
「歯並びを整えたい」「笑顔に自信を持ちたい」
と考えて矯正治療に興味を持つ方は年々増えています。
しかし、矯正は単に装置をつけるだけでは始まりません。
安全で効果的な治療を行うためには、まず 精密な検査と診断 が欠かせないのです。
今回は、矯正治療をスタートする前に行う検査と精密診断の流れについて、
札幌駅前矯正 荒川デンタルクリニックがわかりやすく解説します。
なぜ矯正治療に精密診断が
必要なのか
矯正治療は「見た目を整える治療」と思われがちですが、実際には 噛み合わせを整えることが重要になります。
精密診断を行うことで…
⚫︎患者さまに適した矯正方法
(ワイヤー矯正/マウスピース矯正)が選べる
⚫︎治療期間や費用を正確に提示できる
⚫︎抜歯の有無や治療のリスクを事前に
把握できる
⚫︎治療後の予測が可能になる
といったメリットがあります。
逆に診断を省略すると「思ったより時間がかかる」「後戻りしてしまった」「顎に負担がかかって痛みが出た」などのトラブルに発展する可能性があります。
矯正治療前に行う主な
検査内容
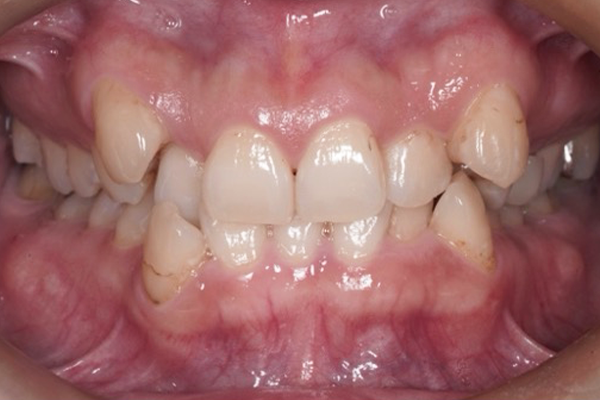
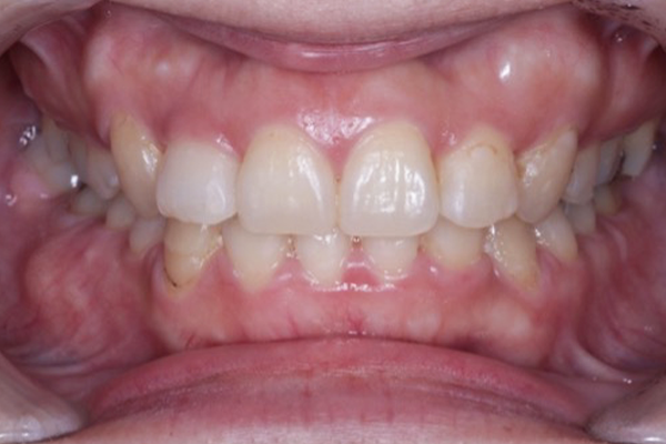
1.口腔内写真・顔貌写真の撮影
お口の中の写真と、正面・横顔の写真を撮影します。
これは単なる記録ではなく、歯並びと顔全体のバランスを分析するために欠かせない資料です。
治療前後の比較にも活用でき、患者さま自身が変化を実感しやすくなるメリットもあります。
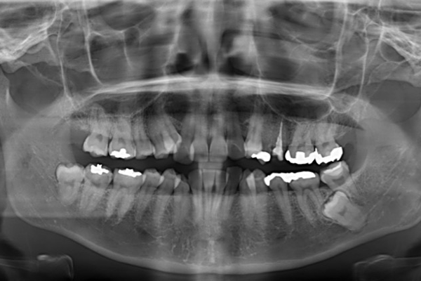
2.レントゲン検査
(パノラマ・セファロ)
矯正診断で特に重要なのがレントゲン検査です。
⚫︎パノラマX線
歯の本数や位置、虫歯や歯周病の有無、親知らずの状態を確認します。
⚫︎セファロX線(頭部X線規格写真)
顎の骨格の大きさやズレ、上下顎の位置関係、成長方向を分析するために必須の検査です。
これらのデータは、矯正治療の「設計図」となる重要な役割を果たします。
3.歯型採取・口腔内スキャン
印象材を用いて歯型を採り、その模型を咬合器に装着することで上下のかみ合わせを再現します。
咬合器を使うことで顎の動きを模擬し、補綴装置(かぶせ物や入れ歯など)の高さや形態を調整することが可能となります。こうしたアナログな工程は手間と時間を要しますが、長年にわたり歯科臨床で用いられてきた信頼性の高い方法です。
4.噛み合わせ・顎関節のチェック
矯正は歯並びを整えるだけでなく、「噛める状態」をつくることが目的です。
そのため、上下の歯の接触状態や顎関節の動きを確認し、偏った力がかかっていないかをチェックします。
不正咬合を放置すると、頭痛・肩こり・顎関節症など全身に悪影響が及ぶこともあるため、診断の段階でしっかり確認しておくことが大切です。
精密診断で分かること
各種検査をもとに、専門の歯科医師がデータを分析します。
これにより…
⚫︎最適な治療法の選択
(ワイヤー/マウスピース)
⚫︎抜歯の有無
⚫︎治療期間のおおよその目安
⚫︎費用の詳細見積もり
上記が明確になります。
患者さまにとっても治療のゴールがイメージしやすくなり、安心してスタートできるのが大きなメリットです。
診断から治療開始までの流れ
矯正治療が始まるまでのステップは以下の通りです。
1.初診相談
現在のお悩みやご希望をヒアリング
2.各種検査の実施
写真・レントゲン・口腔内スキャン・咬合チェックなど
3.データ分析
数日〜2週間ほどで専門歯科医が分析
4.診断結果のご説明
治療方法・期間・費用を詳しくご提案
5.同意・ご契約
十分に納得いただいた上で治療を開始
矯正治療と「歯の寿命」の関係
矯正治療を行う目的は、単に見た目を整えるだけではありません。
歯並びが悪いと清掃性が低下し、虫歯や歯周病のリスクが高まります。
これらは歯を失う主な原因であり、歯並びと生涯にわたり残せる歯の本数には明確な関連性があることが多くの研究で
示されています。
つまり、矯正治療は「見た目の改善」だけでなく「将来の歯を守り、生涯自分の歯で噛めるようにするための投資」でもあるのです。


札幌駅前歯医者で
矯正治療
矯正治療は「装置を外して終わり」ではありません。
リテーナーを正しく使うことで、歯並びを一生涯キープすることができます。
⚫︎可撤式・固定式のどちらも大切な役割
⚫︎使用時間を守ることが美しい歯並びを保つ鍵
⚫︎後戻り防止=歯の健康を守る第一歩
札幌駅前で矯正をお考えの方、また矯正後のリテーナーについて不安のある方は、
ぜひ一度ご相談ください。
矯正歯科ページはこちら
矯正ブログはこちら
矯正治療の症例はこちら
無料相談・お問い合わせ
日付: 2025年9月30日 カテゴリ:矯正歯科


