50代からワイヤー矯正を始めた方の実際の変化を「8ヶ月経過」まで追いながら、成人矯正のポイント・不安・注意点・セルフケアのコツを解説。

50代の矯正って
本当に動くの?
年齢が高くなるほど「動くのか心配」「痛みが強いのでは?」という声をよく聞きます。
でも、50代でも矯正で歯は動きます。
このブログでは、実際の症例をもとに「どんな変化が起きたか」「どうセルフケアすれば良いか」をわかりやすく解説します。
患者情報
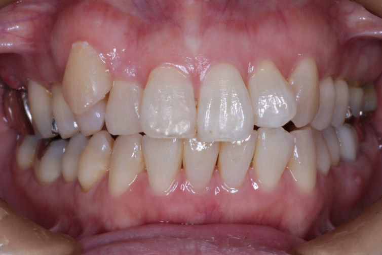
⚫︎年齢:50代
⚫︎性別:女性
⚫︎主訴:八重歯を治療したい。前歯が咬んでないのを治療したい。
⚫︎来院理由:「札幌 矯正」で検索
初診時の悩み
⚫︎八重歯が気になる
⚫︎前歯が咬んでいない
⚫︎見た目とセルフケアの不便さ
これらの悩みは多くの大人の矯正患者さんにも共通しています。
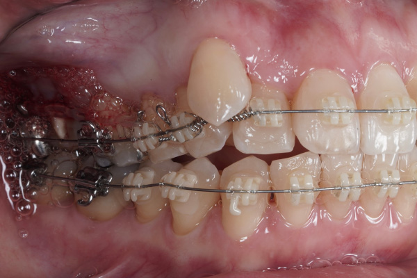
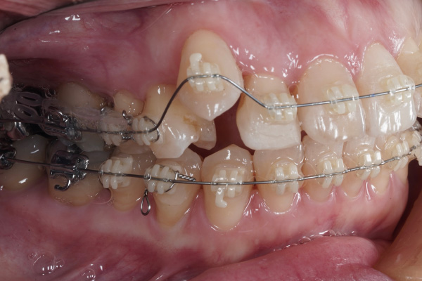
ワイヤー矯正でどこが変わる?
矯正治療では、歯を動かす「力」を計画的にかけることで、
⚫︎八重歯の位置
⚫︎前歯の咬み合わせ
⚫︎歯列全体のバランスが少しずつ改善していきます。
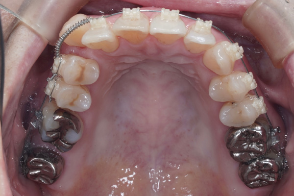
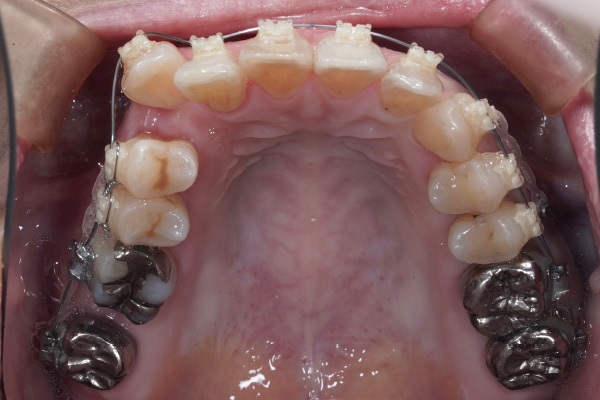
この症例の場合も、4ヶ月→8ヶ月で目に見える変化がありました。
50代ならではのポイント
歯の動きはゆっくりだけど確実
年齢が上でも、骨や歯周組織の状態が良ければ動きは着実です。
セルフケアの継続が治療成功の鍵になります。
不安になりがちな症状
⚫︎調整後の痛み
⚫︎装置への違和感
⚫︎食事のしにくさ
これらは一般的な反応ですが、適切なケアとフォローでほとんどの患者さんが対応できます。
継続が未来の笑顔につながる理由
矯正治療はマラソンのようなものです。
短期の結果だけでなく、長期的な咬合の安定や健康な歯周組織づくりがゴールになります。
院長から50代の方へ
「今さら矯正しても遅いのでは…」
そう感じている方は、とても多くいらっしゃいます。
ですが50代は、
⚫︎ご自身の健康と向き合える
⚫︎治療を前向きに考えられる
⚫︎生活にも気持ちにも余裕が出てくる
実は、矯正治療を始めるにはとても良い時期です。
当院でも、50代・60代から矯正をスタートされる方は年々増えています。
年齢を理由に諦める必要は、まったくありません。
実際、当院でも50代・60代の矯正相談は年々増えています。
歯並びが整うと
⚫︎笑顔に自信が持てる
⚫︎人前で話しやすくなる
⚫︎食事が楽しくなる
⚫︎10年後・20年後の歯の状態が大きく変わる
という変化が生まれます。
もし、
⚫︎歯並びが気になっている
⚫︎八重歯を治したい
⚫︎前歯の咬み合わせが不安
⚫︎他院で「年齢的に難しい」と言われた
という方は、一度ご相談ください。
日付: 2026年1月16日 カテゴリ:ワイヤー矯正, 矯正歯科


