

「歯並びを整えたいけれど、自分に合った矯正方法がわからない」
「仕事が忙しくても続けられる方法を選びたい」
そんなお悩みをお持ちの方へ。
矯正治療には「ワイヤー矯正」、「マウスピース矯正」の2種類がありますが、実はどちらを選ぶかは生活習慣との相性がとても重要です。
札幌駅前矯正の荒川デンタルクリニックでは、患者さま一人ひとりのライフスタイルに合わせて、見た目・快適さ・精度を両立した矯正プランをご提案しています。
この記事では、それぞれの特徴や、札幌駅前で矯正を検討している方におすすめの選び方を詳しく解説します。
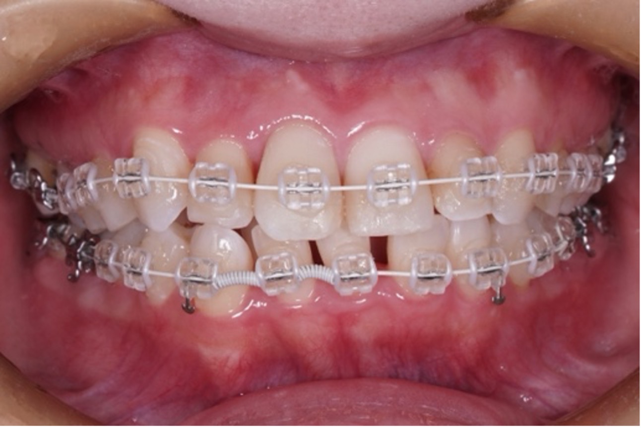
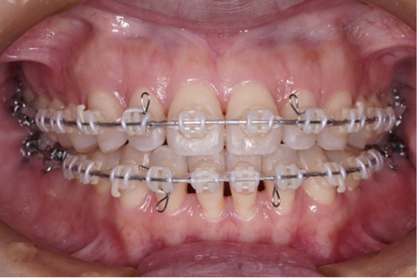
ワイヤー矯正とは?
札幌駅前でも
根強い人気の治療法
歯の表面または裏側にブラケットを装着し、ワイヤーの力で歯を動かす伝統的な方法です。
現在も多くの矯正歯科で採用されており、精密で確実な歯の移動が可能です。

メリット
⚫︎重度の歯並びにも対応可能
⚫︎医師が細かくコントロールできるため高精度
⚫︎自己管理が不要で確実に治療が進む
デメリット
⚫︎装置が目立ちやすい(※当院ではなるべく目立たないようにセラミックブラケットを使用しています)
⚫︎歯磨きがしにくく虫歯リスクがやや上昇
こんな方におすすめ
⚫︎忙しくて装置の管理に時間をかけられない
⚫︎確実に結果を出したい
⚫︎歯の重なりやズレが大きい
札幌駅前で人気の
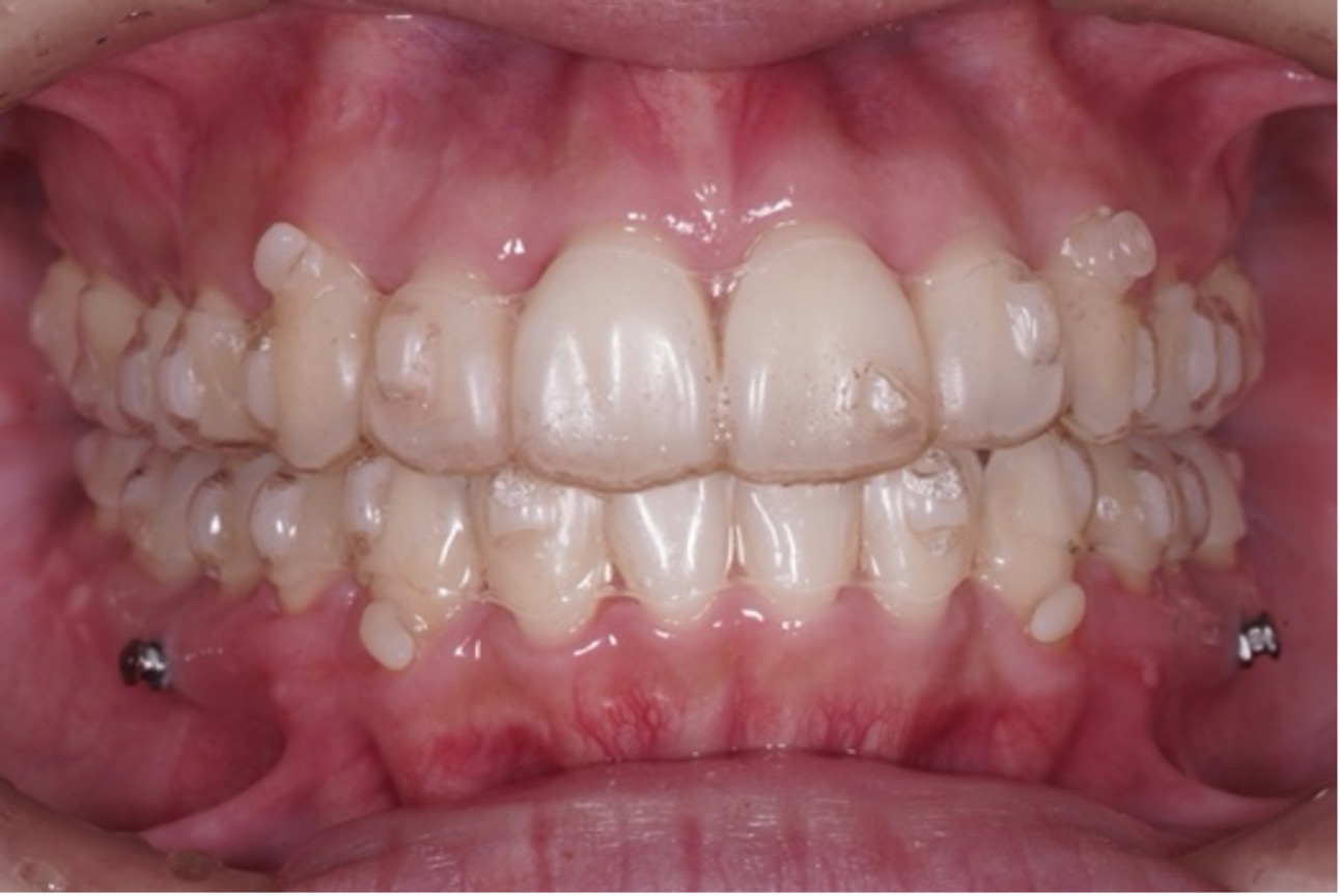
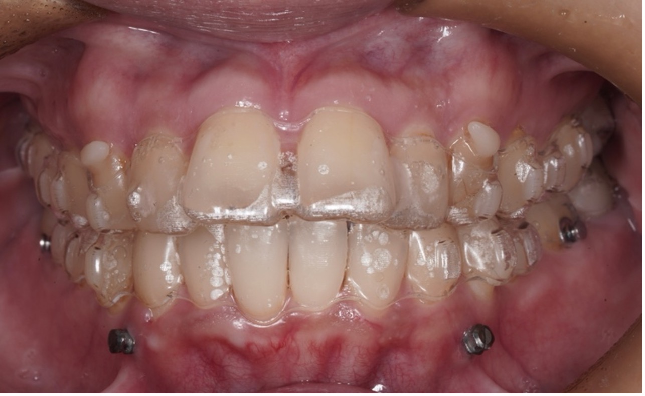
マウスピース矯正とは?
マウスピース矯正(インビザラインなど)は、透明なマウスピース型の装置を装着し、少しずつ歯を動かしていく矯正方法です。
「目立たず自然に矯正したい」という札幌駅前エリアの社会人・女性を中心に人気があります。

メリット
⚫︎透明で目立ちにくい:
接客・営業など人前に立つ仕事でも安心
⚫︎取り外しできて衛生的:
食事・歯磨きが普段どおり可能
⚫︎痛みが少ない
デメリット
⚫︎装着時間(1日20時間以上)を守る必要がある
⚫︎自己管理が必要(つけ忘れ・紛失に注意)
⚫︎複雑な歯並びや骨格性の症例には
不向きな場合も
こんな方におすすめ
⚫︎仕事で人と接する機会が多い
⚫︎自宅で装置を丁寧に管理できる
⚫︎矯正中も見た目を重視したい
生活習慣に合わせて
選ぶことが矯正成功のカギ

矯正は1〜2年以上かけて行う長期治療です。
「どんな装置を使うか」以上に重要なのが、自分の生活に無理なく取り入れられるかどうかが重要です。
※横にスクロールできます
| ライフスタイル | 向いている矯正方法 |
|---|---|
| 接客・営業・講師など人前に立つ仕事 | マウスピース矯正 |
| 忙しく自己管理が苦手 | ワイヤー矯正 |
| 食事制限を避けたい | どちらの治療でも制限はありません |
| 精密な歯の動きが必要 | ワイヤー矯正 |
| 綺麗に仕上げたい | ハイブリッド矯正(併用) |
ハイブリッド矯正:札幌駅前で
増えている新しい選択肢
近年は、「ワイヤーで歯の土台を整え、マウスピースで最終調整を行う」ハイブリッド矯正が人気を集めています。
⚫︎見た目・精度・期間のバランスが良い
⚫︎症例に合わせて柔軟に対応可能
⚫︎治療期間の短縮が期待できる

荒川デンタルクリニックの
精密診断とオーダーメイド矯正
荒川デンタルクリニック(札幌駅前)では、治療を始める前に必ず精密な検査を行い、
「見た目」「噛み合わせ」「生活習慣」の3つのバランスを考えた矯正プランを設計します。
当院の主な検査項目
⚫︎セファロ分析(頭部X線):
骨格のバランスを数値で分析
⚫︎顔貌・口腔写真:笑顔や口元の調和を確認
⚫︎噛み合わせ・顎関節チェック
診断結果をもとに、ワイヤー矯正・マウスピース矯正・ハイブリッド矯正の中から、最適な治療法をご提案します。
札幌駅前で矯正を始めるなら、
通いやすさも大切
矯正治療は定期的な通院が必要です。
札幌駅前の荒川デンタルクリニックは、札幌駅徒歩圏(ホテルモントレーエーデルホフ札幌2F)にあり、お仕事帰りや学校帰りにも立ち寄りやすい立地です。
完全個室・プライベート空間で、リラックスしながら矯正治療を受けていただけます。

札幌駅前で自分に合った
矯正を選ぶなら


矯正治療は「装置の種類」ではなく、生活スタイルと続けやすさが成功のカギです。
⚫︎目立たず自然に矯正したい
→ マウスピース矯正
⚫︎確実に結果を出したい → ワイヤー矯正
⚫︎見た目と精度のバランスを取りたい
→ ハイブリッド矯正
さらに、歯並びは見た目だけでなく、生涯にわたり残せる歯の本数にも深く関係しています。
自分の歯を長く健康に保つためにも、正確な診断と継続できる治療法を選ぶことが大切です。
札幌駅前歯医者で
矯正治療
矯正治療は「装置を外して終わり」ではありません。
リテーナーを正しく使うことで、歯並びを一生涯キープすることができます。
⚫︎可撤式・固定式のどちらも大切な役割
⚫︎使用時間を守ることが美しい歯並びを保つ鍵
⚫︎後戻り防止=歯の健康を守る第一歩
札幌駅前で矯正をお考えの方、また矯正後のリテーナーについて不安のある方は、
ぜひ一度ご相談ください。
矯正歯科ページはこちら
矯正ブログはこちら
矯正治療の症例はこちら
無料相談・お問い合わせ
日付: 2025年10月10日 カテゴリ:矯正歯科


