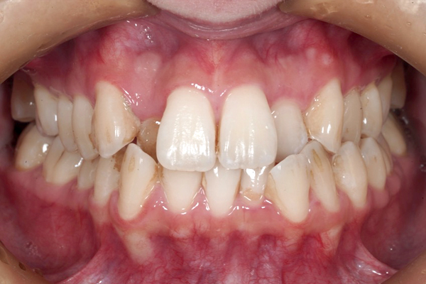
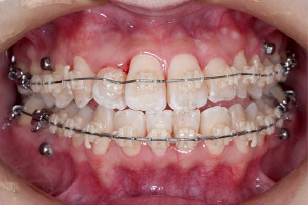
【札幌駅前】しっかり咬めない
50代女性のワイヤー矯正の症例

BEFORE

AFTER

【治療方針詳細】
しっかり咬めないということが主訴で来院されました。左側の歯だけが咬んでおり他の歯は咬んでいない状態でした。下顎が左側に変位しており、ワイヤー矯正にて治療を行うことになりました。

【担当者所見】
矯正治療は将来的に歯を残すために必要不可欠です。8ヶ月間にわたる矯正治療は決して楽な事では無かったと思います。今後は、後戻りの定期的な確認、虫歯予防をおこなっていきましょう。
担当医 荒川 英雄
主訴 しっかり咬めない
期間 8ヶ月
費用 総額:990,000円(税込)
●ワイヤー矯正費用:990,000円
(リテーナー:38,500円)
(矯正診断費用:38,500円)
(2024年4月現在)
治療内容 ●ワイヤー矯正
治療に伴うリスク ●最初にワイヤーを入れた時には1週間前後痛みが出ることがあります。また、調整後にも痛みが出ることがあります(通常2〜3日程度)。
●万が一装置の脱離、破損が起きた場合はできるだけ早く御連絡ください。そのまま放置されますと、治療の進行に影響が出る場合がございます。
●事前の診断により矯正期間を説明させていただきますが、歯の移動には個人差があり期間が変わってしまう場合もあります。
●確実な固定源を作るため矯正用スクリューを使用する可能性があります。
●スペースがない場合は歯を抜歯しなくてはいけない事もあります。抜歯の際は別途費用がかかります。
●矯正治療中は矯正装置がついているため、虫歯に大変なりやすくなってしまいます。当院でも虫歯予防に最善を尽くしますが、しっかりとした毎日のブラッシングを宜しくお願いします。
●矯正治療中に虫歯になってしまった場合は、別途治療費がかかります。
●矯正治療によって、歯根の長さが短くなることがあります。歯根吸収しないように十分注意して矯正治療を行いますが、歯根吸収を防ぐ方法はないということが世界中の科学者の見解です。

●歯を大きく動かさなくてはならない場合、歯と歯の間に隙間が出ることがあります。
●1%以下(データ報告では0.5〜0.8%程度)の確率で歯の神経が死んでしまう可能性があります。その場合、根管治療が必要になります。
●矯正終了後は後戻りを防止するために歯の裏側から固定し、上下マウスピースを使用していただきます。何もしないと約3割の患者さんが後戻りするというデータがあります。
●治療を中断した場合、その後のトラブルには責任を負いかねる場合がございます。また、治療中断による治療費の返金はできませんのでご理解のほどよろしくお願い致します。
●矯正装置を外す際に、エナメル質が欠けたり、ヒビが入ることがあります。

矯正治療についてはこちら
矯正治療のブログはこちら
無料相談はこちら

関連症例

矯正歯科

【札幌駅前】開咬:前歯が咬んでない
50代女性のワイヤー矯正の症例

担当医
荒川 英雄
主訴
前歯で咬めない
期間
1年5ヶ月
費用
総額:990,000円(税込)
●(矯正診断費用:38,500円)
●ワイヤー矯正費用:990,000円
●(リテーナー:38,500円)
(2024年4月現在)
治療内容
ワイヤー矯正治療
治療に伴うリスク
●最初にワイヤーを入れた時には1週間前後痛みが出ることがあります。
また、調整後にも痛みが出ることがあります(通常2〜3日程度)
●万が一装置の脱離、破損が起きた場合はできるだけ早く御連絡ください。
そのまま放置されますと、治療の進行に影響が出る場合がございます。
●事前の診断により矯正期間を説明させていただきますが、
歯の移動には個人差があり期間が変わってしまう場合もあります。
●確実な固定源を作るため矯正用スクリューを使用する可能性があります。
●スペースがない場合は歯を抜歯しなくてはいけない事もあります。
抜歯の際は別途費用がかかります。
●矯正治療中は矯正装置がついているため、虫歯に大変なりやすくなってしまいます。
当院でも虫歯予防に最善を尽くしますが、しっかりとした毎日のブラッシングを宜しくお願いします。
●矯正治療中に虫歯になってしまった場合は、別途治療費がかかります。
●矯正治療によって、歯根の長さが短くなることがあります。
歯根吸収しないように十分注意して矯正治療を行いますが、
歯根吸収を防ぐ方法はないということが世界中の科学者の見解です。
●歯を大きく動かさなくてはならない場合、歯と歯の間に隙間が出ることがあります。
●1%以下(データ報告では0.5〜0.8%程度)の確率で歯の神経が死んでしまう可能性があります。
その場合、根管治療が必要になります。
●矯正終了後は後戻りを防止するために歯の裏側から固定し、上下マウスピースを使用していただきます。
何もしないと約3割の患者さんが後戻りするというデータがあります。
●治療を中断した場合、その後のトラブルには責任を負いかねる場合がございます。
また、治療中断による治療費の返金はできませんのでご理解のほどよろしくお願い致します。
●矯正装置を外す際に、エナメル質が欠けたり、ヒビが入ることがあります。
  • 2025-07-25
矯正歯科

【札幌駅前】叢生:歯並びガタガタ
10代女性のワイヤー矯正の症例

担当医
荒川 英雄
主訴
歯並びを治したい
期間
3年
費用
総額:990,000円(税込)
●ワイヤー矯正費用:990,000円
(矯正診断費用:38,500円)
(リテーナー:38,500円)
(2024年4月現在)
治療内容
●ワイヤー矯正
治療に伴うリスク
●最初にワイヤーを入れた時には1週間前後痛みが出ることがあります。また、調整後にも痛みが出ることがあります(通常2〜3日程度)。
●万が一装置の脱離、破損が起きた場合はできるだけ早く御連絡ください。そのまま放置されますと、治療の進行に影響が出る場合がございます。
●事前の診断により矯正期間を説明させていただきますが、歯の移動には個人差があり期間が変わってしまう場合もあります。
●確実な固定源を作るため矯正用スクリューを使用する可能性があります。
●スペースがない場合は歯を抜歯しなくてはいけない事もあります。抜歯の際は別途費用がかかります。
●矯正治療中は矯正装置がついているため、虫歯に大変なりやすくなってしまいます。当院でも虫歯予防に最善を尽くしますが、しっかりとした毎日のブラッシングを宜しくお願いします。
●矯正治療中に虫歯になってしまった場合は、別途治療費がかかります。
●矯正治療によって、歯根の長さが短くなることがあります。歯根吸収しないように十分注意して矯正治療を行いますが、歯根吸収を防ぐ方法はないということが世界中の科学者の見解です。
●歯を大きく動かさなくてはならない場合、歯と歯の間に隙間が出ることがあります。
●1%以下(データ報告では0.5〜0.8%程度)の確率で歯の神経が死んでしまう可能性があります。その場合、根管治療が必要になります。
●矯正終了後は後戻りを防止するために歯の裏側から固定し、上下マウスピースを使用していただきます。何もしないと約3割の患者さんが後戻りするというデータがあります。
●治療を中断した場合、その後のトラブルには責任を負いかねる場合がございます。また、治療中断による治療費の返金はできませんのでご理解のほどよろしくお願い致します。
●矯正装置を外す際に、エナメル質が欠けたり、ヒビが入ることがあります。
  • 2025-08-28
矯正歯科

【札幌駅前】
八重歯を治療したい・
前歯が咬んでないのを
治療したい
50代女性の
ワイヤー矯正・
8ヵ月経過の途中症例

担当医
荒川 英雄
主訴
八重歯を治療したい。前歯が咬んでないのを治療したい。
期間
現在:9ヶ月経過段階
費用
総額:1,067,000円(税込)
(矯正診断費用:38,500円)
(ワイヤー矯正費用:990,000円)
(リテーナー:38,500円)
※2026年1月現在
治療内容
ワイヤー矯正
治療に伴うリスク
⚫︎痛み・違和感:装置の装着や調整後は、数日間歯が浮くような痛みや違和感が出ることがあります。
⚫︎口腔内の傷:ブラケット(矯正装置)が粘膜に当たり、口内炎ができる場合があります。
⚫︎歯根吸収:歯を動かす過程で、ごく稀に歯の根が短くなる(歯根吸収)ことがあります。
⚫︎歯肉退縮:歯並びが整う過程で、歯茎が下がって隙間(ブラックトライアングル)が見えるようになる場合があります。
⚫︎後戻り:治療終了後、保定装置(リテーナー)を適切に使用しないと、歯が元の位置に戻ろうとすることがあります。
⚫︎虫歯・歯周病:装置の周りは汚れが溜まりやすいため、徹底したセルフケアとプロによるクリーニングが不可欠です。
  • 2026-01-16
矯正歯科

【札幌駅前】開咬:前歯が咬んでない
20代女性のワイヤー矯正の症例

担当医
荒川 英雄
主訴
前歯が空いているのを治したい
期間
1年6ヶ月
費用
総額:990,000円(税込)
●(矯正診断費用:38,500円)
●ワイヤー矯正費用:990,000円
●(リテーナー:38,500円)
(2024年4月現在)
治療内容
ワイヤー矯正治療
治療に伴うリスク
●最初にワイヤーを入れた時には1週間前後痛みが出ることがあります。
また、調整後にも痛みが出ることがあります(通常2〜3日程度)。
●万が一装置の脱離、破損が起きた場合はできるだけ早く御連絡ください。
そのまま放置されますと、治療の進行に影響が出る場合がございます。
●事前の診断により矯正期間を説明させていただきますが、
歯の移動には個人差があり期間が変わってしまう場合もあります。
●確実な固定源を作るため矯正用スクリューを使用する可能性があります。
●スペースがない場合は歯を抜歯しなくてはいけない事もあります。
抜歯の際は別途費用がかかります。
●矯正治療中は矯正装置がついているため、虫歯に大変なりやすくなってしまいます。
当院でも虫歯予防に最善を尽くしますが、しっかりとした毎日のブラッシングを宜しくお願いします。
●矯正治療中に虫歯になってしまった場合は、別途治療費がかかります。
●矯正治療によって、歯根の長さが短くなることがあります。
歯根吸収しないように十分注意して矯正治療を行いますが、
歯根吸収を防ぐ方法はないということが世界中の科学者の見解です。
●歯を大きく動かさなくてはならない場合、歯と歯の間に隙間が出ることがあります。
●1%以下(データ報告では0.5〜0.8%程度)の確率で歯の神経が死んでしまう可能性があります。
その場合、根管治療が必要になります。
●矯正終了後は後戻りを防止するために歯の裏側から固定し、上下マウスピースを使用していただきます。
何もしないと約3割の患者さんが後戻りするというデータがあります。
●治療を中断した場合、その後のトラブルには責任を負いかねる場合がございます。
また、治療中断による治療費の返金はできませんのでご理解のほどよろしくお願い致します。
●矯正装置を外す際に、エナメル質が欠けたり、ヒビが入ることがあります。
  • 2025-07-25
矯正歯科

【札幌駅前】叢生:歯並びガタガタ
20代男性のワイヤー矯正の症例

担当医
荒川 英雄
主訴
前歯の歯並びを治したい
期間
1年
費用
総額:990,000円(税込)
●(矯正診断費用:38,500円)
●ワイヤー矯正費用:990,000円
●(リテーナー:38,500円)
(2024年4月現在)
治療内容
ワイヤー矯正治療
治療に伴うリスク
●最初にワイヤーを入れた時には1週間前後痛みが出ることがあります。
また、調整後にも痛みが出ることがあります(通常2〜3日程度)
●万が一装置の脱離、破損が起きた場合はできるだけ早く御連絡ください。
そのまま放置されますと、治療の進行に影響が出る場合がございます。
●事前の診断により矯正期間を説明させていただきますが、
歯の移動には個人差があり期間が変わってしまう場合もあります。
●確実な固定源を作るため矯正用スクリューを使用する可能性があります。
●スペースがない場合は歯を抜歯しなくてはいけない事もあります。
抜歯の際は別途費用がかかります。
●矯正治療中は矯正装置がついているため、虫歯に大変なりやすくなってしまいます。
当院でも虫歯予防に最善を尽くしますが、しっかりとした毎日のブラッシングを宜しくお願いします。
●矯正治療中に虫歯になってしまった場合は、別途治療費がかかります。
●矯正治療によって、歯根の長さが短くなることがあります。
歯根吸収しないように十分注意して矯正治療を行いますが、
歯根吸収を防ぐ方法はないということが世界中の科学者の見解です。
●歯を大きく動かさなくてはならない場合、歯と歯の間に隙間が出ることがあります。
●1%以下(データ報告では0.5〜0.8%程度)の確率で歯の神経が死んでしまう可能性があります。
その場合、根管治療が必要になります。
●矯正終了後は後戻りを防止するために歯の裏側から固定し、上下マウスピースを使用していただきます。
何もしないと約3割の患者さんが後戻りするというデータがあります。
●治療を中断した場合、その後のトラブルには責任を負いかねる場合がございます。
また、治療中断による治療費の返金はできませんのでご理解のほどよろしくお願い致します。
●矯正装置を外す際に、エナメル質が欠けたり、ヒビが入ることがあります。
  • 2025-07-25
矯正歯科

【札幌駅前】叢生:歯並びガタガタ
50代女性のワイヤー矯正の症例

担当医
荒川 英雄
主訴
かみ合わせを治したい
期間
1年1ヶ月
費用
総額:990,000円(税込)
●(矯正診断費用:38,500円)
●ワイヤー矯正費用:990,000円
●(リテーナー:38,500円)
(2024年4月現在)
治療内容
ワイヤー矯正治療
治療に伴うリスク
●最初にワイヤーを入れた時には1週間前後痛みが出ることがあります。
また、調整後にも痛みが出ることがあります(通常2〜3日程度)。
●万が一装置の脱離、破損が起きた場合はできるだけ早く御連絡ください。
そのまま放置されますと、治療の進行に影響が出る場合がございます。
●事前の診断により矯正期間を説明させていただきますが、
歯の移動には個人差があり期間が変わってしまう場合もあります。
●確実な固定源を作るため矯正用スクリューを使用する可能性があります。
●スペースがない場合は歯を抜歯しなくてはいけない事もあります。
抜歯の際は別途費用がかかります。
●矯正治療中は矯正装置がついているため、虫歯に大変なりやすくなってしまいます。
当院でも虫歯予防に最善を尽くしますが、しっかりとした毎日のブラッシングを宜しくお願いします。
●矯正治療中に虫歯になってしまった場合は、別途治療費がかかります。
●矯正治療によって、歯根の長さが短くなることがあります。
歯根吸収しないように十分注意して矯正治療を行いますが、
歯根吸収を防ぐ方法はないということが世界中の科学者の見解です。
●歯を大きく動かさなくてはならない場合、歯と歯の間に隙間が出ることがあります。
●1%以下(データ報告では0.5〜0.8%程度)の確率で歯の神経が死んでしまう可能性があります。
その場合、根管治療が必要になります。
●矯正終了後は後戻りを防止するために歯の裏側から固定し、上下マウスピースを使用していただきます。
何もしないと約3割の患者さんが後戻りするというデータがあります。
●治療を中断した場合、その後のトラブルには責任を負いかねる場合がございます。
また、治療中断による治療費の返金はできませんのでご理解のほどよろしくお願い致します。
●矯正装置を外す際に、エナメル質が欠けたり、ヒビが入ることがあります。
  • 2025-07-25
矯正歯科

【札幌駅前】開咬:前歯が咬んでない
50代女性のワイヤー矯正の症例

担当医
荒川 英雄
主訴
歯並びを治したい
期間
1年6ヶ月
費用
総額:990,000円(税込)
●(矯正診断費用:38,500円)
●ワイヤー矯正費用:990,000円
●(リテーナー:38,500円)
(2024年4月現在)
治療内容
ワイヤー矯正治療
治療に伴うリスク
●最初にワイヤーを入れた時には1週間前後痛みが出ることがあります。
また、調整後にも痛みが出ることがあります(通常2〜3日程度)。
●万が一装置の脱離、破損が起きた場合はできるだけ早く御連絡ください。
そのまま放置されますと、治療の進行に影響が出る場合がございます。
●事前の診断により矯正期間を説明させていただきますが、
歯の移動には個人差があり期間が変わってしまう場合もあります。
●確実な固定源を作るため矯正用スクリューを使用する可能性があります。
●スペースがない場合は歯を抜歯しなくてはいけない事もあります。
抜歯の際は別途費用がかかります。
●矯正治療中は矯正装置がついているため、虫歯に大変なりやすくなってしまいます。
当院でも虫歯予防に最善を尽くしますが、しっかりとした毎日のブラッシングを宜しくお願いします。
●矯正治療中に虫歯になってしまった場合は、別途治療費がかかります。
●矯正治療によって、歯根の長さが短くなることがあります。
歯根吸収しないように十分注意して矯正治療を行いますが、
歯根吸収を防ぐ方法はないということが世界中の科学者の見解です。
●歯を大きく動かさなくてはならない場合、歯と歯の間に隙間が出ることがあります。
●1%以下(データ報告では0.5〜0.8%程度)の確率で歯の神経が死んでしまう可能性があります。
その場合、根管治療が必要になります。
●矯正終了後は後戻りを防止するために歯の裏側から固定し、上下マウスピースを使用していただきます。
何もしないと約3割の患者さんが後戻りするというデータがあります。
●治療を中断した場合、その後のトラブルには責任を負いかねる場合がございます。
また、治療中断による治療費の返金はできませんのでご理解のほどよろしくお願い致します。
●矯正装置を外す際に、エナメル質が欠けたり、ヒビが入ることがあります。
  • 2025-07-25
診療時間
09:30 - 13:30
14:30 - 18:30
ACCESS
〒060-0002 札幌市中央区北2条西1丁目1 マルイト札幌ビル2F JR札幌駅 徒歩7分
東豊線地下鉄 さっぽろ駅から徒歩2分