歯槽堤温存術(リッジプリザベーション)後の経過症例
治療前(Before)

レントゲン写真

⚫︎根の先端に大きな病変があります。
⚫︎治療を行って治癒する見込みが低い状態です。
⚫︎前後の歯は削りたくないので、今後インプラント治療を行なっていきます。
歯槽堤温存術
(リッジプリザベーション)とは?
歯を抜歯すると必ず歯を支えていた骨が吸収し、減ってしまいます。
この先インプラント治療を行うためには、より多くの骨が残っている方が有利になります。
抜歯後の骨の吸収を少なくするための治療方法です。歯槽堤温存術後5ヶ月〜6ヶ月後にインプラント治療を行っていきます。
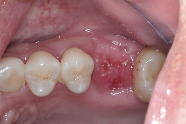
歯槽堤温存術(リッジプリザベーション)
後4週間

術後4週間のレントゲン写真

歯を抜歯し、骨補填剤をいれ、骨補填剤が出てこないようにメンブレンで閉じました。
大きな感染もなく歯肉の状態も良好です。
これから、5ヶ月前後治癒期間を待ちその後インプラント治療を行なっていきます。
ポイント
⚫︎抜歯をすると必ず骨が減ってしまいます。
⚫︎抜歯後の治療がインプラント治療になる場合、骨が減らないように処置を行うことがインプラント治療においては有利になります。
⚫︎歯槽堤温存術(リッジプリザベーション)を行うことにより、大きな骨造成を回避できる可能性があります。
※骨の量が少ない場合は追加の骨造成が必要な場合もあります。
【担当歯科医師からのコメント】
治癒経過は順調です。
今後は5ヶ月間待ち、その後インプラント治療を行なっていきます。
| 担当医 | 荒川 英雄 |
|---|---|
| 主訴 | 咬んだら違和感がある |
| 費用 | 総額:702,900円(税込) ⚫︎ インプラント診断費用:38,500円 ⚫︎ 滅菌・消毒料:7,700円×2 ⚫︎ インプラントガイド:55,000円 ⚫︎ 歯槽堤温存術(リッジプリザベーション):132,000円 ⚫︎ インプラント治療(奥歯):462,000円 (2025年11月現在) |
| 治療内容 | ⚫︎ CT検査 ⚫︎ 歯槽堤温存術(リッジプリザベーション) 現在:術後4週間経過(途中症例) これから5ヶ月間待ち、インプラント治療を行なっていきます。 |
| リスク・ 注意点 |
⚫︎ 手術後に腫れや痛みが出る可能性があります。 ⚫︎ 骨量により治療期間が変わります。 |
札幌駅前歯医者で
インプラント治療
インプラント治療には多くのメリットがあります。
「いつか始めたい」と思っている方は、まずはインプラント無料相談から一歩を踏み出してみませんか?
インプラント治療についてはこちら
インプラント治療のブログはこちら
インプラント治療の症例はこちら
無料相談・お問い合わせ
日付: 2025年11月25日 カテゴリ:インプラント治療


