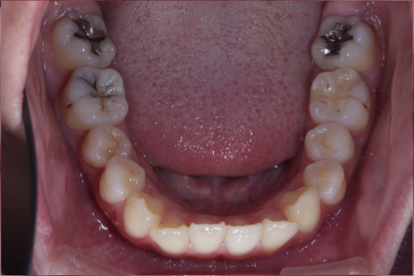
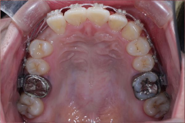
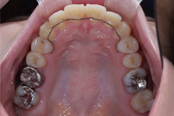
BEFORE
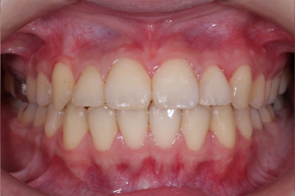
AFTER
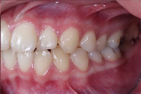
BEFORE
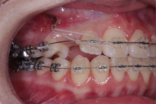
埋まっている犬歯の牽引
AFTER
【治療方針】
残存していた乳犬歯を抜歯後、埋伏している上顎犬歯に対して外科的開窓を行い、矯正装置を用いた牽引を開始しました。
歯列に大きな叢生が認められなかったため、全体的な歯列バランスを維持しながら、スペース管理を行い慎重に犬歯の誘導を進めました。
定期的に歯の移動方向や歯周組織の状態を確認しながら治療を行いました。
※八重歯になる可能性がある埋伏犬歯について
上顎犬歯が正常に萌出しない場合、将来的に八重歯のような歯並びになることがあります。
乳犬歯が長期間残っている場合は、永久犬歯が埋伏している可能性もあるため、早期の診断が重要です。
当院では精密検査により状態を評価し、適切な矯正治療をご提案しています。
【担当医所見】
埋伏犬歯は歯並びに大きな問題がなくても生じることがあり、乳犬歯の長期残存が発見のきっかけとなる場合があります。
本症例では適切なタイミングで診断と介入を行えたことで、矯正的牽引により永久犬歯を歯列内へ誘導することができました。
犬歯は咬合誘導および審美性に重要な役割を担う歯であり、早期の診断が将来的な咬合安定につながります。
今後は保定管理および定期的な経過観察を行っていきます。
※乳犬歯が長期間残っている場合、永久犬歯が埋伏している可能性があります。
残存していた乳犬歯を抜歯後、埋伏している上顎犬歯に対して外科的開窓を行い、矯正装置を用いた牽引を開始しました。
歯列に大きな叢生が認められなかったため、全体的な歯列バランスを維持しながら、スペース管理を行い慎重に犬歯の誘導を進めました。
定期的に歯の移動方向や歯周組織の状態を確認しながら治療を行いました。
※八重歯になる可能性がある埋伏犬歯について
上顎犬歯が正常に萌出しない場合、将来的に八重歯のような歯並びになることがあります。
乳犬歯が長期間残っている場合は、永久犬歯が埋伏している可能性もあるため、早期の診断が重要です。
当院では精密検査により状態を評価し、適切な矯正治療をご提案しています。
【担当医所見】
埋伏犬歯は歯並びに大きな問題がなくても生じることがあり、乳犬歯の長期残存が発見のきっかけとなる場合があります。
本症例では適切なタイミングで診断と介入を行えたことで、矯正的牽引により永久犬歯を歯列内へ誘導することができました。
犬歯は咬合誘導および審美性に重要な役割を担う歯であり、早期の診断が将来的な咬合安定につながります。
今後は保定管理および定期的な経過観察を行っていきます。
※乳犬歯が長期間残っている場合、永久犬歯が埋伏している可能性があります。
| 担当医 | 荒川 英雄 |
|---|---|
| 主訴 | 乳犬歯が残存し生えてこない |
| 期間 | 1年6ヶ月 |
| 費用 | 総額:1,122,000円(税込) ●矯正診断費用:38,500円 ●ワイヤー矯正費用:1,045,000円 ●リテーナー:38,500円 (2026年2月現在) |
| 治療内容 | ワイヤー矯正治療 |
| 治療に伴うリスク | ●最初にワイヤーを入れた時には1週間前後痛みが出ることがあります。また、調整後にも痛みが出ることがあります(通常2〜3日程度)。 ●万が一装置の脱離、破損が起きた場合はできるだけ早く御連絡ください。そのまま放置されますと、治療の進行に影響が出る場合がございます。 ●事前の診断により矯正期間を説明させていただきますが、歯の移動には個人差があり期間が変わってしまう場合もあります。 ●確実な固定源を作るため矯正用スクリューを使用する可能性があります。 ●スペースがない場合は歯を抜歯しなくてはいけない事もあります。抜歯の際は別途費用がかかります。 ●矯正治療中は矯正装置がついているため、虫歯に大変なりやすくなってしまいます。当院でも虫歯予防に最善を尽くしますが、しっかりとした毎日のブラッシングを宜しくお願いします。 ●矯正治療中に虫歯になってしまった場合は、別途治療費がかかります。 ●矯正治療によって、歯根の長さが短くなることがあります。歯根吸収しないように十分注意して矯正治療を行いますが、歯根吸収を防ぐ方法はないということが世界中の科学者の見解です。 |






















