
「歯並びがガタガタで恥ずかしい」「八重歯が気になって笑えない」——そんなお悩みを抱えながら、矯正治療に踏み出せずにいる方は多くいます。
費用はどのくらいかかるのか、どのくらいの期間が必要なのか、抜歯は必要なのか。不安なことが多いからこそ、なかなか相談に行けないという方も少なくありません。
この記事では、札幌で矯正治療をご検討中の方に向けて、ガタガタ・八重歯の原因から、ワイヤー矯正・マウスピース矯正(インビザライン)の違い、費用・期間の目安、札幌矯正 荒川デンタルクリニックでの治療の流れまで、詳しくお伝えします。
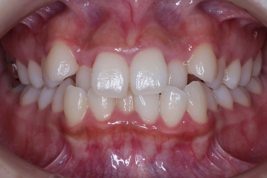
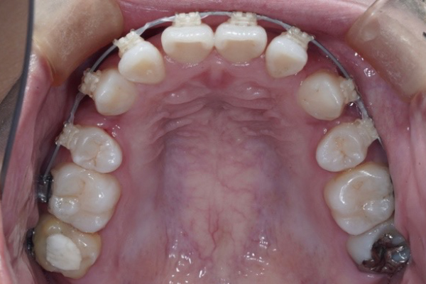
実際の症例はこちら
【札幌駅前矯正】
叢生:歯並びガタガタ
抜歯を避けた10代女性の
ワイヤー矯正の症例
無料矯正相談はこちら
目次 (※各章へジャンプします)
- ガタガタ・八重歯はなぜ起きる?
原因を知ることが治療への第一歩 - 放置するとどうなる?
歯並びが悪いことのリスク - 矯正治療の種類|
ワイヤー矯正 vs マウスピース矯正 - 抜歯は必要?ケース別の判断基準
- 費用と期間の目安
- 荒川デンタルクリニックの矯正治療の流れ
- よくあるご質問
- まとめ|まずは無料相談からお気軽に
ガタガタ・八重歯は
なぜ起きる?
原因を知ることが
治療への第一歩
歯並びがガタガタになる状態を、歯科では「叢生(そうせい)」と呼びます。
八重歯も叢生の一種で、犬歯(糸切り歯)が歯列から飛び出した状態のことです。
主な原因
①顎が小さく、歯が並びきらない
現代人は食事の軟食化により顎が小さくなりやすい傾向があります。一方で歯の大きさはそれほど変わらないため、スペース不足でガタガタになりやすいのです。
②乳歯の早期脱落・虫歯による影響
乳歯が早期に抜けると、隣の歯がそのスペースに移動し、永久歯が生えるスペースが失われます。
幼少期の虫歯による歯列の乱れは、大人になってから矯正が必要になるケースの原因としてよく見られます。
③遺伝的な要因
顎の大きさや歯の大きさには遺伝的な影響があります。親御さんに八重歯や叢生がある場合、お子さんに同様の歯並びが見られることがあります。
④口呼吸・舌の癖
口呼吸が習慣化していると、舌が下に下がり、上顎が発達しにくくなります。また、舌で前歯を押す癖があると、歯が前方に押し出されてガタガタになることがあります。
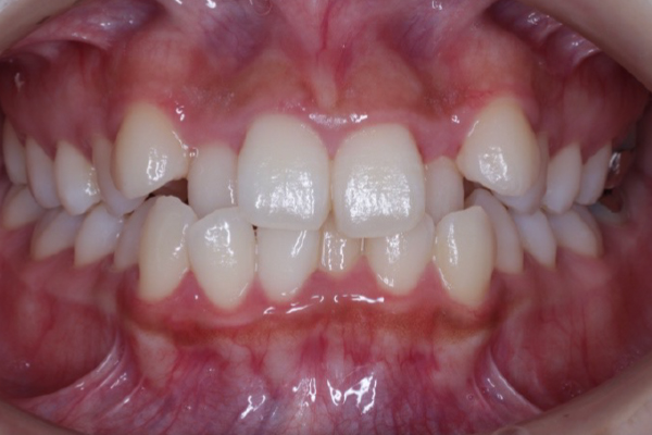
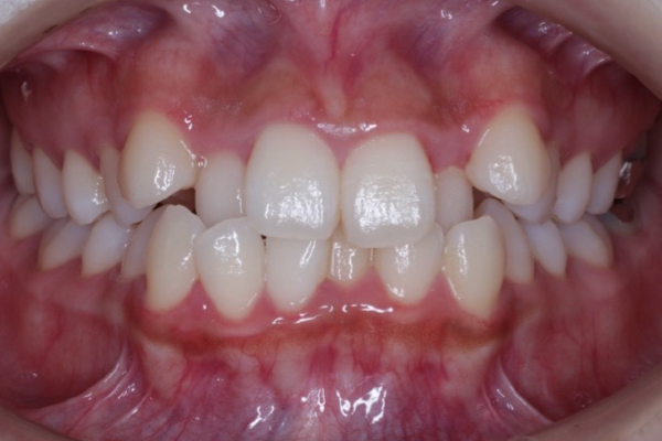
初診時

6ヶ月目

放置するとどうなる?
歯並びが悪いことのリスク
「見た目の問題だから、急がなくていい」と思われがちですが、歯並びの乱れは見た目以外にもさまざまなリスクをもたらします。
虫歯・歯周病になりやすくなる
歯がガタガタだと、歯ブラシが届きにくい部分が増えます。磨き残しが多くなることで、虫歯や歯周病のリスクが高まります。実際に、叢生の患者さんは歯周病の進行が早いというデータもあります。
顎関節への負担
噛み合わせが乱れていると、顎の関節(顎関節)に偏った力がかかります。頭痛・肩こり・顎の痛みの原因になることもあり、放置するほど症状が慢性化しやすくなります。
消化器への影響
しっかり噛めないと食べものが十分に咀嚼されないまま胃に送られ、消化不良の原因になることがあります。
発音への影響
歯並びが乱れていると、サ行・タ行など特定の音が発音しにくくなることがあります。仕事でのプレゼンや接客など、会話が多い方にとっては大きなストレスになることがあります。
矯正治療の種類|
ワイヤー矯正 vs
マウスピース矯正
矯正治療には大きく分けて「ワイヤー矯正」と「マウスピース矯正(インビザライン、エンジェルアライナーなど)」の2種類があります。どちらが適しているかは、歯並びの状態・ライフスタイル・ご希望によって異なります。
ワイヤー矯正
ブラケットと呼ばれる小さな装置を歯に装着し、ワイヤーで歯を動かす、最も歴史のある矯正方法です。
メリット
●ガタガタが強いケースや抜歯を伴う
難症例にも対応できる
●装置が固定式なので、
患者さんの協力度に関わらず治療が進む
●幅広い症例に対応可能
デメリット
●装置が目立ちやすい
(白いセラミックブラケットで
目立ちにくくすることも可能)
●食事や歯磨きに制限がある
マウスピース矯正
(インビザライン、
エンジェルアライナーなど)
透明なマウスピースを段階的に交換しながら歯を動かす方法です。
メリット
●透明で目立ちにくい
●取り外しができるため、
食事・歯磨きが通常通り行える
●金属アレルギーの方にも対応可能
デメリット
●1日20〜22時間の装着が必要
(マウスピースを使用しないと進まない)
●複雑な症例はワイヤー矯正の方が適していることがある
当院での選び方
荒川デンタルクリニックでは、初回カウンセリング・精密検査をもとに、患者さまのお口の状態とご希望に合わせて最適な治療方法をご提案します。「絶対にマウスピース矯正がいい」「できるだけ早く治したい」といったご希望もお気軽にお伝えください。
札幌矯正
荒川デンタルクリニック
の矯正治療の特徴
●ワイヤー/マウスピース両方対応
●叢生・八重歯・難症例にも対応
●CT・セファロによる精密診断
●札幌駅前で通いやすい立地
総合診療クリニックなので、虫歯や歯周病など矯正以外の治療も行えます。
患者様ごとに最適な治療を
オーダーメイドで
提案します
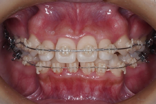
初診時

6ヶ月目

抜歯は必要?
ケース別の判断基準
矯正治療を検討する際、多くの方が気にされるのが「抜歯が必要かどうか」という点です。
抜歯が必要になるのは、主にスペースが不足しているケースです。
歯が並ぶスペースを確保するために、小臼歯(前から4番目・5番目の歯)を抜歯することがあります。
抜歯が必要になりやすいケース
●叢生(ガタガタ)が重度で、
顎のスペースが著しく不足している場合
●上下の顎の大きさのバランスが
大きくずれている場合
●前歯が大きく前方に
突出している(出っ歯)場合
非抜歯で対応できるケース
●叢生が軽度〜中等度で、
顎のスペースにある程度余裕がある場合
●歯を少し削ることで
スペースを確保できる場合(IPR法)
●顎の成長期(小児期〜思春期)に
治療を開始できる場合
「できれば抜歯はしたくない」というご希望はよく伺います。ただし、無理に非抜歯で治療を進めると、治療後に後戻りしやすくなることがあります。
当院では、長期的な安定を最優先に考え、抜歯・非抜歯のどちらが患者さまにとって最善かを丁寧にご説明したうえで治療方針を決定します。
費用と期間の目安
費用の目安
当院では、ワイヤー矯正・マウスピース矯正(インビザライン)ともに、矯正治療費用は1,045,000円(税込)でご提供しています。
分割払いは月々10,800円〜(120回)のデンタルローンにも対応しています。
矯正治療は基本的に保険適用外(自費診療)です。ただし、外科手術が必要な骨格性の不正咬合については、保険適用になる場合があります。
(外科矯正が必要な場合は、ご紹介させていただきます。)
期間の目安
●軽度の叢生(ガタガタ):1年程度
●中等度の叢生・八重歯:1年半〜2年程度
●重度の叢生・抜歯を伴うケース:2〜3年程度
治療期間は個人差があります。
精密検査(レントゲン・口腔内写真・歯型など)を行ったうえで、より正確な期間をお伝えします。
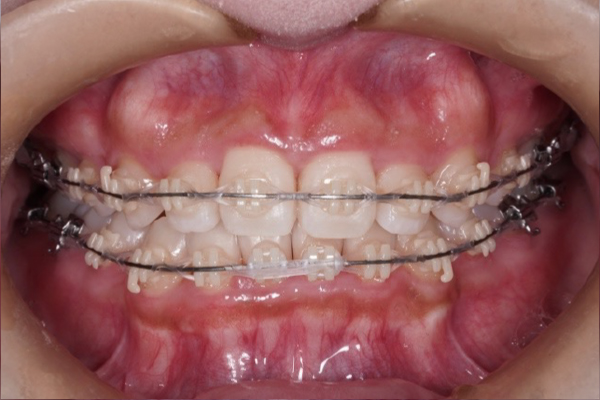
実際の症例はこちら
【札幌駅前】
八重歯(叢生・歯並びガタガタ)
を改善した
30代女性のワイヤー矯正症例
「矯正するかまだ迷っている」「費用だけ知りたい」そんな方も大歓迎です。
無料カウンセリングはこちらLINEで無料相談する
荒川デンタルクリニックの矯正治療の流れ
STEP 1|無料カウンセリング
お口の状態や治療へのご希望をお伺いします。費用・期間・方法について概算のご説明もします。
「まだ迷っている」段階でも大歓迎です。LINEからもご相談いただけます。
STEP 2|精密検査
レントゲン(パノラマ・セファログラム)・口腔内写真・歯型採取などを行い、詳細な診断資料を作成します。
STEP 3|診断・治療計画のご説明
検査結果をもとに、推奨する治療方法・期間・費用・リスクを丁寧にご説明します。ご不明な点は何でもご質問ください。
STEP 4|治療開始
同意をいただいてから治療を開始します。装置の装着後も、定期的な通院(1〜2ヶ月ごと)で経過を確認しながら進めます。
STEP 5|保定(リテーナー)
歯が目標の位置に移動したら、後戻りを防ぐための保定装置(リテーナー)を装着します。保定期間は通常1〜2年程度です。
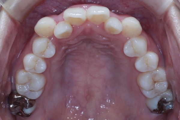
初診時

終了時(1年3ヶ月)

よくあるご質問
Q. 大人でも矯正はできますか?
はい、できます。矯正治療に年齢制限はありません。
当院では20代〜50代の患者さまも多く治療を受けていらっしゃいます。
Q. 矯正中は目立ちますか?
仕事に影響しますか?
マウスピース矯正は透明なため、近距離でも気づかれにくいです。
ワイヤー矯正も、白いセラミックブラケットを選ぶことで目立ちにくくできます。
Q. 痛みはありますか?
装置装着直後や調整後に、数日間の鈍い痛みや違和感があることがあります。
市販の鎮痛剤で対処できる程度が多く、慣れてくる方がほとんどです。
Q. 治療後に後戻りはしますか?
保定装置(リテーナー)を正しく使っていただければ、後戻りを最小限に抑えられます。
当院では保定期間もしっかりサポートします。
Q. 子どもの頃に一度矯正したのに、また曲がってきた…
保定が不十分だった場合や、加齢に伴う変化で後戻りすることがあります。
成人矯正で再治療可能なケースが多いので、お気軽にご相談ください。
まずは無料相談から
お気軽に
ガタガタの歯並びや八重歯は、見た目だけでなく、虫歯・歯周病・顎関節へのリスクにもつながります。
「いつかは治したい」とお考えの方は、ぜひ早めにご相談ください。
荒川デンタルクリニックは、さっぽろ駅から徒歩2分(地下鉄東豊線22番出口)、JR札幌駅から徒歩7分の好立地にあります。
完全個室での丁寧なカウンセリングと、科学的根拠に基づく精密な矯正治療で、患者さまのお悩みに寄り添います。
LINEからの無料矯正相談も受け付けています。「まだ決めていない」「費用が心配」という段階でもお気軽にどうぞ。
多くの方が矯正で
笑顔に変わっています
当院では札幌駅前で多数の矯正治療を行っています。
症例一覧はこちら
「自分も変わりたい」と思った方は、
まずは無料相談へ
札幌で失敗しない
矯正歯科選びはこちら
札幌駅前の歯医者|
荒川デンタルクリニック公式サイト
日付: 2026年4月15日 カテゴリ:インビザライン, ワイヤー矯正, 矯正歯科


